
- 背景介绍 -
为了响应《“健康中国2030”规划纲要》,实现我国全民消化肿瘤早诊早治,《肿瘤界》设立“齐力荟聚-消化肿瘤频道”,聚焦消化肿瘤患者的诊断治疗。旨在报道国内前瞻性、创新性和高学术水平的关于消化道肿瘤防治的临床应用和基础研究,把握学术发展动向,促进学术交流,整体提高国内消化肿瘤防治的临床与研究水平,结合国内研究特色,以及国内临床规范制度,推动消化肿瘤防治的进步,普及推广临床规范化诊疗。
专家访谈
专家简介

宁方玲 教授
主任医师,硕士生导师
滨州医学院附属医院肿瘤科主任
山东省医师协会肿瘤放疗医师分会副主任委员
山东省医师协会肿瘤精准医疗医师分会副主任委员
山东省医学会肿瘤放射治疗学分会、肿瘤学分会及姑息医学分会委员
山东省抗癌协会姑息治疗分会、肿瘤免疫分会副主任委员
滨州市医学会放射肿瘤学专业委员会主任委员
山东省医师协会肿瘤科医师分会委员
山东省抗癌协会淋巴瘤分会、肿瘤心理学分会、肿瘤靶向治疗分会、肿瘤临床协作分会及肿瘤科专业委员会常务委员
滨州市医学会肿瘤学专业委员会、肿瘤化疗专业委员会及中西医结合肿瘤专业委员会副主任委员
1、对于晚期转移性结直肠癌患者,目前,免疫治疗在新辅助治疗中的研究进展和临床应用如何?
宁方玲教授:
结直肠癌是全球第三大肿瘤,转移性结直肠癌的5年生存率只有14%,治疗手段包括手术、化疗、放疗和靶向治疗等。免疫检查点*制剂抑**的出现也改写诊疗指南。大肠癌dMMR/MSI-H亚型约占所有病例的15%和mCRC病例的5%。由于dMMR/MSI-H的高突变率,肿瘤具有高免疫原性,使其能够激活免疫系统的抗肿瘤作用。
KEYNOTE-177这是一项三期国际开放标签随机对照研究,入选MSI-H/dMMR的IV期结直肠癌患者,比较帕博利珠单抗治疗(200 mg,每3周1次,最多35个周期)与在一线中使用或不使用抗VEGF或抗EGFR单克隆抗体的标准双药化疗,主要终点是PFS和OS。结果显示,帕博利珠单抗组患者的中位PFS时间为16.5个月 VS 8.2个月;3年PFS率分别为42% VS 11%,3年OS率分别为61% VS 50%。帕博利珠单抗组ORR为45.1%(20例完全缓解,49例部分缓解),化疗组为33.1%(6例完全缓解,45例部分缓解);帕博利珠单抗组83.5%的患者至少维持缓解了2年;在化疗组中,只有33.6%的患者缓解持续时间≥2年。KEYNOTE-177研究证实了帕博利珠单抗可以作为MSI-H或dMMR患者的一线标准治疗。
在2021版CSCO结直肠癌诊疗指南中,MSI-H结直肠癌姑息一至三线均推荐免疫治疗,其中帕博利珠单抗作为一线治疗的一级推荐;CheckMate-142研究选择MSI-H/dMMR转移性结直肠癌患者,单免后线vs双免后线vs 双免一线:ORR 39% vs 65% vs 71%,DCR 69% vs 81% vs 84%,一线双免完全缓解率为13%。结果说明双免好于单免,一线好于后线。CheckMate-142研究具有划时代意义,它将免疫治疗从后线前移到一线。
COMMIT研究是一项前瞻随机开放标签的三期临床研究,评估了阿特珠单抗单药治疗对比mFOLFOX6(氟尿嘧啶、奥沙利铂、亚叶酸钙)+贝伐珠单抗+阿特珠单抗一线治疗dMMR或MSI-H转移性结直肠癌的疗效和安全性,目前该试验还在进行中。未来该项研究的结果将回答对于MSI-H晚期结直肠癌,在一线免疫治疗的基础上联合化疗和抗血管靶向药物是否可以进一步提高免疫治疗的疗效。
CheckMate 8HW是另一项随机对照三期临床研究,在一线治疗dMMR或MSI-H转移性结直肠癌中,比较纳武利尤单抗单药、纳武利尤单抗联合伊匹木单抗以及研究者选择的化疗这3种方案的疗效。这项研究将头对头地比较对于MSI-H晚期结直肠癌双免联合是否优于单免的疗效。
2、对于MSI-H/dMMR型局部晚期结直肠癌(LACRC),新辅助免疫治疗探索的进展与应用前景如何?有哪些潜在预测疗效的生物标志物?
宁方玲教授:
