李叔非常重视健康,每年都要定期体检好几次,前一段时间被确诊为肺癌晚期, 李叔每年体检都会筛查肺癌,结果都是无肺癌风险。
李叔的主治医生了解情况后,看了李叔以往的体检报告,发现李叔最近几年都会用X光片筛查肺癌,这是李叔没有尽早发现肺癌的重要原因, 这项检查对筛查早期肺癌意义大不大,李叔这些年相当于花冤枉钱了。
还有许多检查项目意义也不大,让我们来看一下是哪些检查项目。

一、这5个检查项目真没必要做
定期体检对我们来说非常重要,有利于我们培养重视身体健康的观念,帮助我们尽早发现一些疾病, 对慢性病患者来说,定期体检有利于观察病情进展,根据病程进展制定实时的治疗方案,提高整体治疗效果。
但并不是所有的体检项目都能发现疾病,尤其是一些打着筛查肿瘤噱头的体检项目,有5项体检项目我们做了就是花冤枉钱,没有必要做。

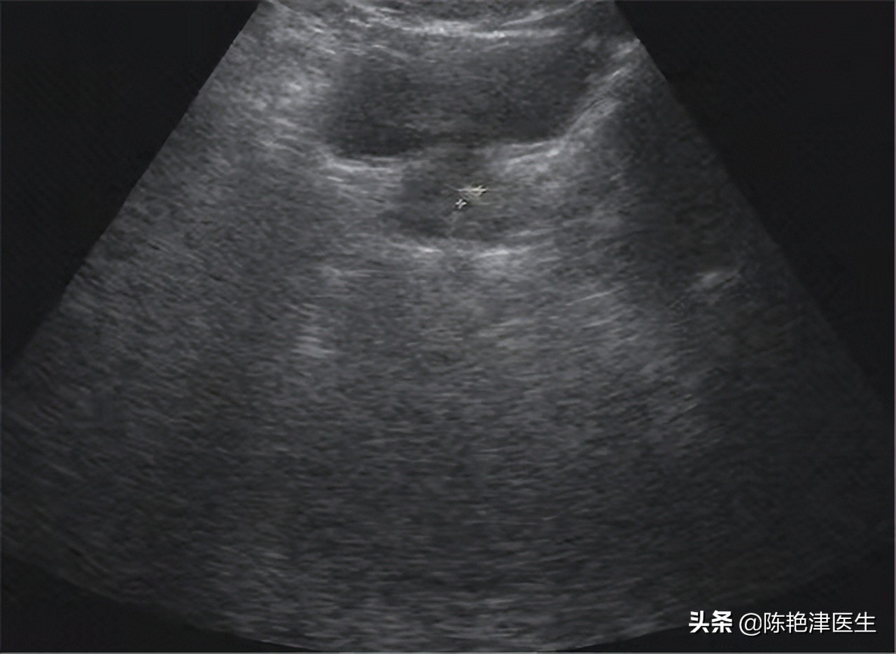
第①个:前列腺彩超筛查前列腺癌
一般的体检项目中都含有B超,B超能够简单筛查一些疾病, 彩超比B超的分辨率更高一些 ,因此一些体检机构会用彩超来筛查肿瘤。彩超和B超都属于超声检查,B超是二维超声检查,彩超是三维和四维超声检查,B超是黑白灰三色,彩超的颜色更丰富,更便于我们观察。
但是本质上两者没有太大区别, 我们平常体检中的B超就能筛查出一些疾病,没有必要专门彩超 ,当然彩超检查还是能够有效防止B超漏诊的情况发生的,必要时我们需要进行彩超检查。

超声检查是最常用的检查手段,相比B超,彩超的准确度会高一些,因此许多疾病确诊都离不开超声检查,超声检查对确诊晚期前列腺癌非常重要,正是因为这一作用,许多体检机构会宣称前列腺彩超能够筛查前列腺癌。
我们要知道前列腺癌大致分为三种类型,潜伏型,临床型和隐蔽型。
- 潜伏型前列腺癌是没有任何症状,可以长期潜伏在机体内,终生不会被发现。
- 临床型是指前列腺局部会出现症状,腺体局部侵犯明显,但是转移较晚。
- 隐蔽型是指早期症状不易被发现,到了中晚期症状才逐渐明显。

