
今天与大家一起讨论关于非HIV患者耶氏肺孢子菌肺炎的临床诊治进展,并通过3个临床案例的分享一起展开思考。我将从PJP概况、非HIV患者PJP特点、PJP诊疗新进展和PJP临床实践与思考四个方面讲述。
耶氏肺孢子菌肺炎长期以来被称作卡氏肺孢子菌肺炎,人们并未意识到二者的本质区别……
从一条时间线开始回顾肺孢子菌的「前世今生」:1909年,Chagas首先在豚鼠的肺中发现了卡氏肺孢子菌,但误认为它是克氏锥虫的一种;1912年,Delanoe夫妇鉴定为新的原虫,命名卡氏肺孢子/囊虫(Pneumocystis carinii);1976年,Delanoe提议将其名称改为耶氏肺孢子菌(Pneumocystis jirovecii),以纪念捷克寄生虫学家耶诺维奇(Jirovecii);1988年,DNA分析发现PC为一类缺乏麦角甾醇的原始真菌;2002年,感染不同哺乳动物的PC在DNA水平上存在差异,耶氏肺孢子菌主要感染人,而卡氏肺孢子虫主要感染豚鼠。
PJP的危险因素、生物学特征、免疫反应如何?
· 特定疾病:血液系统肿瘤(淋巴系肿瘤较多);风湿性关节炎/COPD/哮喘长期系统性使用激素;淋巴细胞减少,CD4可减少或不减少。
· 特定治疗:强的松≥20mg/d,持续≥1个月;甲氨喋呤、长春新碱、阿糖胞苷、氟达拉滨、环磷酰胺、抗TNF-α;移植受者,常伴GVHD。
· 儿童:NHL、ALL等引起淋巴细胞减少的疾病、HSCT受者、特定的遗传缺陷;强的松≥16-20mg/d或≥0.4mg/kg/d,持续≥1个月。
以上这些是肺孢子菌肺炎(PJP)患病的危险因素,可以看到,特定的疾病、特定的治疗导致免疫功能低下,以及儿童这个群体在特殊疾病基础下存在PJP感染的可能性。这促使我们需要对耶氏肺孢子菌的生物学特征进行详细的了解。

耶氏肺孢子菌对肺有独特的趋向性,肺外极其罕见。健康人吸入孢子可寄居在气管、支气管或肺泡呈无症状性隐性感染;当人体免疫力低下,处于潜伏状态或新侵入的虫体开始进行繁殖,产生大量滋养体和包囊,迅速扩散,导致弥漫性间质性肺炎。
耶氏肺孢子菌主要有包囊(感染型)和滋养体(繁殖型)两种形态。滋养体为可变多形体,有细足和伪足形成,类似阿米巴。包囊:囊壁内含有囊内小体(或称子孢子),完全成熟的包囊内一般为8个,因此包囊是重要的诊断形态。它的寄生部位限于肺泡腔(滋养体、包囊前期和包囊期),成熟包囊进入肺泡后破裂,囊内小体脱囊后发育为滋养体,滋养体紧贴肺泡上皮寄生,增殖,包囊多位于肺泡中央。

六胺银(GMS)——对包囊染色的特异性好,对比度强,菌体易于辨认,简便快捷,现广泛用于肺组织印片的染色——其无法识别滋养体和囊内小体,形态不典型时易误检;
吉 姆 萨(Giemsa)——染色结果不稳定,与实验人员的技术密切相关;
Diff‑Quik染色——染色结果不稳定,与实验人员的技术密切相关;
Calcofluor‑White(CFW)——简便、快速、成本低;
直接或间接免疫荧光染色——易于辨认包囊。
肺孢子菌(PJ)滋养体附着于上皮细胞进入支气管多为包囊,因此多检查出包囊,而难以查出滋养体。总体BAL阳性率70%>诱导痰30-55%。

这是PJP的免疫应答反应。M、Ly、T、N等均参与PJP的宿主免疫反应,总体来说,肺泡巨噬细胞是宿主防御的中心效应细胞,APC启动T细胞和单核细胞,CD4 T细胞是重要抗PJ细胞,CD4 T细胞继续介导Th1,Th2和Th17的免疫炎症反应。然而,73.1% PJP患者CD4<200/µL。
非HIV患者PJP特点以「三联征」为典型临床表现,肺部阳性体征缺乏或仅可闻及少许散在湿啰音,症状和影像学严重程度与体征不一致

