最近小U发现,好多人在问关于美容冠的问题,到底用美容冠七天矫牙可信吗?
一起来看看吧!
-
关于美容冠……
目前国内有部分口腔诊所和医院为了吸引患者眼球、谋取短期利益,打出“7天快速矫正牙齿”、“不拔牙快速矫正牙齿不齐”等广告,并宣称这是“源自欧美、日韩的国际先进技术”、“具有不拔牙、不伤牙、无痛苦的优点”,这就是传说中“美容冠”。
所谓的通过美容冠实现牙齿的快速矫正,本质上是把排列不整齐或者位置不正的牙齿磨小,再在这些牙齿上面套上烤瓷牙冠,从而使牙齿变“整齐”。
可想而知,这是一种通过人为地磨除大量正常牙体组织、从而改变牙齿位置和角度的方法,其带来的恶果包括牙齿容易龋坏、牙神经发炎、牙龈炎症和牙周病等。
很多做过美容冠的患者在后期因为出现各种问题而拆除冠后,常常可以看到剩余的牙齿和牙周组织惨不忍睹,严重的甚至无法保留而只能拔除。

-
什么是矫牙?
真正意义上的牙齿矫正,专业术语叫“正畸”,是通过在牙齿上安装固定或活动矫治器(矫治器又可细分为唇侧、舌侧、隐形等多种类型,这里暂不过多介绍),从而对牙齿或颌骨施加适当的力量,使其发生移动。
由于牙周组织和颌骨的代谢与改建需要一定的时间,这就注定了矫牙是一个相对缓慢的过程。一般而言,矫牙需要一年半到两年的时间(不包括戴保持器的时间),某些情况下甚至更久。
因此,想要牙齿在安全、健康的情况下变整齐漂亮,需要的是耐心、耐心、耐心(重要的事情必须说三遍)!

因此,所有的牙医都呼吁*制抵**罪恶的“美容冠”
@葉子张野 :正常烤瓷冠是对因为龋,外伤,先天畸形牙齿的修复,其结果不会改变牙轴心和位置,不故意加厚冠壁,不故意过多磨牙。而美容冠是去改变牙齿位置,角度的破坏性牙冠重建!一个房子不在原来地基上盖,却为了靠齐邻居盖成一面悬空的歪房子,表面是好看了,但地基会生气,悬空部位难清理会有垃圾老鼠!哼!
@葉子张野:美容冠是说用冠改变牙齿位置,形态,颜色等,我们反对的美容冠是指改变位置那种。因为1)需要过多磨牙影响牙髓,2)牙冠边缘突出引起牙周病,3)牙龈边缘连续性会不自然,笑容不会理想,4)容易发生咬合问题。
@Michael-Dentist: 大量去除正常的牙体组织,有些还会损伤牙神经,很多美容冠做的还不密合,有些美容冠还是连起来的,术后时间一长就会出现龋坏、牙神经发炎、牙龈感染等等一系列的问题,严重的病例剩下的牙齿都保留不住。
-
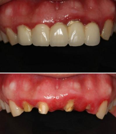
以下是做过“美容冠”患者的患者牙齿,触目惊心啊~
@西安牙医老聂:说中无所不能的“美容冠”!

@佳头2011:患者烤瓷修复四年,美容冠

七天矫牙不可信,为了您的口腔健康,一定要远离美容冠啊!
微信公众号搜索“优牙”(微信号:uyaren2015),随时随地和资深牙医聊聊牙齿的那些事儿!
还有U牙妹(微信个人号:uyammd),每天推送各类护牙的小Tips和小趣事!
优牙,只为爱牙齿的您