*声明:本文仅用于科普用途,不能作为治疗依据,为了保护患者隐私,以下内容里的相关信息已进行处理

病友*交群**流邀请
现诚邀您加入【小荷健康肺友交流群】,这里有资深病友们的真实经验分享、交流互助相互鼓励,希望帮助各位肺友在抗病路上少走弯路,温暖互助!
[握手]入群通道:添加微信 xhjkapp2022 申请进群(请务必备注:头条)
以下转自小荷健康App真实经验
【基本信息】男,63岁
【疾病类型】右上肺原位腺癌,右肺中叶浸润性腺癌
【就诊时间】2020年05月12日
【治疗方案】胸腔镜下右肺中叶癌根治术+右肺上叶楔形切除术+淋巴结清扫术
【治疗周期】住院一个月,定期随访
【治疗效果】影像学检查未见肿瘤病灶,肺部肿瘤切除,无转移无明显异常
初识患者
这位患者来我院治疗也有一段时间了,最初赵伯伯是2016年因为大便不成形一年多就入院治疗过。当时行无痛结肠镜检查,提示回盲部息肉并行内镜下粘膜切除(EMR),术后病理示:盲肠管状腺瘤伴低级别上皮内瘤变。
术后赵伯伯恢复还不错,就是偶尔有一些咳嗽。于是检查了一下肺部CT,发现右中肺小结节,考虑炎性;两肺慢性感染;纵隔多发小淋巴结肿。但是结核抗体检查未见异常,肺癌肿瘤标志物均正常,考虑到赵伯伯家离医院也比较远,所以先让赵伯伯回到当地医院行抗感染治疗。
之后赵伯伯也有几次因为结肠息肉入住我科,复查胸部增强CT检查中并未见肺结节明显变化,同时肺癌肿瘤标志物也是阴性。这一次由于最近复查胸部增强CT提示右肺多发小结节,部分较前稍增大,所以入院进一步检查。
治疗过程
“赵伯伯,您不要担心,抗感染治疗了这么久,但是现在复查结果结节和之前相比有所增大,最好还是手术切除明确性质,以免拖延导致症状加重。”赵伯伯在我们科室也算是老相识了,对于我们之前的治疗方案和治疗效果也都十分满意,非常配合我们的治疗。

图片来源 :讲述者提供
反而还鼓励我“你们都是专业的,那些报告我也看不懂,我也在你们手上治疗这么久了,你们对于我的身体情况也是最了解的,直接告诉我接下来怎么办就可以了,我都听你们的。”听了赵伯伯的话,我也安心了很多。
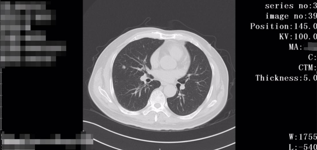
完善了相关检查,肺功能提示轻度功能障碍,可耐受手术, 胸部CT显示右肺中叶外侧段实性小结节影,约1.0cm*0.9cm,呈现浅分叶状,可见多发毛刺。

图片来源 :讲述者提供
术前准备后于次周在全麻下行胸腔镜下右肺中叶癌根治术+右肺上叶楔形切除术+淋巴结清扫术。
术后病理提示: (右上肺)原位腺癌,肺切缘净;(右肺中叶)浸润性腺癌(乳头状型约占90%,腺泡型约占10%)。
未见明确脉管癌栓及神经侵犯,无肺泡腔扩散,无胸膜侵犯。支气管残端、血管断端及肺切缘均干净,淋巴结未见癌转移,手术很成功,同时在早期Ia期切除,没有发现转移。
治疗效果
术后复查胸部增强CT显示右上肺结节切除术后改变。未见转移以及新发癌症,无明显异常。
“赵伯伯,手术很顺利,目前的术后检查结果也很不错。还好发现得早,没有发现转移,您好好休息,定期复查”看得出来赵伯伯心态也是不错的,虽然经历手术但是也没有那么的紧张,面色和之前相比也红润了很多。
患者日常生活中的注意事项
1、目前赵伯伯术后需要补充优质动植物蛋白,多摄入蔬菜水果补充维生素;同时注意卧床休息。
2、并且绝对要戒烟,同时避免被动吸烟、粉尘及油烟等;
3、恢复期过后,可以适当进行一些有氧活动,增加肺活量。
医生感悟
赵伯伯最开始是因为良性疾病住院治疗,之后身体出现不适情况后非常积极进行检查,定期复查后考虑肿瘤可疑后,积极配合医生选择手术治疗。
赵伯伯虽然术后恢复不错,但是其肺癌原因和其30年的吸烟史也是有很大关系的,赵伯伯平时烟瘾比较大,一天一包,这些都是可能会影响肺功能并导致一系列肺系疾病的诱因之一。
之后也是反复告诫了赵伯伯,“回家以后一定要在家人的监督下开始戒烟了!平时多运动,对于疾病恢复也是有好处的。
平时您可以孙子一起出去散散步,或者打打太极拳都是可以的。”赵伯伯也是连连道谢,出院以后也定期来复查,目前随访一年半,未见复发。
著作权归作者蒋孙路所有
*声明:本文仅用于科普用途,不能作为治疗依据,为保护患者隐私,文章里的相关信息已进行处理。真实经验是作者本人或家人的真实治疗经验,版权归作者所有,禁止转载。如您发现内容有误,欢迎在留言区或后台进行反馈。
小荷健康诚邀您进入病友*交群**流
【小荷健康肺友交流群】入群通道:添加微信 xhjkapp2022 (请务必备注:头条)
小荷健康肺友群是一个交流分享型社群,鼓励大家围绕肺CA疾病的治疗、预后、生活等各类话题进行讨论交流,群内有疾病治疗科普、真实经验分享、不定期医生直播答疑等分享,帮助肺友们抗病路上少走弯路,共抗疾病!
*此为小荷健康官方社群,群内只有病友及家属/亲友们的交流分享,以互相鼓励、交流抗病经验为主!其它打广告、推销等人员禁止入群。