这是非HIV患者PJP发病率,从挪威、中国、法国三个国家的曲线,我们看到随着免疫抑制宿主的大量上升,越来越多非HIV的PJP病例被诊断出来。当然这也与新的分子生物学诊断技术的进步有关,如BALF的PCR、mNGS等方法。

非HIV-PJP的临床表现,PJP是以「三联征」为典型的临床症状:1.咳嗽,常为刺激性干咳;2.发热,多为持续性高热;3.呼吸困难呈进行性加重,未经治疗死亡率几乎为100%。体征:肺部阳性体征少或仅闻及少许散在湿啰音。症状和影像学的严重程度与体征不一致。

对比HIV感染者,我们可以看到非HIV患者合并PJP感染的特点更加明显,区别也较大。

Non-HIV对比HIV患者,HIV在咳嗽症状高于非HIV,而Non-HIV患者更需要有创MV、NPPV、立即吸氧、高氧流量、入住ICU,并且,病死率高于HIV患者,约为HIV患者的7倍。

中日友好医院对716名CAP和HAP患者长期使用糖皮质激素的情况进行了研究,发现近半患者激素>30mg/d,平均累积剂量3g,使用时间3个月;持续淋巴细胞减少;PJP发生率 134/716=18.71%;呼衰77.6%,近1/3需插管,休克近1/3;30天病死率33.6%。

实体器官移植的患者当中,肾发生率最低,心肺移植最高;使用环孢素、他克莫司代替硫唑嘌呤可增加PJP发病率。年龄、CMV感染、淋巴细胞计数是PJP独立危险因素。值得思考的是,合并CMV感染是免疫抑制的表现,还是可直接促进PJP?但可以确定的是,经常就诊医院是肾移植患者发生PJP的危险因素。

2018年发表在《中华结核和呼吸杂志》的一篇名为《结缔组织病患者肺孢子菌肺炎合并急性呼吸衰竭的临床特点及预后分析》的文章,纳入的41例PCP患者中,皮肌炎12例,占比29.3%;红斑狼疮10例,占比24.4%;肉芽肿性多血管炎8例,占比19.5%;其余成人still病、干燥综合征、类风湿性关节炎分别2例,占比4.9%;其他自身免疫性疾病5例,占比12.2%。
41例患者的住院病死率为75.6%,也就是41例患者中,31例死亡。主要临床表现为呼吸困难、发热和干咳,比例均高于65%,其中发热比例87.8%,呼吸困难高达90.2%。合并巨细胞病毒(CMV)肺炎和侵袭性支气管肺曲霉病的比例分别为58.5%和17.1%。

其他容易忽视的疾病还有这些,尤其在近几年新冠疫情肆虐,新冠后合并PJP的患者也需要早期鉴别,及时诊治。

关于儿童PJP,这是北京儿童医院10年来纳入的60例PJP病例,死亡率为41.7%。其中主要有血液病:急淋,TTP;肾病:NS,IgA肾病;免疫缺陷:X-linked高IgM综合征,联合免疫缺陷。
LDH>495IU/L预测病死率敏感性和特异性为70%;BDG诊断PJP敏感性为91%,特异性为79%……PJP诊疗新进展

由于确诊PJP对取样和标本要求高,难度大,因此2019EORTC/MSGERC侵袭性真菌感染指南亦新增肺孢子菌临床诊断标准,对有高危因素,可以通过典型临床表现,肺部影像学及G实验等拟诊断,及时启动PJP特异性治疗。但单一的临床诊断标准不足以确诊,故还需同时开始相应诊断程序进一步明确诊断。


COVID-19的流行让我们更加重视PJP。由于免疫失衡,使用糖皮质激素随后出现呼吸障碍,以及病毒诱导或医源性淋巴细胞减少,这些都是PJP感染的危险因素。对于肺部感染的高危人群时,必须鉴别PJP和COVID-19。一项研究告诉我们,PJP与COVID-19的共存率为4.34%(530例中23例)。

可以看到,死亡、ICU的PJP患者LDH较存活、非ICU患者高。LDH>495IU/L预测病死率敏感性和特异性为70%。

另一项研究告诉我们:BDG≥80pg/ml 敏感性69.8%,特异性81.2%。PPV为34.6%,NPV为95.2%;≥200pg/ml联合PCR阳性,敏感性70%,特异性100%,PPV为100%,NPV为52.0%。

