得过脑梗死的患者,反复“癫痫”样抽搐,一般都会觉得是脑梗死的后遗症。
可是,真不一定哦!
这位79岁的老人,就是因为脑梗死后“间断头部及四肢不自主抽搐4年余,加重1天”入院的。
患者于4年多前患左侧顶颞叶脑梗死,治疗后遗有言语不利。此后反复出现阵发性头部及四肢抽搐,多于夜间睡眠中发作。先后住院12次,诊断脑梗死后遗症,继发性癫痫,并据此治疗。

此次入院前症状发作频繁,1天前无明显诱因再度出现轻度头部及四肢不自主抽搐。发病来不伴耳鸣,无视物旋转.意识障碍及大小便*禁失**,平时饮水无呛咳。
既往高血压、冠心病30余年。
看起来诊断合情合理。
高血压、冠心病的老年患者,脑卒中的高发人群,得个脑梗死也在情理之中;大面积脑梗死后癫痫发作也有道理,脑子里有梗死灶嘛!
可是,患者的癫痫发作真就是脑梗死的后遗症吗?
以后的检查诊断看起来顺风顺水。
查体听诊发现 双侧颈动脉杂音,左侧明显,高调 。
颈部血管超声 检查,双侧颈总动脉内膜增厚,左侧较著;双侧管腔内均见斑块附壁,呈节段性狭窄。
颈动脉磁共振血管造影 , 右侧颈内动脉起始部明显狭窄达90%;左侧颈动脉分叉处明显变细,波及颈内动脉,狭窄程度达95% ,双侧血管管壁形态不规则,局部硬化斑块形成。

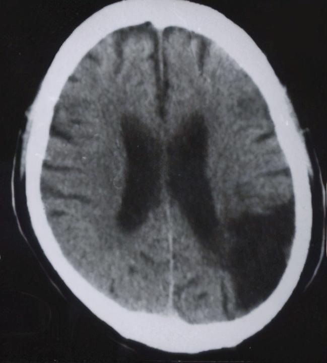
头颅CT显示左侧顶颞叶陈旧性脑梗塞
至此,诊断明确, 双侧颈动脉重度狭窄致脑梗死、短暂性脑缺血发作 。
进一步行 左侧颈动脉内膜剥离术 。

术后癫痫样发作明显减少,患者语言、肢体活动能力基本恢复。
在我国,脑卒中是城乡居民疾病死亡的首位死因,其中缺血性脑卒中占80%。
在缺血性脑卒中当中,25%~30%和颈动脉狭窄密切相关。
颈动脉狭窄中,90%以上是动脉粥样硬化所致,并且和增龄有关。因此,老年人多见。
和颈动脉狭窄有关的主要危险因素是高血压、吸烟、糖尿病、高脂血症等 。
这位患者有高血压、冠心病,颈动脉发生粥样硬化也应该是一致的。
颈动脉粥样硬化狭窄是引起缺血性脑血管病的重要原因 。而且,研究认为,即使是房颤病人,脑卒中也可能与颈动脉狭窄有关。
在颈动脉狭窄的患者,同侧颈动脉供血区域脑梗死的发病率明显增高。

这位患者,左侧颈动脉狭窄95%,左侧顶颞叶大面积脑梗死,反复癫痫样的缺血发作,很符合。
颈动脉狭窄引起脑缺血的发病机制,医学的观点倾向于脑组织的低灌注和微栓子 。
重度颈动脉狭窄的患者,当腹泻、呕吐、饮水减少、心律失常等引起血容量减少时,狭窄远端的脑组织更容易发生低灌注,脑供血减少,这样对微栓子的清理能力也会降低,因而导致脑梗死。
老年人血流动力不足,容易在夜间或摄水量不足的时候出现血压偏低,导致脑部低灌注,出现低灌注型的脑梗死。
这样,这位高血压的老年患者,反复、多次于夜间睡眠中出现癫痫样发作也可以得到解释。

最后确诊的过程看似很简单,颈动脉听诊发现杂音,一系列检查证实。
可是估摸着误诊应该在4年以上。
因为根据调查,我国国人颈动脉内中膜的平均厚度是0.7毫米左右。所以正常人的标准是在0.9毫米以下。
我国国人颈动脉内中膜随年龄增厚的速率是每10年0.08毫米左右。所以,这位患者那么严重的颈动脉重度狭窄应该并非“四年之功”。
确诊的起始是查体听到颈部血管杂音。当然也是医生想到了要查颈动脉的病变。
颈动脉粥样硬化、管腔狭窄后,可以产生颈部血管杂音,这是颈动脉粥样硬化狭窄仅有的临床体征。
虽然杂音的强弱和狭窄的程度不成比例,但是听诊方便,有助于减少误诊漏诊。所以,心血管医生应当常规听诊检查。

颈动脉狭窄了怎么治疗?
1. 健康生活方式,强调戒烟 。
2. 药物治疗 :这是所有颈动脉狭窄患者的基础治疗 。包括:
控制血压:不合并其他狭窄,在颈动脉内膜切除手术或支架术后,血压控制在140/90mmHg以下,糖尿病患者在130/80mmHg以下。
调脂治疗:他汀类药物,低密度脂蛋白胆固醇<1.8mmol/L或者比治疗前降低≥50%。
控制血糖:非空腹血糖<11.1mmol/L,糖化血红蛋白<7%。
抗血小板:有症状的颈动脉狭窄或者>50%的无症状患者,要服用阿司匹林或氯吡格雷。
3. 手术治疗 。方法有两种: 颈动脉内膜切除术 ,开刀做手术,一般作为首选;另一种,颈动脉支架成形术,就是放支架的方法,一般作为备选。不同手术都有各自的要求。
#科学真相##谣零零计划#@头条健康@头条辟谣