对于MSI-H/dMMR型局部晚期结直肠癌患者,新辅助免疫治疗可以在肿瘤手术前,提前使患者的免疫系统识别肿瘤细胞,从而使患者的免疫系统更好地产生免疫应答。目前结直肠癌新辅助治疗的探索均为二期研究,探索模式多为双免疫或免疫联合化疗方案,直肠癌多为免疫联合放化疗(同步或序贯)的模式。
NICHE研究是探索纳武利尤单抗联合伊匹木单抗用于Ⅰ-Ⅲ期结肠癌新辅助治疗的二期临床研究,研究共纳入40例结肠癌患者,其中21例为dMMR,20例为pMMR(1例患者同时为pMMR和dMMR),81%的dMMR患者和40%的pMMR患者为临床Ⅲ期结肠癌。患者在接受首次免疫治疗后不迟于6周内接受结肠癌手术,dMMR结肠癌缓解率100%,其中完全缓解的患者占60%,MPR为95%;pMMR治疗组27%的患者也对免疫治疗产生了良好的应答。
NICHE2研究,纳入更多患者,探寻非转移性dMMR结直肠癌患者双免治疗(伊匹木单抗+纳武利尤单抗)的疗效,主要终点为安全性,3年无病生存期。结果显示:MPR率95%,PCR率67%,中位随访13.1个月后没有患者出现疾病复发,毒性可耐受。
NCT04165772研究(前瞻性,单臂,Ⅱ期研究),Ⅱ期和Ⅲ期患者接受新辅助dostarlimab(多塔利单抗)共6个月,结果显示CCR率为100%。
PICC研究是特瑞普利单抗联合或不联合塞莱昔布新辅助治疗错配修复蛋白缺陷或微卫星高度不稳定的局部进展期结直肠癌的双臂随机Ⅱ期临床试验,结果显示完全缓解率高达88%,进一步表明dMMR结直肠癌免疫疗效惊人,潜在替代放化疗及手术。
对于MSI-H或dMMR结直肠癌,NCCN结直肠癌指南中,新辅助治疗增加纳武利尤单抗±伊匹木单抗或帕博利珠单抗单药方案;转化治疗可以选择双免疫或单免疫用药方案。
但并非所有患者都能从免疫治疗中获益,故筛选免疫治疗的疗效预测生物标志物将显得尤为重要。近年来研究主要集中在包括MSI-H、PD-L1过表达、TMB-H(TPS3645)、POLE或POLD1基因突变、PI3K/AKT/mTOR通路、新抗原(身份和数量)、免疫系统状态(免疫细胞特征、T细胞受体相关)等。
3、您如何看待对于临床中MSI-H/dMMR 转移性结直肠癌患者使用免疫治疗,部分患者仍然会出现耐药问题?
宁方玲教授:
对于临床中MSI-H/dMMR转移性结直肠癌患者使用免疫治疗,部分患者仍然会出现耐药问题,我的看法是,一方面,所有Ⅱ期以上结直肠癌均应检测其MSI/dMMR状态,确定患者是否为免疫治疗的优势人群;另一方面,由于MSI-H/dMMR肿瘤表现出异质性,即使作为优势人群,也会出现原发性耐药或继发性耐药。肿瘤通过表观遗传学改变,信号通路调控等机制,改变自身蛋白质表达,破坏免疫识别机制,逃离免疫治疗,产生对于免疫治疗药物的耐受,另外肿瘤微环境的免疫抑制细胞也起到重要作用。
4、晚期结直肠癌通常预后相对较差、患者生存期不长,依然是我国困扰结直肠肿瘤治疗的瓶颈问题,但有治愈的可能,此时临床医生制定正确合理用药方案尤为重要。今年上半年发布的CACA-RC指南推荐不适合强烈治疗患者应用曲氟尿苷替匹嘧啶片(TAS-102)联合贝伐珠单抗,作为晚期不可切除结直肠癌姑息一线治疗方案。请您谈谈该推荐治疗对我国晚期不可切除结直肠癌患者的临床治疗带来怎样的获益?
宁方玲教授:
今年上半年CACA-RC指南推荐了不适合强烈治疗的患者应用TAS-102联合贝伐珠单抗作为不可切结直肠癌一线治疗方案,是在不可切除晚期结直肠癌一线治疗中石破天惊的一项突破。晚期mCRC的标准化疗方案在指南中是以奥沙利铂或伊立替康为基础的FOLFOX和FOLFIRI方案,在此基础上,可以根据基因分型联合西妥昔单抗或者贝伐珠单抗,但是依旧有部分患者身体状况无法耐受加强化疗,针对这一类患者的治疗方案选择非常有限,且预后情况并不理想。TAS-102+贝伐珠单抗治疗方案毒副反应相对较低,(临床试验提示比贝伐珠单抗联合卡培他滨效果好)疗效确切,在未来较长一段时间内,尤其是目前疫情肆虐,患者不方便住院治疗时,TAS-102可作为国内不适合强烈治疗的mCRC患者及老年患者的一线治疗优选方案,并为患者带来持续的、更优的生存获益。
病例分享
专家简介