最新的meta分析纳入了23个研究,显示BDG诊断PJP敏感性为91%,特异性为79%。其中HIV患者敏感性为94%,non-HIV敏感性为86%。BDG阴性PJP可能性小。


该研究告诉我们:1、PCR检测的敏感性、特异性、阳性预测值和阴性预测值分别为96%、98%、90%和99%。敏感性和特异性高于IFA;2、BDG值(特别是较高的值)与真正的PJP患者之间存在一致的相关性;3、PCR中Ct值可能能区分真正的感染和定植。Ct值小于30对应于真实的PJP病例,Ct值≥36被归类为定植。

目前PJP的诊断方法主要包括:PCR、环介导等温扩增法、抗体检测及抗原检测。

因此,目前PJP在诊断上的挑战主要包括以下几个方面:1、如何区分定植和感染;2、对新的诊断技术进行规范;3、对检测样本的把控;4、对宿主因素考虑不足;5、个体的异质性;6、研究的异质性;7、临床对PJP认知不足。相应我们需要提高的举措包括界定定植和感染的标准,规范新的检测技术,确认非侵袭性标本,提高诊断技术,识别个体易感因素,通过分子标志物进行个体异质性鉴定,提高医生对PJP的认识。
不必等病原学结果启动治疗的先决条件?糖皮质激素是否能用于非HIV感染的PJP辅助治疗?热病指南作何推荐?PJP疗效评估怎样?
肺孢子菌肺炎的启动治疗时机是什么?ECIL指南推荐,不必等待病原学结果即可启动治疗,有危险因素的患者存在以下症状或体征:呼吸困难/咳嗽;高热;低氧血症;胸痛,且符合PJP表现的胸部影像学(双侧多发弥漫性间质改变等)或存在无法解释的乳酸脱氢酶升高,即可启动治疗。

糖皮质激素是否能用于非HIV感染的PJP辅助治疗?该指南指出,在非HIV感染的PJP患者及呼吸衰竭的患者中不推荐GCS作为常规辅助用药。在具有PJP及呼吸衰竭的非HIV患者中添加GCS的决定必须在个体基础上进行(相当比例的非HIV-PJP在未发生PJP前都早期接受GCS)。也就是说,对于HIV中到重度,由于对其生存的好处,应该尽早开始辅助性GCS治疗。由于GCS的益处存在矛盾的结果,因此不建议用于非HIV,叶酸禁忌,会导致治疗失败和死亡风险增加。因此结论是,糖皮质激素用于非HIV感染的PJP辅助治疗证据有限。

欧洲白血病感染会议(ECIL)ECIL指南特别指出给药途径——中重度肺孢子菌肺炎患者起始治疗采用静滴复方磺胺甲噁唑。
如何解读ECIL指南推荐的中重度肺孢子菌肺炎治疗采用静滴复方磺胺甲噁唑?对于中重度PJP患者,应开始静脉给药治疗(A-IIu,以前为A-II)。一旦患者的肠吸收没有受到影响,临床得到改善,可以考虑改用口服治疗(A- iiu,以前为A- ii);轻度PJP患者(这在血液学中很少见),肠道吸收不受影响的患者(B-IIt,以前为B-II),可以从一开始就口服治疗。口服和静脉给药剂量应相同(A-IIt,原为A-II)。

50版桑福德热病指南推荐:对于重症病例,PaO₂<70mmg或者P(A-a)O₂>35mmg,需要使用静脉药物,口服不可行。依据TMP成分:15mg/(kg∙d)分次q6h、q8h*21天。

关于复方磺胺甲噁唑血药浓度,说明书中规定对大多数感染疾患者游离磺胺浓度达50~150μg/mL(严重感染120~150μg/mL)。复方磺胺甲噁唑用于治疗卡氏肺 孢子菌肺炎血药峰浓度范围,SMZ:100~150μg/ml。可有效总磺胺血浓度不应超过200μg/ml,如超过此浓度,不良反应发生率增高,毒性增强。
目前临床研究认为临床使用SMZ-TMP应进行常规TDM监测,但具体的时间、浓度靶值以及毒性阈值缺乏权威有力的证据。2014年Brown、R Glen对SMZ-TMP临床治疗不同病原菌的TDM监测靶值进行了总结,这是目前对于磺胺血药浓度监测最为全面的靶值指导。

