关注公众号 葉子口腔科普 科学护牙
原创 2017-04-05 Debbie 葉子口腔科普

最近出去吃饭我都在留意一个现象:饭后,大家都拿着牙签“掏掏掏”。是的,因为牙齿又㕛叒叕“卡肉”了。

牙齿“卡肉”不仅让我们很烦恼,而且还相当尴尬。我到现在还清楚记得,有一次小学老师牙齿“卡肉”的尴尬场景。
那么,我们的牙齿为什么会“卡肉”呢?“卡肉”是牙齿出现问题了,还是正常现象呢?牙齿“卡肉”能治吗?
牙齿为什么会“卡肉”?
牙齿“卡肉”原因有很多,按照“肉”卡进牙齿的方向,可以分为两种。
1
“肉”垂直地卡进了牙缝里
(上下方向)
1
正常情况下,我们的牙齿相互接触,牙齿间会留下很小的缝隙,也就是我们所说的牙缝。这个时候的牙缝非常地窄,窄到只能用牙线这类型很薄的物品才能通过。
但是,当相邻的两颗牙齿因为一些不正常的原因,而失去了他们彼此应有的接触关系后,牙缝就会慢慢地变宽,从而出现了“卡肉”的现象。
那么,引起牙缝变宽的原因又有哪些呢?
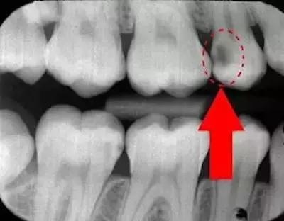
1/ 牙齿的接触面有蛀牙,造成了牙缝变宽。

2/ 牙齿因为错位或扭转造成了牙齿之间的间隙。

3/ 牙齿掉了以后,没有及时把缺牙“补”起来,造成了缺牙位置两边的牙齿向中间倾斜,造成两边多个牙齿之间的间隙。

4/ 过度松动的牙齿与旁边的牙齿接触关系被破坏,造成缝隙

5/ 智齿萌出的方向不正常,也会造成食物易嵌塞在倾斜的空隙里。

2
当牙齿的形态异常时,也会发生牙缝“卡肉”。
比如,上排牙齿的一个牙尖过度尖锐,会将食物“卡”到下排相对应的两颗牙齿的牙缝里;同样地,如果下排大牙倾斜,也有可能将食物“卡”到上排对着的牙缝里。

3
在正常状态下,我们的牙齿接触区域周围是有特殊形态的空隙,食物可顺着这个空隙通道溢出而不会“卡”到两牙之间。
但当这个空隙过小而不利于食物溢出的时候,就容易造成牙齿“卡肉”的现象了。
2
“肉”水平地卡进了牙缝里
(前后方向)
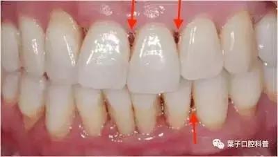
如果两颗牙齿之间的牙龈乳头退缩(牙龈萎缩),就会造成两颗牙齿之间下方出现空隙,食物就比较容易在嘴唇、脸颊和舌头的运动作用下,水平地进入了间隙,造成了“卡肉”的现象。

牙齿“卡肉”能治吗?
如果发现牙齿经常“卡肉”,除了要积极使用牙线去清洁牙缝之外,对症治疗是关键。比如:
-
有蛀牙的要补牙。
-
有牙齿缺失的,要种牙或镶牙。
-
牙齿不齐的,需要考虑牙齿矫正。
-
智齿造成牙齿经常“卡肉”的,考虑拔除智齿。
-
牙齿的形态异常的,医生会考虑是否能适度地调磨,来达到咬合的平衡状态。
-
牙龈萎缩,需要考虑系统的牙周治疗或手术。
……
具体的治疗方案,需要由医生做检查后进一步分析。
“掏肉”用牙线还是牙签?

果断使用牙线!
牙签的尖头除了不能愉快地在牙缝里“掏肉”之外,还很容易刺激到牙龈,长期下来,牙龈会发生萎缩。所以,坊间流传着,“用牙签剔牙,牙缝会越来越宽”,这个是有道理的。
那么,牙线该怎么用呢?一个视频就能教会你。
视频来自葉子口腔科普
视频观看地址:https://v.qq.com/iframe/player.html?vid=p0135n8bdga&tiny=0&auto=0
牙齿经常“卡肉”,麻烦和尴尬都是小事。“卡肉”其实是牙齿生病后给我们发出的信号。
如果我们忽略了这个报警信号,就会错过了发现问题的机会。
作者 | 牙医麻麻Debbie
图 | 网络
视频翻译 | @沙丁鱼牙

牙医麻麻Debbie
-
“葉子口腔科普”运营及内容编辑
-
俄罗斯圣彼得堡巴甫洛夫国立医科大学,口腔医学硕士
-
中华口腔医学会会员,新浪爱问医生