王峰 教授
医学博士,副主任医师,硕士研究生导师
滨州医学院附属医院肿瘤科副主任
澳大利亚悉尼维斯迈医学中心访问学者
中华医学会放射肿瘤治疗学分会骨与软组织学组委员
中国临床肿瘤学会(CSCO)神经系统肿瘤专家委员会委员
山东省医师协会肿瘤精准医疗医师分会常务委员
山东省医师协会肿瘤放疗医师分会委员
山东省抗癌协会消化道肿瘤分会常务委员
山东省医学会咽喉肿瘤多学科联合委员会委员
山东省医学会*草烟**病学与戒烟多学科联合委员会委员
山东省健康管理协会消化道肿瘤防治分会常务委员
山东省医学会放射肿瘤学分会青年委员
山东省医学会妇科肿瘤多学科联合委员会委员
滨州市医学会放射肿瘤学专业委员会副主任委员
基本情况
(一)基本信息
患者男性,65岁,于2021-08-26第一次入滨州医学院附属医院风湿免疫科。
主诉:发作性右踝关节肿痛3年,再发1月。
查体:双足第一跖趾关节可见红肿,伴局部皮温升高。
既往史、个人史:既往脑梗死病史7年余,未遗留后遗症;有“膀胱结石”病史1年余,未系统诊治;有“痛风性关节炎”3年余,曾于滨州医学院附属医院风湿免疫科治疗。有高血压病史10年余,最高血压180/110mmHg,口服“吲达帕胺片”,血压控制可。
常规检查发现2次大便潜血阳性。
(二)辅助检查结果
1.肠镜检查
直肠、乙状结肠:直肠距肛门7cm可见一巨大溃疡型病变,表面溃烂,污秽苔,周边环堤样隆起,累及管腔1/3周圈,管腔无狭窄,于病变周边多点活检8块,质脆易出血;乙状结肠见一0.5cm*0.3cm息肉,余黏膜光滑,皱襞清晰,蠕动规律;肛管未见异常。降结肠、横结肠:横结肠见一0.3cm*0.4cm 0-IIa型息肉,表面粗糙,余黏膜光滑,血管纹理清晰,未见异常。
诊断:1.直肠Ca(进展期 溃疡型);2.结肠多发息肉——内镜下冷切除术+息肉摘除术。