该研究纳入54例PJP患者,口服复方磺胺甲噁唑血药浓度达标率只有51.9%。同时对同一患者不同用药方案的血药浓度进行分析(SMZ,ug/ml)发现:
1、单纯用针剂2支,Q6首剂1.5小时就可以达到大于50μg/ml 的血药浓度;
2、序贯治疗针剂基础上加上一片口服,并没有提高血药浓度(只有提高到4片时才显著提高血药浓度);
3、单纯口服4片,Q6无法达到血药大于50μg/ml的治疗血药浓度。
PJP疗效评估如下:
疗效反应较慢,早期临床恶化(在治疗开始的前3-5天内)是常见的,至少在开始治疗后7d才可以审慎考虑无效,应在1周后进行首次评估。
在临床没有改善和/或通过适当的抗PJP治疗第8天后血气分析证实呼吸功能恶化,应当怀疑治疗失败。
第8天经临床证实失败者,应当再行支气管镜和支气管肺泡灌洗以证实有无合并其他感染。
PJP治疗后,影像学吸收晚于临床症状改善,治疗开始后13天时通过复查肺部CT可观察到病情改善。
如何早期识别、诊断、治疗?从3个PJP临床病例带来的实践与思考

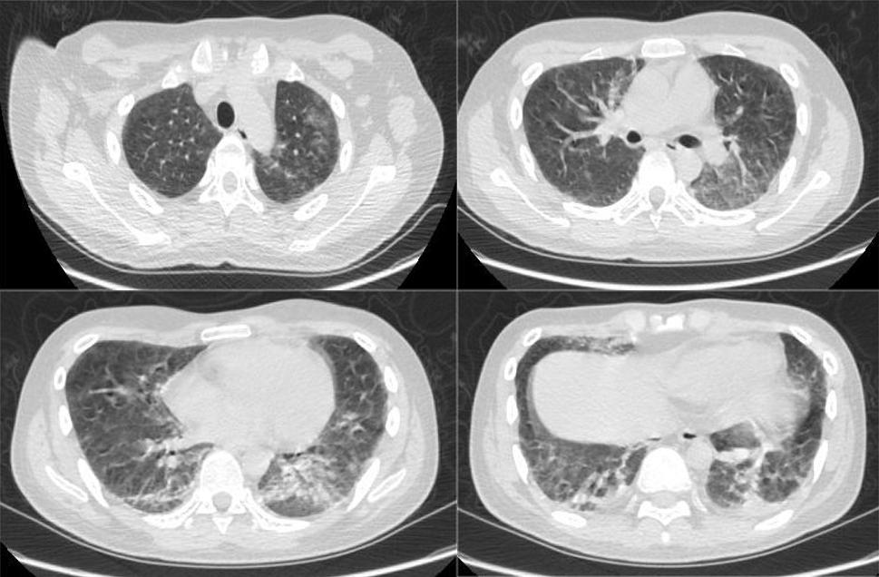
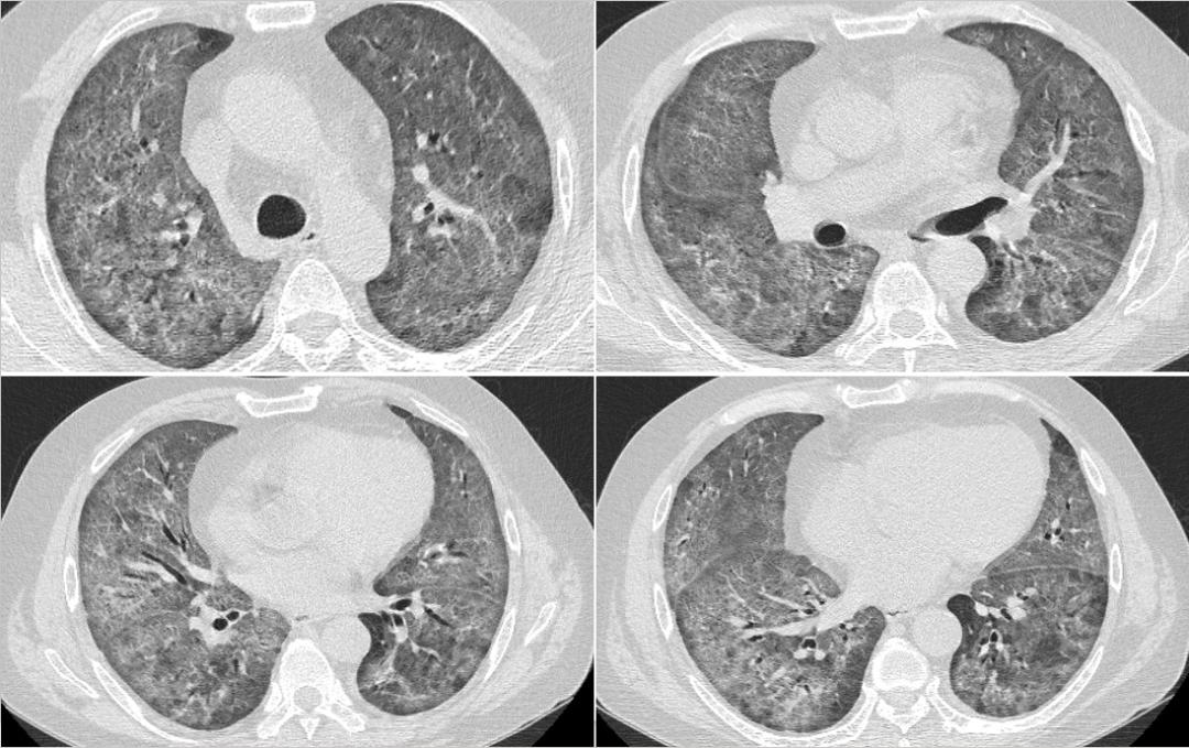
2020-12-08胸部CT
临床病例(一):池某某,男,17岁,2020年12月9日因「反复发热10天,伴气喘1天」入院。最高体温39.5℃,伴乏力,无畏冷、寒战,无咳嗽、咳痰,自行口服「退热药」后,体温降至正常。入院前1天再次出现发热,最高体温39.0℃,伴气喘,就诊我院急诊。