从这三种分类可以大致了解到前列腺癌的进程特点,早期症状表现较轻,肿瘤物质易隐藏。彩超检查的主要作用是利用多普勒原理观察机体内的血流情况和脏器形态,通过前列腺彩超检查是筛查不出早期前列腺癌的,当前列腺发展到晚期时,简单的B超检查都可确诊,B超比彩超的价格更实惠。

另外,我们做腹部超声检查时都要求憋尿,憋尿的意义就是在于便于观察组织间的区别,憋尿能够使膀胱更立体,提高组织对比度,从这一点可以看出彩超来观察组织病变的准确度较低。
总体来说, 前列腺彩超筛查前列腺癌是白费功夫,没有必要;有筛查前列腺癌需求的人群可以做前列腺特异性抗原检测试,对早期前列腺癌筛查的准确度很高。

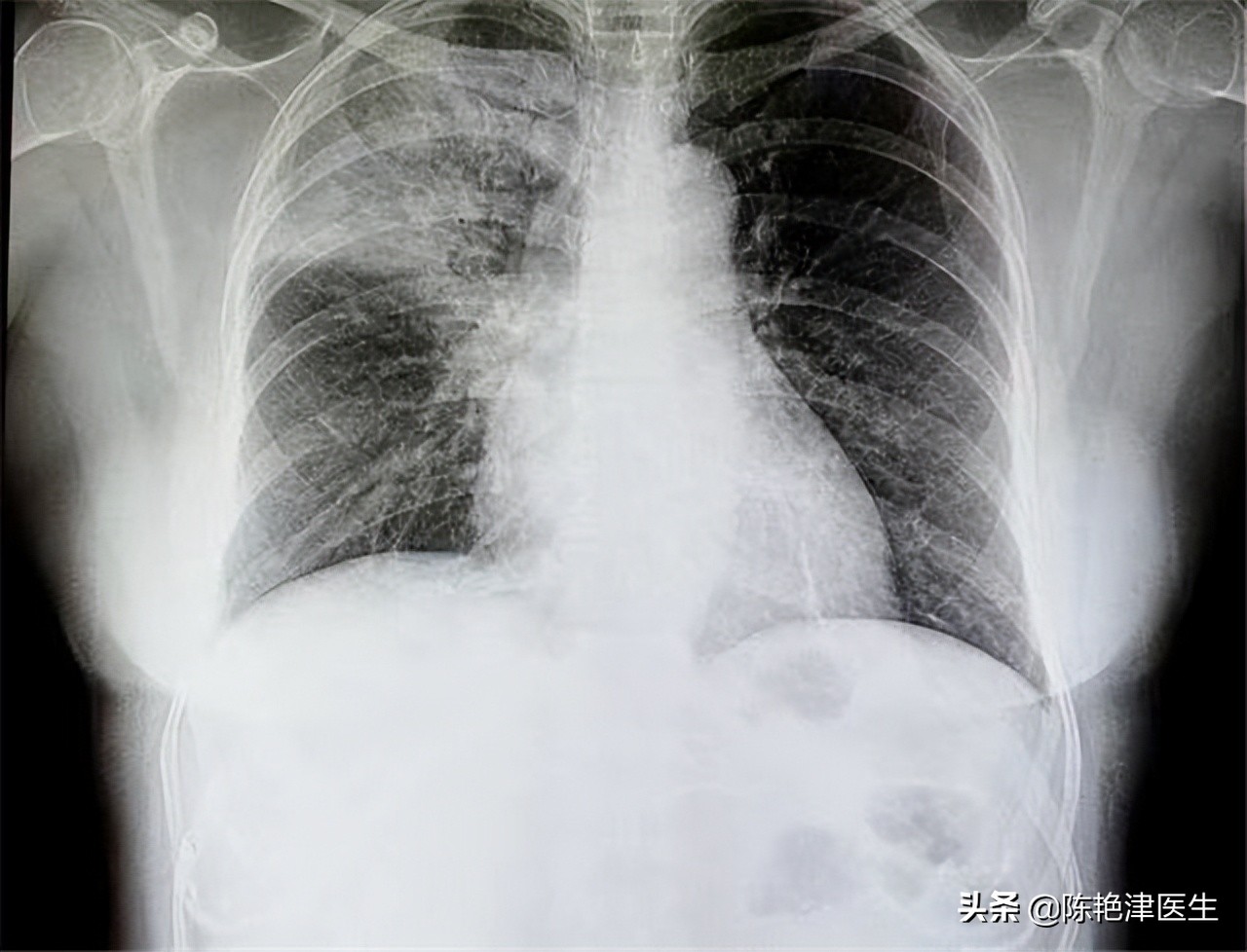
第②个:X光片筛查肺癌
X光片是指利用X射线穿透胸部成像的影像诊断技术,主要用于胸廓,纵膈,肺部,心脏等组织结构的观察, X光片只能观察骨骼和组织的结构,无法准确观察组织器官或骨骼内部否发生癌变,如果细胞侵犯肺外部组织,并且在肺外部形成巨大的肿瘤,那么X光片可以筛查出来。
但是当肺癌已经影响整个肺部形态时,说明肺癌已达到晚期,肺癌早期基本发生在肺部内,几乎不会影响外部肺形态。 因此X光片筛查早期肺癌几乎没有任何作用,有筛查肺癌需求的人群可以通过胸部CT。

