田女士,今年34岁,前段时间刚生了二胎,生完后不到两个月就“二阳”了,身体虚的不行。
为了补一补,田女士的婆婆给她搞了很多偏方希望能快点把身体调好,但是田女士 吃了偏方之后病情也没有明显的好转,甚至是出现了彻夜彻夜的咳嗽 ,最近几次,田女士 咳嗽还会咳出一些粉红色的血沫。

这可把田女士和丈夫吓坏了,尤其是田女士,她说:“我听说很多人阳了以后免疫力下降,然后就十分容易患上肺癌,我这 是不是肺癌的表现?我是不是要完蛋了 ”?
丈夫抱着她:“傻瓜,不会的”。
但二人还是在第二天来到了医院做检查。
医生一听田女士咳嗽很久还出现了咳血沫的症状也很担心,于是医生问道:“那你平时还会有其它的不适吗”?
田女士想了一下,对医生说: “好像右上腹这里有点痛,这是不是就是右肺的问题啊”?
医生挑了挑眉:“不是这样估计的, 右上腹不适其实有很多问题,最常见的比如胆囊问题,胆囊炎或胆结石可以引起右上腹疼痛,常伴有恶心和呕吐;还有。肝脏问题好像肝炎、肝囊肿或肝硬化等可能导致右上腹疼痛。

有时候胃溃疡或十二指肠溃疡可以引起上腹疼痛,通常伴随酸逆流、消化不良等症状;还有胰腺问题如胰腺炎、胰腺肿瘤或胰腺结石可能导致右上腹疼痛 。所以你说是不是肺有问题,我不知道怎么回答你”。
田女士一下子哭了:“怎么那么多毛病啊,我是不是完蛋了”?
医生没理她:“你除了这里不舒服还有哪里有问题吗”?
田女士用纸巾擦了一下眼泪对医生说暂时没有不舒服了。
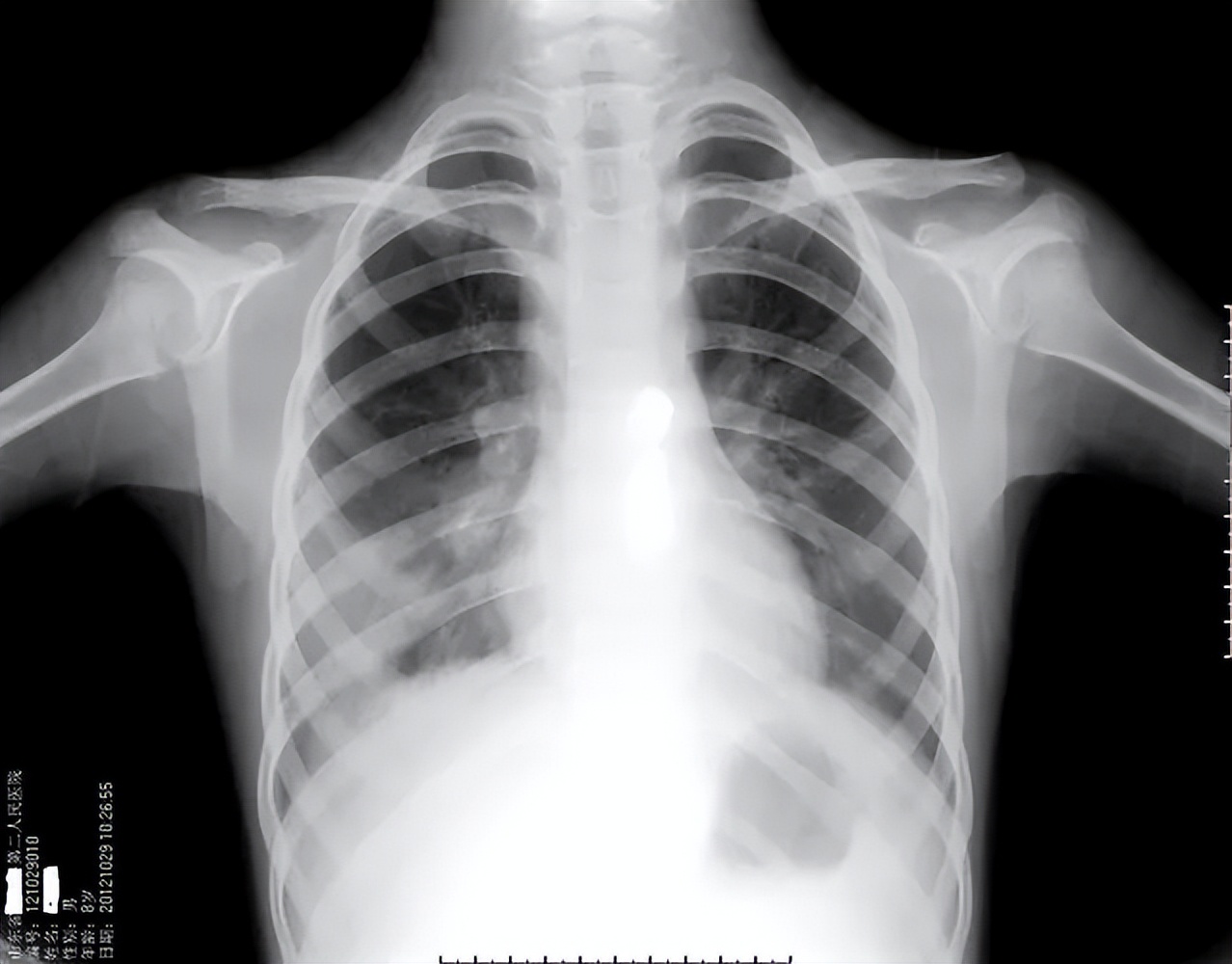
医生点点头说:“那既然这样的话你 先去拍个X光看看情况” 。