既往史及个人史:2020-8在肾内科诊断IgA肾病、原发性肾病综合征(系膜增生),后规律服用「甲泼尼龙、他克莫司」抗排斥。
查体:体温:36.6℃,脉搏:117次/分,呼吸:40次/分,血压:128/89mmHg。双肺呼吸音粗,未闻及干湿性啰音和胸膜摩擦音。心腹查体未见明显异常。
血气分析:pH值7.490↑、二氧化碳分压36.9mmHg、氧分压63.8mmHg↓、实际碳酸氢根27.9mmol/L↑、标准碳酸氢根28.6mmol/L↑、总二氧化碳64.9mmol/L↑、实际剩余碱4.8mmol/L↑、标准剩余碱4.5mmol/L↑、氧饱和度91.5%↓。
血常规:白细胞计数15.83*10^9/L↑、粒细胞百分比88.4%↑、粒细胞计数14.00*10^9/L↑。
CRP:85.9mg/L↑
PCT正常
呼吸道病原体谱抗体,肺炎支原体血清学,T-SPOT,术前四项均未见异常。

诊治经过如下:

患者既往有肾脏基础疾病,使用激素及免疫*制剂抑**4个月,此次肺炎伴有低氧血症,胸部CT影像学表现不典型,需完善纤维支气管镜肺泡灌洗明确病原菌。

2022年12月10日的BALF-mNGS结果示:耶氏肺孢子菌。序列数181,符合免疫功能低下宿主的常见病原菌,结合患者血液学巨细胞病毒DNA结果,考虑患者为PJP合并巨细胞病毒感染,给予SMZ联合更昔洛韦治疗,CRP和PCT明显下降。复查胸部CT较前明显吸收。


对于免疫功能抑制宿主,需积极完善病原学检查,PJP是非常常见的致病菌,当胸部CT出现间质性改变,同时伴有低氧血症,需要警惕PJP的可能,当然一部分患者可能合并有CMV的感染,需要加以鉴别。