第③个:红外线筛查乳腺癌
红外线乳腺检查主要是针对乳房的形态,由于人体不同组织对红外线的吸收能力不同,会影响红外线乳房检查的效果,个体组织吸收红外线能力强的人群,可以通过红外线乳腺检查观察更多组织情况,由于红外线的穿透力有限,对乳房深部组织观察能力较差。

乳腺癌常发生在乳腺小叶上,乳腺小叶分布在乳房的软组织上,红外线只能观察软组织形态无法观察软组织上的乳腺小叶。
如果肿瘤影响乳腺软组织形态发生变化,那么通过红外线可以观察出来, 但是如果肿瘤已经影响乳腺软组织形态了,我们通过触诊就可以发现,患者自己能够摸到乳房肿块,红外线乳腺筛查乳腺癌与触诊筛查乳腺癌的作用相同,完全没有必要做这项检查。 有筛查乳腺癌需求的人群可以通过乳腺彩超和乳腺钼靶检查。

第④个:大便潜血检查筛查消化系统癌症
大便潜血检查主要是指通过显微镜观察大便中的红细胞和血红蛋白的含量,超过正常含量则大便潜血检查为阳性,说明消化系统中发生了出血现象,一般情况下消化系统受到癌细胞侵犯时,消化系统组织粘膜会有出血现象,大多数消化系统癌症都有血便这一症状,因此许多检查机构会用大便潜血检查来筛查消化系统癌症。
大便潜血检查为阳性有很多可能,有可能是食物划伤肠道导致的出血,也有可能是炎症刺激导致的黏膜损伤 ,单一将大便潜血检查作为筛查消化系统癌症的检查不太全面, 大便潜血检查可以作为筛查普通消化系统疾病的项目,作为筛查消化系统癌症的项目太绝对。

第⑤个:血液肿瘤指标物检查
这项检查通常用来筛查癌症,常见的血液肿瘤标志物有CEA、CA199、CA72.4、CA125、AFP等。这些指标对早期癌症筛查有一定的作用,但是许多早期恶性细胞在血液中的含量并不高, 大多健康人群也含有肿瘤标志物,只是相比于癌症患者肿瘤标志物的含量较低 ,单纯进行血液肿瘤标志物检查对确诊癌症的作用很小。
血液肿瘤标志物检查只能提醒机体内有癌症存在,除了前列腺特异性抗原检测,其他的血液肿瘤标志物检测都无法确定是哪个部位发生了癌症 ,一项检查是无法确诊为癌症,癌症的确诊需要多种检测手段甚至需要重复性检查,因此血液肿瘤标志物筛查癌症没有太大的必要。