田女士在丈夫的搀扶下走出了门诊。
一个小时后,田女士拿着检查报告回来了,医生简单的看了看X光的结果, 田女士的右肺下叶有钝性改变,也就是有积液,然后血常规检查提示有感染,医生初步判断这可能是细菌性肺炎导致的,于是给予头孢、加替沙星治疗。
田女士一看自己不是肺癌,高兴的不得了,拿着药就回家去了。
过了一周左右,田女士来复查,她很不高兴的对医生说: “没效果,我还是咳血,而且这次我还出现了心脏痛的症状”。
医生感到十分诧异, 细菌性肺炎一般用抗生素治疗是立竿见影的,除非自己误诊了 。
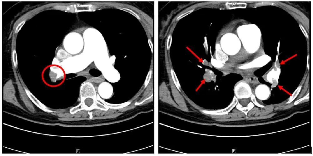
无奈之下,医生就给田女士 做了心电图、心脏彩超然后又补充了肺部CT检查,这次的检查结果就严重多了,田女士的心电图显示T波发生了改变,而且右肺下叶有实变影,胸腔积液引起了不是那么严重的肺不张。
心脏彩超提示田女士的 心脏左室增大,肺动脉内径变宽,三尖瓣有反流 。

医生叫来了心内科医生一起探讨田女士的病情,希望能找到真正的原因。
心内科医生看完后表示:“这很不正常,胸腔积水的性质查了吗?如果胸水没问题的话我估计就是肺栓塞了”。
医生摇摇头: “还没查,要穿刺查吗?搞这么大”?
心内科医生点点头:“没办法了”。
医生只能给田女士做了胸水穿刺,过了两天,在大家焦急的等待下穿刺结果出来了,性质是渗出液,未见脱落的癌细胞,胸膜组织检查结果提示为慢性炎症上皮增深。

经过会诊,大家一致认为这是 肺栓塞导致的 。
立即安排 肺动脉造影 。
终于水落石出!肺动脉造影提示田女士的 肺动脉主干出现了不完全栓塞,右下肺动脉栓塞严重,医生按照经验又给田女士做了双下肢的血管彩超,未发现明显的血栓,排除了双下肢静脉血栓的问题。
之后的事情就好处理了,抗凝、取栓,一周后田女士的情况总算是得到了缓解,一切都在向好的地方发展。
不过令医生感到惊讶的是,一个这么年轻的女性,到底是怎么患上肺动脉栓塞的呢?