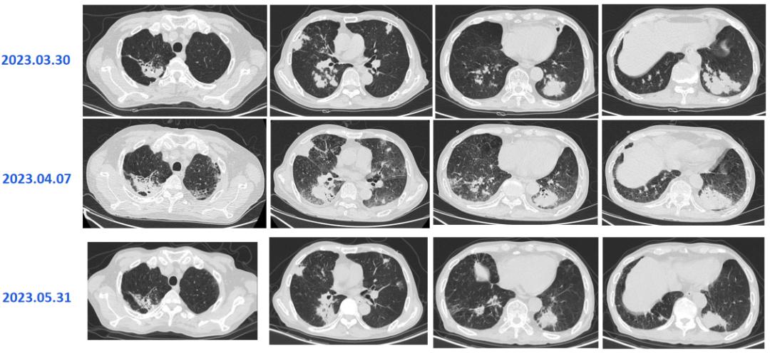
2023-03-30胸部CT
临床病例(二):林某某,男,73岁,2023年3月30日因「反复咳嗽、咳痰1月余,加重1周。」入院。1周前无明显诱因出现咳嗽、咳痰、气喘加重,伴腹痛,进食后明显,近1周消瘦明显。
既往史及个人史:2023年1月27日因「泡沫尿半年、双下肢水肿8天」于福州某三甲医院住院治疗,2023年1月30日行「肾穿刺活检」,术后病理:膜性肾病;后「甲泼尼龙、他克莫司」。
查体:体温:36.5℃;脉搏:58次/分;呼吸:18次/分;血压:154/85mmHg,双肺呼吸音粗,可闻及干湿性啰音。
血气分析:pH:7.45,pCO2:27mmHg,pO2:82mmHg,HCO3-:19mmol/L,SaO2:96.7%,氧合指数:282。
血常规:粒细胞百分比92.8%↑、淋巴细胞百分比3.8%↓、淋巴细胞计数0.24*10^9/L↓、单核细胞百分比1.8%↓、嗜酸性细胞百分比0.3%↓。
CRP:105.0mg/L↑ PCT:1.08ng/ml↑ 血沉:97.0mm/h↑ 急诊N端B型钠尿肽前体:3035.0pg/mL。
生化:尿素19.9mmol/L↑、肌酐118.4μmol/L↑、葡萄糖40.07mmol/L、总蛋白51.5g/L↓、白蛋白21.7g/L↓、肌酸磷酸激酶257.6U/L↑、肌酸激酶同工酶41.3U/L↑、乳酸脱氢酶297.1U/L↑、钾5.51mmol/L↑、钠130.1mmol/L↓、氯89.9mmol/L↓、二氧化碳22.1mmol/L↓、渗透压331.2mmol/L↑。
诊治经过如下:

患者既往有肾脏基础疾病,使用激素及免疫*制剂抑**2个月,此次肺炎病情进展迅速,胸部CT影像学表现病灶多样,需立即完善纤维支气管镜肺泡灌洗明确病原菌。

该患者为诺卡菌、耶氏肺孢子菌、巨细胞病毒、曲霉菌、非结核分枝杆菌、酵母菌的复杂感染,考虑患者多种药物联合治疗肝肾负担重,暂先给予SMZ注射液、更昔洛韦、伏立康唑及美罗培南治疗,病情得到明显缓解,后调整伏立康唑为艾沙康唑,停用更昔洛韦后加用抗利福平、乙胺丁醇、克拉霉素进行抗非结核分枝杆菌治疗。


复查患者炎症指标明显好转,胸部CT复查较前明显吸收。

对于复杂感染患者,多种抗菌药物联合使用会导致肝肾功能损害,需权衡利弊,需要优先处理易导致疾病快速进展的病原菌如PJP、巨细胞病毒、细菌,后处理增殖缓慢的病原菌,如曲霉菌、结核、非结核分枝杆菌等。

