
一、胎盘非滋养细胞瘤
胎盘非滋养细胞瘤多数是良性肿瘤,最常见的是胎盘血管瘤,其他还有胎盘囊肿、胎盘转移性肿瘤等。
(一)胎盘血管瘤
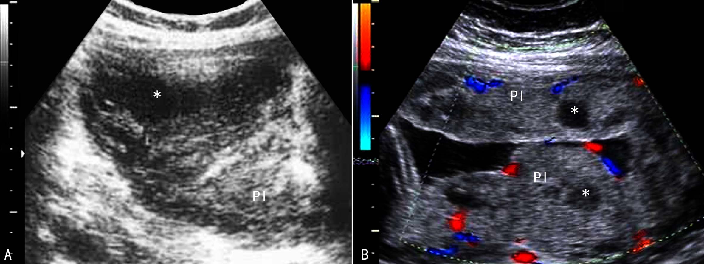
胎盘血管瘤又称为绒毛膜血管瘤,是相当常见的胎盘良性毛细血管肿瘤,发生率约为0.6%,多数体积较小于出生后忽视而漏诊。极少数体积较大的肿瘤有时可以引起脐带受压、肿瘤盗血、羊水过多或阻塞产道影响分娩等;多数不伴有胎儿畸形。
2D-US时胎盘血管瘤显示为胎盘实质内或边缘部位的异常团块回声,形态规则或不规则,边缘清晰,与胎盘实质分界清楚;内部回声差异较大,可以显示为低回声或中等强度的回声,分布不均匀,部分瘤体内部可显示不规则的分隔回声。瘤体多向羊膜腔内突出,如果合并羊水过多,则瘤体在羊水的衬托下多数显示的非常清楚。CDFI检查瘤体内部多无血流显示,有时可以有少量点状血流显示(图1)。

图1胎盘血管瘤
胎盘血管瘤时多不影响胎儿发育。如果瘤体过大,可由于瘤体内动静脉吻合的存在、流经瘤体内部的血液较多而发生盗血现象,导致胎儿供血量降低,影响胎儿发育或引起胎儿心力衰竭。
(二)胎盘囊肿
胎盘囊肿是比较常见的胎盘病变,发生率可以达到10%~20%,甚至有报道达到50%以上。囊肿直径多数在0.5~1cm左右,20%左右的囊肿直径可达8~10cm。胎盘囊肿由绒毛膜源生而来,形成绒毛膜下囊肿,好发于胎盘胎儿面的绒毛膜下,也可见于胎盘实质内;位于胎盘隔顶部的囊肿称为胎盘隔囊肿,发生率为5%~7%。囊肿内部多数为无色透明液体,偶尔可因内部出血形成血性囊肿。极少数时候因为瘤体较大突向羊膜腔引起羊膜腔变形,诱发异常胎位的发生,有时可以伴发胎儿宫内生长迟缓。尿囊的残迹形成的囊肿多较小,直径3~5mm。2D-US难以显示。
2D-US胎盘囊肿显示为胎盘胎儿面羊膜下或胎盘实质内的无回声结构,形态规则,边缘清晰、光滑,部分边缘可能不甚光滑,回声多较强,与周围胎盘实质分界清晰;内部显示为典型的无回声(图2),极少数情况下可以在囊肿内部见到点状回声。胎盘囊肿多数为多发,较小,但大小可不等,小者常规2D-US难以显示,大者直径可以达到10cm,分布无明显的规律;彩色多普勒显像检查不能发现其内部有流动的液体存在。囊肿周围胎盘实质的回声正常,羊水量无异常改变。

图2胎盘囊肿声像图
在2D-US诊断胎盘隔囊肿时应注意与胎盘血窦进行鉴别。胎盘血窦几乎均位于胎盘边缘,部分位于胎盘后方。2D-US形态规则或不甚规则,边缘清晰,内部为无回声结构,并可见纤细、不甚规则的分隔,极少能显示其内部的血流信号的。胎盘隔囊肿和胎盘血窦多无临床意义,有时胎盘血窦破裂可引起类似前置胎盘的无痛性阴道流血。需要与胎盘囊肿鉴别的另一种异常是尿囊残迹囊肿。正常卵黄囊在羊膜囊完全占据子宫腔后退缩至胎盘胎儿面脐带附着处附近,形成直径3~5mm左右的囊状结构,多数在常规2D-US中显示不清,少数残存尿囊增大形成尿囊遗迹囊肿。2D-US偶尔在脐带根部显示无回声结构,多为椭圆形,形态规则,边缘清晰,内部透声良好。一般认为,二者不易鉴别且鉴别诊断意义不大。植入性胎盘的血管不规则扩张也可形成胎盘内大小不一的多发性无回声,仔细观察可以发现其壁较厚,后方增强效应不如囊肿明显,无回声之间可能相通。
(三)胎盘转移瘤
胎盘转移瘤非常罕见。原发肿瘤多数源于孕妇,转移至胎盘的肿瘤还可以通过胎盘转移至胎儿,也有来自胎儿的胎盘转移瘤。孕妇的各个部位如乳腺、肺、胃、子宫颈等部位的肿瘤都可以转移至胎盘。
2D-US多为个例报道。与其他部位的转移瘤一样,胎盘转移瘤显示为胎盘内多发的瘤体回声,多数为实性肿瘤,形态多规则,边缘清晰,内部回声强度以瘤体的来源不同而有较大的差异,但同一个病人其胎盘转移瘤的回声性质相同。常合并羊水过多,胎儿发育多数受到不同程度的影响;有时可以引起胎盘早剥和胎儿死亡 。
2D-US诊断胎盘转移瘤时应当注意与胎盘梗死鉴别。
二、胎盘梗死
胎盘梗死的发生率比较高,有报道30%~40%的胎盘可以发现大小不等的胎盘梗死,但多数梗死灶较小或发生于胎盘边缘区域而不引起明显的临床表现,以至于胎儿出生后也不被临床医生注意。胎盘梗死可以发生在胎盘的任何部位,但多发生在胎盘母体面实质内,单发或多发,由局部血管梗死、缺血、坏死所致,形成大小、形态不一梗死灶。已经发现,母体患有高血压、肾脏疾病、妊娠高血压综合征、糖尿病等疾病时胎盘梗死的发生率较高。
2D-US胎盘梗死显示为胎盘实质内单发或多灶性低回声或无回声区,多数直径在1~2cm,有一定的形态和明确的范围,边缘不清楚,内部回声分布均匀或不均匀(图3),有时可见少数稍强的点状回声。多数情况下羊水和胎儿发育正常,梗死区较大时可引起胎儿宫内生长迟缓。需要注意的形成胎盘内的多发性低回声的还有绒毛周围纤维蛋白沉积、胎盘转移瘤等;胎盘血池显示为胎盘实质内的无回声,检查过程中有时可显示该无回声在子宫收缩下或位于前壁胎盘内的血池在加压时可见其形态的变化;无回声内有时可显示移动的点状回声,但由于移动的速度很慢、超声多普勒检查多数无法记录其血流信号。