了解后才知道, 原来田女士在坐月子期间吃的非常好,而且每天都只坐着、躺着,动都不动,特别是又感染了新冠以后,连翻身都是别人帮忙。
医生感慨道:“生活的太好,太懒惰有时候也是会丧命的”。
什么是肺动脉栓塞?
肺动脉栓塞是一种较为严重的医学状况,它通常是由血栓或其它物质堵塞了肺动脉或其分支引起的。
临床认为肺动脉栓塞主要是指血栓、脂肪、空气或其它物质在血液循环中移动并最终阻塞了肺动脉或其分支的情况,这可能会严重干扰肺部的血液供应。
肺动脉栓塞的症状可以因栓塞的严重程度而有所不同,常见症状包括呼吸急促、胸痛、咳嗽、咯血、心悸、头晕和晕厥。严重的情况可能导致呼吸困难和休克。
大多数情况下肺动脉栓塞与深静脉血栓形成联系密切,即在身体的深静脉中形成的血栓。危险因素包括长时间的床位休息、手术后、妊娠、过度肥胖、吸烟、荷尔蒙治疗和一些遗传因素。

肺动脉栓塞的分类如下几种。
根据栓子来源可以分为;
1、血栓源性肺动脉栓塞。
这是最常见的类型,血栓形成于体内其它部位,如深静脉血栓形成,然后随血流到达肺动脉。
2、脂肪源性肺动脉栓塞。
脂肪栓子形成于长骨骨折、脂肪坏死、全身性骨折等情况后,然后在机缘巧合下进入血液循环,最终阻塞肺动脉。
根据栓子的性质可以分为;

1,血栓性肺动脉栓塞。由血栓直接引起的肺动脉阻塞。
2,非血栓性肺动脉栓塞。由非血栓物质(如脂肪、气体等)引起的肺动脉阻塞。
根据临床表现和病程可以分为;
1,急性肺动脉栓塞。
患者的症状急剧出现,短期内会导致呼吸困难、胸痛、晕厥等严重症状。
2,慢性肺动脉栓塞。
病程一般较长,症状较轻,但可导致长期肺动脉高压等并发症。
3,气体源性肺动脉栓塞。
较为罕见的类型,通常由气体(如空气或其他气体)进入血液循环,途径是动脉撕裂、静脉血栓或手术操作等途径。

根据栓子的性质又可以分为;
1,血栓性肺动脉栓塞。由血栓直接引起的肺动脉阻塞。
2,非血栓性肺动脉栓塞。由非血栓物质(如脂肪、气体等)引起的肺动脉阻塞。
产后坐月子为什么容易发生肺栓塞?
首先,产妇容易长时间卧床休息。
产后坐月子通常要求新妈妈在床上休息,减少活动。这会导致血液在身体内静止或血流速度变缓,这样情况下相对容易形成血栓。
其次,很多孕妇产后处于血液高凝状态在一些生产激素如催产素、雌激素、缩宫素的影响下产妇可能长期处于血液高凝的情况。

第三,缺乏足够的水分。
坐月子期间,一些妇女可能因为忙于照顾婴儿或其他原因而不够喝水,这可能导致血液黏稠度增加,增加了血栓的风险。
总之,在任何情况下医生都不建议大家太懒,长期坐着、躺着不动,很容易就会出现肺栓塞的问题,尤其是一些年纪大的妇女,尽量多走动走动,多喝水,不要让血液凝固了,一旦诱发肺栓塞,可能会导致死亡。