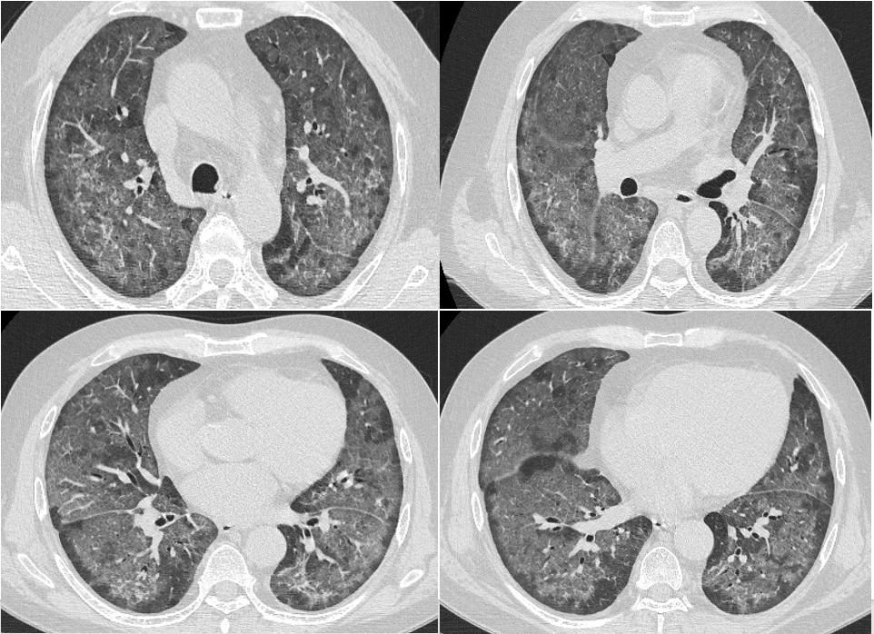
2022-7-13胸部CT
临床病例(三):甘某某,男,50岁,2022年7月12日因「发热,、咳嗽、咳痰、气喘10余天,加重2天」入院。痰色白不易咳出,体温最高38.5℃。外院予「莫西沙星+头孢他啶」抗感染,「甲强龙40mg」抗炎,仍反复发热,2天前咳嗽、咳痰、气喘加重。
既往史及个人史:2022年2月于广西省人民医院行「肾移植术」,后规律服用「吗替麦考酚酯胶囊、他克莫司」抗排斥。
查体:T 37.3℃,P 118次/分,R 25次/分,BP 118/89mmhg。双肺呼吸音粗,未闻及干湿性啰音和胸膜摩擦音。心腹查体未见明显异常。
血气分析:PCO2:26.9mmHg↓、PO2:56.2mmHg↓、实际碳酸氢根17.2mmol/L↓、标准碳酸氢根19.8mmol/L↓、总CO2:40.5mmol/L↑、实际剩余碱-5.4mmol/L↓、标准剩余碱-6.4mmol/L↓、氧饱和度88.9%↓、氧合血红蛋白86.6%↓、还原血红蛋白10.8%↑、P50:26.55↓。
血常规:白细胞 8.22X10^9、粒细胞百分比 85.1%↑、粒细胞计数 7.65X10^9↑、淋巴细胞百分比 7.4%↓、淋巴细胞计数 0.45X10^9↓、嗜酸性细胞百分比 0%。
CRP:106mg/L↑
诊治经过如下:

患者既往有肾移植病史,使用激素及免疫*制剂抑**,此次肺炎病情进展迅速,胸部CT影像学符合PJP或巨细胞病毒改变,需立即给予PJP及更昔洛韦诊断性治疗,并积极完善纤维支气管镜肺泡灌洗明确病原菌。

2022年7月14日的BALF-mNGS结果,检出耶氏肺孢子菌。
患者的呼吸道病原体谱抗体,EB病毒、巨细胞病毒DNA,肺炎支原体,T-SPOT,术前四项均未见异常。
2022年7月17日:患者气喘较前明显好转,改口服SMZ;7月18日:复查胸部CT。患者仍有活动性气喘,暂续前治疗;7月20日:气喘明显加重,急查血气;7月22日:炎症指标上升,转ICU行气管插管+呼吸机辅助呼吸,CRRT。

