
闫玲,战略支援部队特*医色**学中心(原306医院),超声诊断科
王敏,战略支援部队特*医色**学中心(原306医院),妇产科
医学科普中心 刘燕/崔彦 编辑
随着医疗技术水平的不断提升,越来越多的诊断技术应运而生,超声造影便是其中之一。这一诊断技术已十分先进,能够清晰显示出更多的疾病信息,在疾病的深层次诊断中发挥着重要作用。在此,让我们通过具体病例一起来了解超声造影的诊断技术!
超声造影是一种通过血管或腔道向体内注入气体微泡以增强靶目标显示并对其血流灌注进行评估的一种增强显像方法,该技术简便、无辐射、安全性高,有助于病变的鉴别诊断;造影所用六氟化硫微泡无肝肾毒性、无辐射、罕见过敏反应、无需做过敏试验,适应证广,这给超声医生和患者带来了一个全新的精彩影像世界。
战略支援部队特*医色**学中心超声诊断科与妇产科针对子宫内膜病变、输卵管通畅性评估及妇科肿块良恶性鉴别的系列临床需求展开联合攻关,结合《一站式宫腔输卵管超声造影》及《子宫内膜超声造影》等最新行业指南,严格筛选适宜病例,规范操作流程,将超声造影系列新技术引入妇产科临床应用,为患者解决了“难题”。
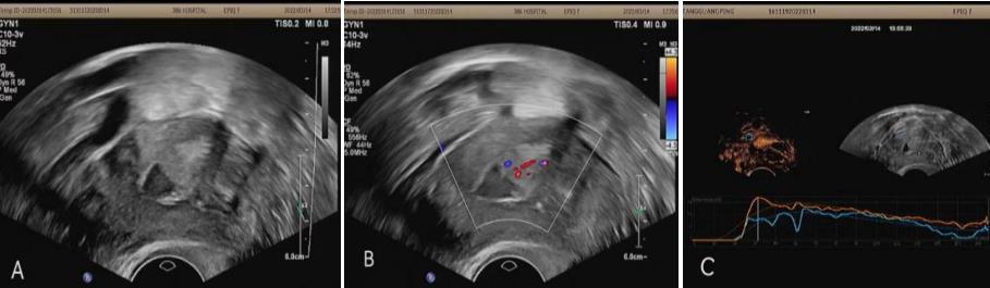
病例1:女,59岁,主因“绝经10年,阴道出血2天”入院。常规超声见宫腔内高回声,大小约1.5x1.0 cm。超声造影显示宫腔病灶左侧壁早于子宫肌层先显影,迅速灌注,呈弥漫高增强。晚期造影剂不均匀消退,早于子宫肌层,周边呈低增强,内部呈持续等增强。超声造影提示:宫腔内占位性病变(恶性不除外)。手术病理:子宫内膜样腺癌。

病例2:女,46岁,主因“结肠息肉”入院。常规超声于左附件区探及不均质高回声,大小约4.9x3.3cm。超声造影:病灶早于左卵巢呈不均匀快速高增强,可见血管迂曲走行穿入瘤体,以血管为中心向瘤体内部灌注,晚期造影剂消退早于卵巢。超声造影提示:左附件区实性占位性病变(倾向恶性)。手术病理:左侧卵巢内膜样腺癌,呈中分化。

病例3:女,73岁,主因“下腹部触痛、外阴疼痛一周”入院。常规超声:子宫右前方囊性包块,其内可见粗细不等的分割,范围约17.1x10.0cm。静脉超声造影:增强早期囊壁及囊内分隔上可见造影剂灌注显影早于子宫肌层,达峰时囊壁及分隔上灌注区域呈高增强,增强晚期,囊壁及分隔上造影剂消退迟于子宫肌层,呈持续性低增强。超声造影提示:左卵巢粘液性囊腺瘤(可疑交界性)。术后病理:左卵巢粘液性囊腺瘤(局灶区域呈上皮样增生)。

病例4:女,58岁,主因“绝经后6年,子宫内膜增厚5年”入院。常规超声:宫内膜厚度约1.9cm,回声不均匀,可见无回声。超声造影:增强早期,宫腔内病灶区血流灌注晚于子宫肌层,其内可见一分支状血管早于内膜灌注,呈持续性高增强。造影提示:子宫内膜增厚并不均质病变(不支持恶性征象),考虑子宫内膜增生伴息肉。术后病理:萎缩性子宫内膜息肉。

众所周知,超声是子宫附件主要的影像检查方法。以上病例,常规超声难以对临床关注的良恶性鉴别问题给予明确解答,超声造影则提供了额外的有价值信息,解决了临床之所需,提升了为患者服务的能力。超声造影优势诸多,但也不是所有人都适用,尤其注意严重心脏病者,重度肺动脉高压者、呼吸窘迫者禁用,孕妇及哺乳期慎用。
(部分配图来源于网络)