阑尾粘液性肿瘤是一种比较少见的恶性肿瘤,是由于突破阑尾的腺体细胞进入到腹腔中,在腹腔内产生粘液,所以称为粘液性肿瘤。
阑尾粘液性肿瘤根据上皮结构变化可分为低级别粘液性肿瘤和粘液腺瘤。阑尾低级别粘液性肿瘤属于恶性肿瘤,容易造成扩散和复发。此病主要因肿瘤细胞和粘液侵犯黏膜下层,导致组织增生,阑尾腔变窄引起感染所致。主要症状是右下腹痛,体表可触及周围无粘连的肿块。
阑尾黏液性肿瘤的临床表现
1.阑尾黏液囊肿
常无症状或表现为右下腹不适,右下腹包块,其特点有:
(1)在急慢性阑尾炎或阑尾脓肿史后右下腹仍有包块。
(2)包块增大缓慢,表面光滑有弹性,边界清可活动,可有轻度压痛。
2.阑尾类癌
以纯类癌常见,预后好,女性多见,男女比例为1∶3,临床表现有以下类型:
(1)急性阑尾炎症状。
(2)慢性右下腹痛。
(3)类癌综合征(罕见)。
(4)个别患者右下腹可触及包块,而一般状况良好。
阑尾类癌患者可出现类癌综合征,表现面部潮红,腹泻,痉挛性腹痛,喘鸣及右心心瓣膜病等症状,但发生率很低。
3.阑尾腺癌
临床表现无特异性,可无症状,阑尾腔梗阻而表现为感染症状少数为右下腹包块或急性肠梗阻症状,极少数表现为肠道出血,肠套叠症状,阑尾腺癌可有下列特点:
(1)阑尾炎症状不典型或表现为阑尾脓肿,经积极治疗一度消退又复发。
(2)右下腹实质性包块。
(3)阑尾短缩,增厚,阑尾腔闭塞,或根部有坚硬包块者。
(4)阑尾切除术后发生长期不愈的瘘管。
阑尾黏液性肿瘤的超声表现
肿块位置主要位于右下腹,部分病例可因腹腔粘连牵拉、肠套叠等原因使包块位于其他位置,其包块位于右上腹。

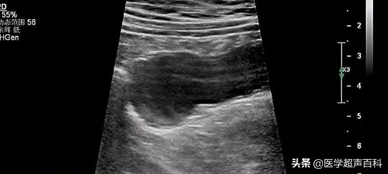
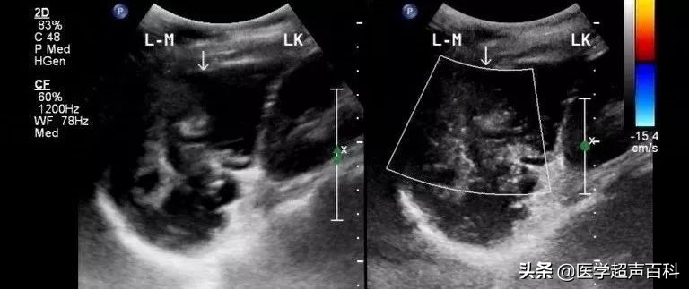
超声表现为右下腹与盲肠相连的类圆形或管状无回声包块,其横径通常大于1.5cm,包块边界清楚,壁厚,内壁不光整,内部可呈无回声或条带状高回声分隔混杂的不均质表现(可误认为是囊实混合性包块),也有病例报道较大的肿瘤可呈“洋葱皮”样,CDFI:部分肿瘤囊壁内可见少量血流信号。

当肿瘤破裂时,可表现为右下腹形态不规则囊实混合性包块,边界清楚,内部回声不均质,其后方回声可有增强;当发生腹腔其他部位种植时,种植部位声像图表现与右下腹包块的声像图表现相似。


阑尾黏液性肿瘤的鉴别
①急性阑尾炎:急性阑尾炎表现为阑尾增粗,阑尾壁水肿,但其横径一般不超过1.5cm。
②阑尾周围脓肿:右下腹压痛、反跳痛很明显,包块周围肠系膜回声增强(炎症反应,阑尾黏液性肿瘤的肠系膜回声通常增强不明显),通常包裹着阑尾。
③肠道肿瘤: 肠道肿瘤主要呈“假肾征”,上下动态观察,与肠道关系密切。
④卵巢黏液性肿瘤:检查过程中明确肿瘤位置是否与卵巢有关有助于鉴别。
阑尾黏液性肿瘤的治疗
原发性阑尾肿瘤都应手术切除,根据肿瘤的性质及部位,术式也有所不同。
1.阑尾黏液囊肿
对于良性的黏液性囊腺瘤完整切除阑尾是惟一的治疗。据统计囊肿多数位于阑尾远端,行包括囊肿在内的阑尾切除即可。手术中操作应轻柔,用敷料将囊肿与周围组织隔开,尽量不使囊肿破裂。应避免穿刺或切开探查,以防黏液外溢、腹腔种植,引起腹膜假黏液瘤。而对于恶性黏液性囊腺瘤,多数学者认为应行右半结肠切除,以达到根治的目的,若根部受累或与盲肠粘连应切除一部分盲肠为宜。对于伴有卵巢黏液性囊腺瘤或囊腺癌者,应同时切除卵巢。
2.阑尾类癌
目前多数学者主张以瘤体大小作为选择术式的主要依据。对直径大于2cm的类癌,转移发生率高,可视为恶性类癌,应行右半结肠切除。对于直径小于1cm的阑尾类癌,行单纯阑尾切除即可。
3.阑尾腺癌
多数学者认为,一旦诊断明确,应行右半结肠切除。与单纯阑尾切除相比,右半结肠切除可明显提高五年生存率,减少复发。由于阑尾腺癌分化均较差,应扩大根治范围,一旦诊断明确,应行右半结肠切除。
4.其他恶性肿瘤
以黏液腺癌及印戒细胞癌为主,恶性淋巴瘤和平滑肌肉瘤罕见。实性肿瘤多为恶性,若术中不能确定肿瘤性质需行冰冻切片检查。争取一期根治切除。由于阑尾缺乏肌层,癌肿浸润黏膜下层即说明病变已达浆膜下层,发现时多属DukesB、C期。此时要按右半结肠癌的手术原则进行右半结肠切除及联合化学、免疫等综合治疗。