图3胎盘梗死声像图
三、胎盘间质发育不良
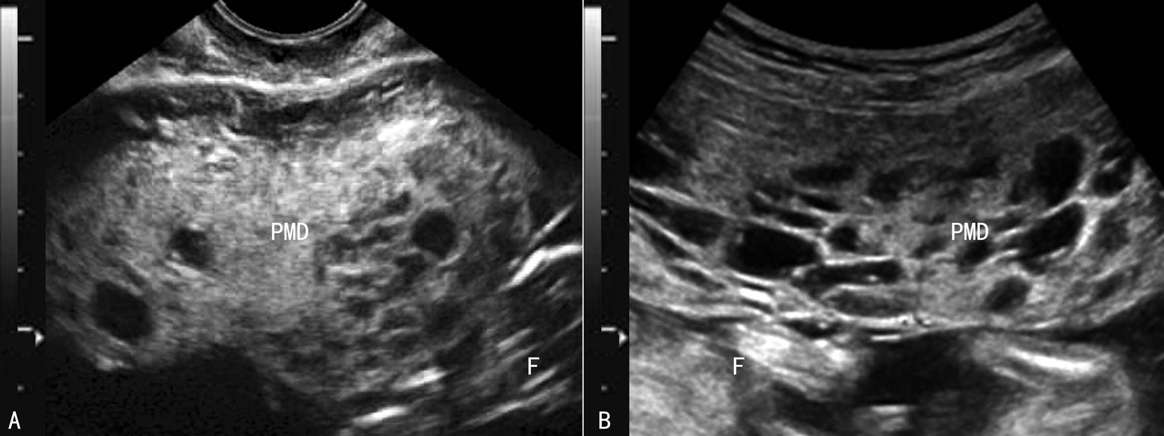
胎盘间质发育不良(PMD)是一种少见的良性病变,发生率大约为0.02%。PMD发生的原因还不清楚。有些病例发现绒毛间质增生、绒毛膜血管扩张,部分可见与胎盘血管瘤Beckwith-Wiedemann综合征(突眼-巨舌-巨人综合征)并存,故而考虑PMD可能与中胚层的发育异常及染色体异常有关。PMD的临床表现不确定,已经报道的PMD可能并发胎儿生长受限、羊水过多、早产、胎儿溶血性贫血、胎儿血小板减少症、胎儿宫内生长受限、胎盘早剥、先天性畸、死产等。
2D-US最早有报道在11孕周发现胎盘异常回声(图4A),显示为胎盘较正常增大,部分区域可见蜂窝状无回声(图4B),CDFI检查显示血流增多,声像图表现类似葡萄胎,胎儿发育未受到影响,孕妇血hCG在正常范围内,而AFP则显示增高。此后PMD声像图显示逐渐明显。2D-US显示胎盘增厚、增大,内部显示蜂窝状无回声,可以是部分性或占据整个胎盘(图4、图5),需要注意与绒毛血管瘤、胎盘出血、胎盘梗死以及不全流产水泡样等变进行鉴别。超声多普勒血流显像检查对PMD与葡萄胎、胎盘出血、胎盘梗死的鉴别很有价值。葡萄胎时病变内部常显示丰富的血流,PW检查可以记录到高速、低阻力血流频谱;胎盘血管瘤多显示为胎盘胎儿面凸向羊膜腔的局限性回声,边缘清楚,内部回声强度不等,分布不均匀,内部如果有血流显示,则其血流性质与脐带血流一致;PMD也可以显示为局部的瘤样回声,但内部血流较少或没有明显血流显示,也不能记录到类似脐带的低阻力血流频谱。

图4胎盘间质发育不良

图5胎盘间质发育不良