椎间盘突出是临床中十分常见的退行性疾病,常见于腰椎间盘和颈椎间盘。
广义的椎间盘突出可以分为四种病理类型:膨出型,突出型,脱出型和游离型。
分别对应着我们影像诊断报告中的椎间盘膨出,椎间盘突出,椎间盘脱出和椎间盘游离。
如何区分四种类型?
椎间盘解剖
椎间盘是连接相邻两个椎体的纤维软骨盘,由两部分组成,周围部为纤维环(Anulus fibrosis)是由数十层环状及放射状的胶原纤维及弹性纤维交织而成按同心圆排列的致密组织,富于坚韧性,将各椎体紧密牢固的连接成一体,保护髓核并限制髓核向周围突出。

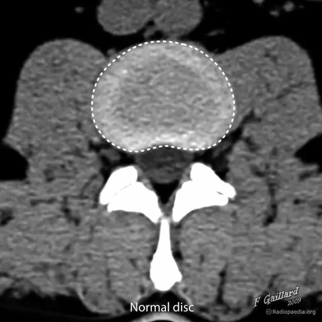
图 1 正常椎间盘示意图,椎间盘由周围的纤维环和中心的髓核组成


图 2 正常椎间盘在相邻两个椎体之间,周围不超出椎体的边缘
1. 椎间盘膨出(Disc bulge)
纤维环松弛但完整,髓核皱缩,表现为纤维环均匀超出椎体终板边缘。


图 3 椎间盘膨出的影像学定义为突出部分>椎间盘边缘的25%,或者突出的两边与髓核的中心的夹角>90°
临床表现
一般无临床症状,有时可因椎间隙狭窄,椎节不稳,关节突继发性改变,出现反覆腰痛,很少出现根性症状。如同时合并发育性椎管狭窄,则表现为椎管狭窄症,应行椎管减压。
2. 椎间盘突出(Disc protrusion)
为髓核突入纤维环内但后纵韧带未破裂,表现为椎间盘局限性向椎管内突出。


图 4 椎间盘突出的影像学定义为突出部分小于椎间盘边缘的25%,并且基底部>突出部分的直径;突出椎间盘的两边与髓核的中心的夹角<90°
临床表现
可无症状,部分患者出现典型神经根性症状、体征。此型通过牵引、卧床、病灶注射等保守方法可缓解,但由于破裂的纤维环癒合能力较差,复发率较高。微信公众平台:脊椎健康联盟
3. 椎间盘脱出(Disc extrusion)
纤维环、后纵韧带完全破裂,髓核突入椎管内。


图 5 椎间盘突出的影像学定义为突出椎间盘的基底部(A)<突出组织的直径(B)
临床表现
腰椎间盘突出的病理分型多有明显症状和体征,脱出多难自愈,保守治疗效果相对较差,大多需要微创介入或手术治疗。
4. 椎间盘游离(Disc Sequestration)
突出髓核与相应椎间盘不连接,可游离到椎管内病变间盘的上或下节段、椎间孔等。

图 6 椎间盘游离,是指髓核完全脱出与椎间盘不连接,游离于椎管内
临床表现
持续性神经根症状或椎管狭窄症状,少数可出现马尾神经综合征,此型常需手术治疗。这是腰椎间盘突出的病理分型之一。#腰椎#
素材来源于网络 版权归原作者所有