2022年7月18日,患者胸部CT见双肺间质性炎症范围较前扩大,考虑PJP感染导致的间质性炎症持续渗出。

患者属重症PJP,给予静脉使用SMZ注射液病情一度好转,但因经济原因,改为口服SMZ治疗,后病情进展迅速。


2022年7月24日,BALF-mNGS检出耶氏肺孢子菌、肺炎克雷伯菌。肺炎克雷伯菌系院内感染。7月28日,多次复查血常规提示血小板进行性下降;8月8日:抗生素降阶梯;8月10日:气管插管2周,暂难脱机,需行气管切开,血小板低,输注血小板,择期行气切;8月13日:血小板进行性下降,感染消耗可能。血小板27X109/L、CRP89.2mg/L;8月16日:复查血常规示三系进行性下降,降钙素原升高15.6ng/ml,感染加重;8月17日:炎症指标较前明显升高,调整抗生素。血小板16X109/L、CRP272mg/L;8月18日:患者深昏迷,FIO2100%,血氧饱和度波动于60%-80%,去甲肾上腺维持血压,随时可能出现死亡风险,患者家属强烈要求出院,劝阻无效,予办理自动出院。血小板11X109/L、CRP326mg/L。
从该例病例,我们可以看到,PJP的早期诊断和治疗非常关键,及时早期使用SMZ的治疗对预后起着决定性的作用,对于重症PJP,建议尽早使用SMZ注射液,并序贯口服治疗。
这3个病例分享带给我们哪些诊治思考?
早期识别:1、肺孢子菌肺炎高危因素;2、典型症状;3、典型影像学表现。
早期诊断:1、G试验:G试验在实践中不如报道好;2、LDH;3、基于核酸扩增技术:PCR,mNGS。
早期治疗:1、PJP延迟治疗会增加患者死亡率,重症患者不能等待微生物检测结果再开始治疗;2、重症患者建议早期使用注射液,静脉序贯口服治疗。
合理评估:1、1周后进行首次评估;2、临床证实失败者,应当再行支气管镜和支气管肺泡灌洗以证实有无合并其他感染;3、影像学吸收滞后。
参考文献
1. J Antimicrob Chemother. 2016 Sep;71(9):2379-85.
2. Atlas of Anatomic Pathology
3. Nat Rev Microbiol. 2007;5(12). Current Opinion in Microbiology 2017, 40:65–71. Transpl Infect Dis. 2017;19(2).
4. International Journal of Infectious Diseases 46 (2016) 11–17
5. Emerg Infect Dis. 2014 ;20(9):1490-7
6. BMJ Open 2020;10:e037419.
7. American Journal of Transplantation 2015; 15: 190–199
8. 中华结核和呼吸杂志2018年3月第41卷第3期
9. ERJ 2017; 50: 1701443
10. Clin Respir J 2016; 00: 000–000.
11. J Antimicrob Chemother. 2016 Sep;71(9):2405-13.
12. Roya Matouri, Shima Aboutalebian,Front Med,2023 Apr 6;10:1148320
13. Critical Care (2018) 22:307
14. Clinical Infectious Diseases. 2019;69(8):1303–9
15. Clin Microbiol Infect. 2020 ;26(9):1137-1143.
16. Marjorie Bateman , Rita Oladele,Med Mycol. 2020 Nov 10;58(8):1015-1028
17. Hughes WT,Lafon SW,Scott JD,et al. Adverse events associated with trimethoprim-sulfamethoxazole and atovaquone during the treatment of AIDS-related Pneumocystis carinii pneumonia[J]. J Infect Dis,1995,171( 5) : 1295-1301
18. Carmona E M , Limper A H . Update on the diagnosis and treatment of Pneumocystis pneumonia.[J]. Journal of Health & Sports Science Juntendo University, 2011, 34(1):76-87.
19. Brown, Glen R . Cotrimoxazole - optimal dosing in the critically ill[J]. Annals of Intensive Care, 2014, 4(1):13-13.
20. LC-MS/MS法测定人血浆中复方磺胺甲噁唑的浓度及其临床应用,China Pharmacist 2022,Vol. 25 No. 7
专家介绍

文文
联勤保障部队第九〇〇医院呼吸与危重症医学科主任助理、副主任医师、副教授、医学博士、硕士生导师(厦门大学、福建医科大学、福建中医药大学)中华医学会呼吸病学分会青年委员;中华医学会呼吸病学分会感染学组委员;中国临床肿瘤学会(CSCO)青年专家委员会委员;福建省医学会呼吸病学分会委员;福建省医学会呼吸病学分会青年委员会副主任委员;福建省医学会呼吸病学分会慢阻肺学组副组长;福建省医学会呼吸病学分会感染学组委员;Thorax杂志青年编委;《海军医学杂志》审稿专家;荣获首届全国“中青年呼吸学者精英”荣誉称号,海军军医大学“*级A**优秀教员”,荣立个人三等功1次,享受*队军**优秀专业技术人才岗位津贴。
本文由《呼吸界》编辑 冬雪凝 整理,感谢文文老师的审阅修改!
* 文章仅供医疗卫生相关从业者阅读参考
本文完
责编:Jerry