一名82岁男性患者因全身虚弱伴精神状态改变2周至急诊科就诊。患者开始接受脑膜炎的经验性治疗,但随着患者出现惊厥发作,其神经功能进行性恶化。患者9天后死亡。尸检显示大脑液化性坏死(图C)。显微镜检查所见如图所示。

图片来源:N Engl J Med 2020;383:1262
诊断是什么?
1. 肉芽肿性阿米巴脑炎
2. 脑胶质瘤病
3. 狂犬病
4. 人类多瘤病毒2型
5. 克罗伊茨费尔特-雅各布病(克-雅病)
答案: 肉芽肿性阿米巴脑炎。 肉芽肿性阿米巴脑炎是一种罕见的致命性中枢神经系统感染,由自生阿米巴引起。显微镜检查显示滋养体和囊肿。聚合酶链反应确定为棘阿米巴种。
患者既往罹患B细胞淋巴瘤,已缓解10余年。
查体显示患者全身无力,无局部阳性体征。 入院1天后,患者出现失语、右侧肢体无力、精神状态改变。
磁共振成像(MRI)检查显示 左侧额叶近中线处信号异常, 增强扫描未见增强(图A,箭号)。腰椎穿刺采集脑脊液(CSF),实验室检查显示蛋白水平为159 mg/dL(参考范围,15~45),有核细胞455个,其中中性粒细胞为22%,淋巴细胞为46%。CSF培养结果呈阴性,细胞学检查未见恶性细胞。
尽管患者接受了针对细菌性、真菌性和病毒性脑膜炎的治疗, 患者意识障碍逐渐加重,并开始出现惊厥发作。 2天后复查MRI,结果显示 额叶、顶叶和颞叶大面积病变,并出现占位效应 (图B)。
患者于就诊后9天死亡。
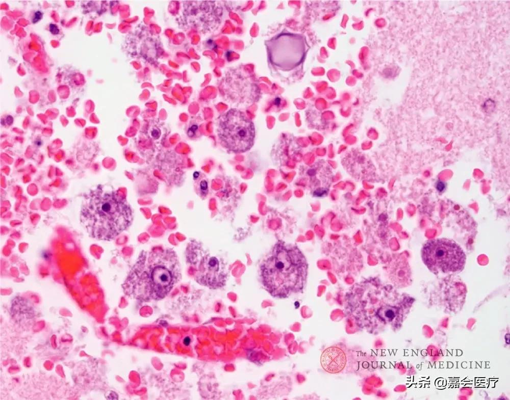
尸检可见 脑液化性坏死 (图C)。显微镜检查可见滋养体(箭头)和囊肿(箭号)(图D),聚合酶链反应确定为棘阿米巴种, 确诊为肉芽肿性阿米巴脑炎。

肉芽肿性阿米巴脑炎
这种罕见的中枢神经系统感染由自生阿米巴(特别是棘阿米巴原虫)引起,通常是致命的。 阿米巴通过接触土壤或淡水传播。 与患者配偶沟通后了解到, 患者仅在养护盆栽植物时接触过土壤。
病例来源:N Engl J Med 2020;383:1262
版权信息
本文由嘉会医学研究和教育集团(JMRE)与《新英格兰医学杂志》(NEJM)联手打造的《NEJM医学前沿》翻译、编写或约稿。中译全文及所含图表等由NEJM集团独家授权。如需转载,请留言或联系nejmqianyan@nejmqianyan.cn。未经授权的翻译是侵权行为,版权方保留追究法律责任的权利。