
上次超声检查还好好的双胞胎,这次咋就变单胎了?这是怎么回事?
从医学上讲,出现这种现象可以有两种原因:

误诊
超声检查是可以看到怀孕早期是单胎还是多胎的检查方法,但是,这种方法也有它固有的缺陷,就是容易误诊,特别是孕早期。
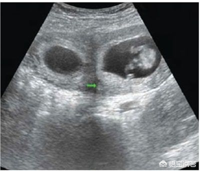
我们知道,在孕早期,妊娠6~7周超声检查就可以观察到胎囊的存在,7~8周可以看到胎心搏动,超声检查正是通过观察胎囊和胎心来确定妊娠是单胎还是多胎。
超声这种“捕风捉影”的辅助检查优势在于可以实时动态观察;缺点在于容易受很多因素的影响,极易产生误诊。
加之孕早期胎囊很小,更容易出现误诊。
如果原本是单胎,却被误诊成双胎,等到随后的检查再确定为单胎时,自然会引发准妈妈“我的双胞胎胎儿去哪儿了”的疑问。
双胎变单胎,也可能是双胞胎消没综合征

临床上,也的确存在多胎变单胎的现象,这在医学上被称为“双胞胎消没综合征”(Vanishing twin syndrome,VTS)。
早在1945年,就有医生观察到,双胞胎在孕早期的怀孕率高于双胎的出生率。
很显然,在怀孕过程中,有的胎儿“凭空”消失了。
这是怎么回事呢?
在超声检查应用之前,“胎儿凭空消失”只能停留在假说阶段。
上世纪80年代,超声成像检查的普遍应用为确定这种现象提供了可信的证据。
如上所述,在孕早期,妊娠6~7周超声检查可以观察到胎囊的存在,7~8周可以看到胎心搏动,超声检查正是通过观察胎囊和胎心来确定妊娠是单胎还是多胎。

如果在之后的超声检查中,观察到原本存在的胚胎或胎儿数量减少,就可以诊断为胞胎消没综合征。
为什么会出现双胞胎 消没 综合征
原本已经怀上的孩子咋就凭空消失了呢?很多人感到大惑不解。
事实上,这丝毫都不奇怪。
人类作为最高级和大型的哺乳动物,生殖效率低下。人类整个怀孕过程中有很大部分胚胎和胎儿都会消失掉。
高敏感hCG测定技术(就是早孕试纸所使用的方法)的出现,为确定这种说法提供了证据。
研究发现,如果以超早期hCG阳性作为怀孕的标志,只有约三分之一的受精卵最终发育成活产婴儿,超过三分之二在怀孕过程的不同时期被“丢失”。
据估计,其中的30%在植入之前丢失,30%在植入后的3~4周丢失。这两者合称临床前胚胎丢失,也就是有的医生所说的“生化怀孕”;其他的才叫临床怀孕。
另外,临床怀孕后流产率依孕妇年龄有所不同, 20~24岁为10%,40~44岁就高达51%。总体上早期临床妊娠流产约15%,妊娠晚期约4%。
可见人类胎儿的丢失率原本就居高不下。
人类妊娠为什么会出现如此高的“丢失率”?
一种普遍接受的理论认为,这是人类生殖过程“汰弱留强”的一种天然“优育”的生理现象。
证据是,研究发现早期丢失的胚胎或流产胎儿中超过75%存在异常核型(即存在染色体异常)。
超早期胚胎、胎儿的丢失与后来的流产没什么本质性不同。
发生双胞胎消没综合征,当其中一个胚胎和胎儿死亡,而另一个却仍然存活,死亡的那个胚胎组织会逐渐被胎盘、母体和另一个存活的胎儿所吸收,最终仅剩一点残余组织,被称为“扁平胎”或“压扁胎”(fetuspapyraceus)。
有一些“压扁胎”可以通过超声检查观察到。

因此,妊娠早期出现多胎变单丁的现象,没有什么可奇怪的。
#清风计划# #健康真探社#