癌症是非常可怕的疾病,许多人都非常重视筛查癌症,因此许多体检机构会打着某些项目能够筛查癌症的噱头,让我们花冤枉钱,我们要注意分辨,学会正确的体检方法非常重要。
二、正确体检的方法

我们要知道体检结果只能作为身体健康标准的参考,目前常见的体检涵盖率较低,不能全面地反映身体健康情况,因此在生活中我们需要注意观察自己的身体状况。
一般的体检项目大致分为三类, 临床体检项目,仪器体检项目,实验室体检项目 ,除了常规的体检项目,我们还需要根据个人情况制定个性化的体检项目,制定个性化体检项目有利于我们尽早发现疾病,制定个性化体检项目需要我们与主检医生进行沟通及配合。

1.向主检医生主诉最近的身体变化 。
我们体检时可以向医生反映最近身体有哪些变化,如最近总是咳嗽,胸痛,体检医生会着重胸腹部方面的体检。
2.向主检医生说明自己的既往病史。
体检的目的一方面是尽早发现机体的疾病,另一方面是观察既往病史是否有复发的风险,我们向主检医生说明自己的既往病史能够为主检医生提供重点检查的方向。

3.向主检医生说明自己的家族史。
有癌症家族史的患人群患癌症的风险较高,如有直肠癌家族史的人群可以重点筛查直肠癌。
4.积极配合主检医生。
在许多检查中可能需要我们暴露第二性征,如阴道检查和肛门指检等。有些人会因为羞耻心理和恐惧心理拒绝某项检查,我们要避免这种情况发生。除了知道正确体检的方法,我们还要了解不同人群最佳的体检频率,根据不同人群的划分,选择适合自己的体检频率。

三、不同人群最佳的体检频率
我们将体检人群分为五种,青壮年,中老年,老人,儿童,女性。
1.青壮年
健康状况较好的青壮年到1~2年体检一次, 体检重点为机体重要器官。
体质较差的青少年至少每年体检一次,如有原发性疾病,需要遵医嘱定期复查。
2.中老年
中老年人的各项机能开始下降,患疾病的风险也有所增加,因此体检频率应该缩短为半年左右,至少3~7个月体检一次 。中老年人可以固定体检医生,固定的体检医生能够全面系统的反映我们的健康状况,提高体检效果

3.老年人
老人体检的频率和中老年人基本上一致,老人体检可以着重器官功能方面,尽早发现器官功能不全的情况 ,老年人随着年龄的增长,机体内所含的致癌物也会逐渐增加,因此老年人还需要重视筛查癌症的体检项目。

4.儿童
儿童的主要体检项目为生长发育检测
刚出生半年的儿童应每月体检一次
1~2岁的儿童应每三个月体检一次
2~3岁的儿童应每半年体检一次
三岁以上的儿童每年体检一次
主要体检项目为骨骼发育和性器官发育。
5.女性
女性体检频率遵循青壮年,中老年和老人的体检频率, 在此基础上女性随着年龄的增长,可以适当增加妇科体检的频率,尤 其是生育史较多的女性更加需要增加妇科体检的频率,多重视筛查乳腺癌。
另外,骨质疏松是中老年妇女高发疾病之一,女性比男性更易患上骨质疏松,因此女性应该增加检查骨密度的频率。具体的体检频率需要根据个人体质制定,在主检医生的指导下进行。

医生坦言:前列腺彩超筛查前列腺癌,X光片筛查肺癌,红外线筛查乳腺癌,大便潜血检查筛查消化系统癌症,血液肿瘤指标物检查,这5项检查花的是冤枉钱,真没必要做。上面提到的李叔经常通过X光片筛查肺癌,但是却出现了漏诊的情况,主要原因就是因为X光片很难筛查出早期肺癌,所以我们在体检时可以注意避免这5项检查。