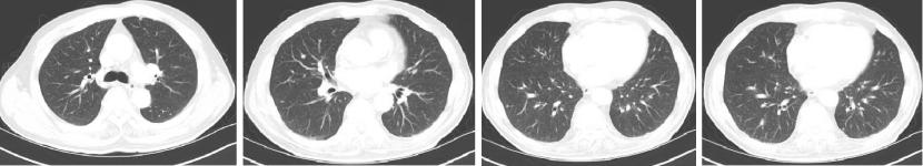
2.胸部、上腹部未见明显异常。

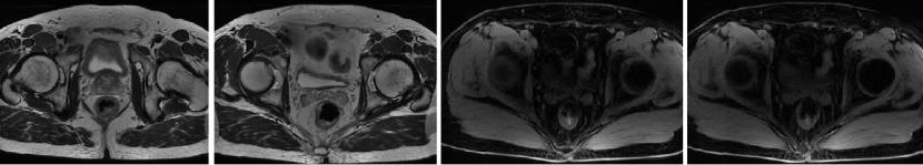
直肠MR增强+DWI:直肠距肛缘约5.5cm处肠壁明显不均匀增厚,累及长度约6.0cm,呈等/长T1、等/稍长T2信号,T2压脂呈不均匀高信号,DWI呈高信号,ADC图信号减低,增强扫描呈明显不均匀强化,相应局部管腔狭窄,邻近浆膜面模糊,周缘可见小淋巴结。
治疗经过
2021-09-08:于全麻下行全直肠系膜切除+末端回肠预防造瘘术。
术中见:肝脏、胃、腹壁等无转移性结节。肿块位于腹膜返折处,活动度差,侵及浆膜。肠周见明显散在肿大淋巴结。
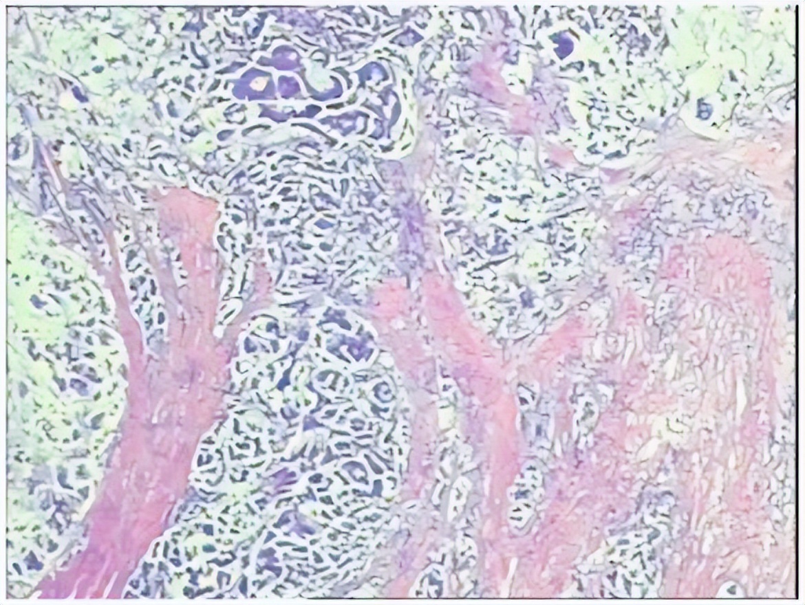
术后病理:直肠下段中分化腺癌,侵犯外膜下脂肪组织,肿瘤出芽分级(高级别,Bd3),侵犯神经侵犯,未见确切脉管内癌栓;两侧手术切缘、环周切缘及标记切缘内均未查见癌累及,肠周淋巴结内未查见转移癌(0/17)。pTNM分期:pT3N0Mx。免疫组化结果:CK(+),MSH2(+),MSH6(+),MLH1(+),PMS2(+),MDR-1(3+),HER2(3+),P53(3+),Ki-67阳性率约70%。

术后诊断:
1.直肠癌II(pT3NOMO)期术后;
2.结肠多发息肉术后;
3.痛风性关节炎;
4.高血压病(3级 很高危);
5.脑梗死。
CSCO指南:

2021-10-04至2022-06-03:FOLFOX方案化疗10周期(奥沙利铂150mg d1+氟尿嘧啶 0.7g d1+4.4g civ);术后预防性放射治疗DT5000cGy/25f,同步卡培他滨。
2021-11-25至2021-12-06:尿培养提示肺炎克雷伯菌感染,结合泌尿外科、感染科会诊意见,给予左氧氟沙星抗感染治疗。
2022-06-12

肺无法穿刺活检。
基因检测示:(直肠)KRAS/BRAF/NRAS/PIK3CA 基因均未检出突变。伊立替康UGT1A1基因检测结果:非风险基因型。
CSCO指南:

2022-06-20:西妥昔单抗联合FOLFIRI方案治疗(西妥昔单抗900mg d1,伊立替康320mg d1,氟尿嘧啶0.7g iv 4.3g civ)。
2022-07-06:骨髓抑制、腹泻,西妥昔单抗联合FOLFIRI方案治疗(西妥昔单抗900mg d1,伊立替康280mg d1,氟尿嘧啶0.7g iv 4.3g civ)。
疗效对比:



循证依据:

C-TASK FORCE研究:首个证实TAS-102联合贝伐珠单抗治疗mCRC的疗效及安全性研究。TAS-102联合贝伐珠单抗是难治性mCRC患者潜在治疗选择,更多临床获益有待进一步研究。

TAS-102联合贝伐珠单抗治疗mPFS时间和mOS时间分别为5.6个月和11.2个月。

TAS-102联合贝伐珠单抗不良反应主要为血液学毒性。

日本大样本RWS:TAS-102和瑞戈非尼不同排序的回顾性研究。

日本大样本RWS:TAS-102单药较瑞戈非尼单药,可显著延长mOS,降低AE。

日本大样本RWS:两药序贯疗效优于单药,且≥65岁先用TAS-102获益更显著。

日本大样本RWS:TAS-102序贯瑞戈非尼组持续治疗时间更长。


2022-07-27至今
给予贝伐珠单抗联合TAS-102治疗期间复查CT评估SD,胃肠道反应不重,骨髓抑制Ⅰ度,耐受性尚可。





本文仅代表专家观点,并经专家审校。
编辑丨阿希雅、高健康
审校丨叶文洁