皮炎是比较常见的一种皮肤病,一年四季都会发生,尤其冬季是一个高发季节。冬季的气温低、气候干燥皮肤就开始“闹情绪”,出现发红、瘙痒、刺痛、干裂、丘疹等症状,日光性皮炎、神经性皮炎、泛脂性皮炎都会找上门,如果处理不当很容易引起病灶处皮损、皮肤溃疡感染、皮肤苔癣样变甚至留下疤痕,让人苦恼万分。那么这三种皮炎应该如何预防和处理呢?接下来我们就详细地讲一讲。

图片来源于网络
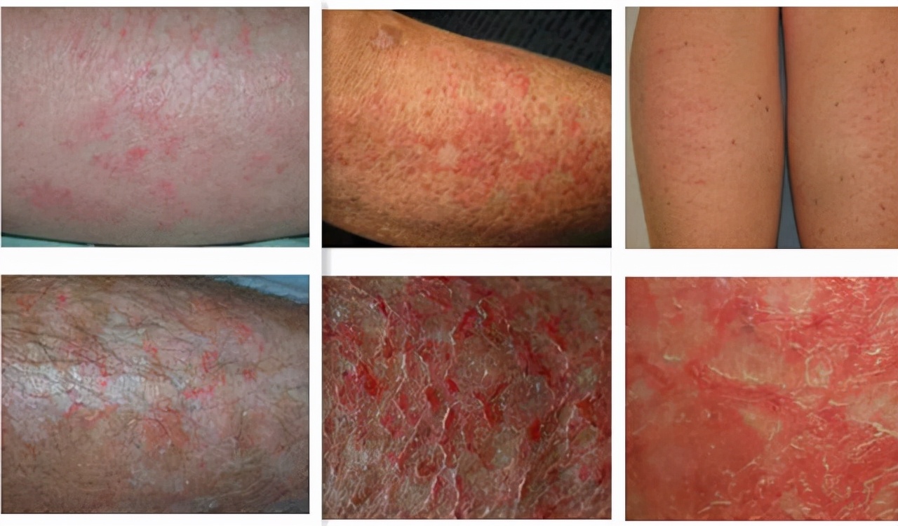
一、泛脂性皮炎
泛脂性皮炎也叫冬季皮炎,主要是由于冬季气候干燥,皮肤表面油脂分泌减少、缺乏足够滋润而引起的一系列症状。
表现症状:皮肤出现细小鳞屑,严重时可见“碎瓷器”样裂纹,尤以小腿胫前明显,手背也会出现干燥性裂纹。皮肤干燥脱屑后会刺激痒觉神经,从而引发瘙痒症状,并因搔抓而出现抓痕、渗血。搔抓过度者还会影响睡眠质量。
处理方法:①轻症的时候可以选择外涂保湿剂,比如皮肤发红、刺痛瘙痒、干燥有裂痕的时候可以使用保湿剂,或者抗生素和激素类药膏,抗生素和激素要在医生指导下使用,以免使用不当加重症状;②重症的时候要及时就医,比如开裂有渗血、挠抓后结痂、外涂药膏作用不大或症状反复的时候就必须要就医了,这说明皮炎不是暂时的症状,而是脏腑失调引起的症状,需要从内调理脏腑。

图片来源于网络
二、神经性皮炎
神经性皮炎是以阵发性皮肤瘙痒和皮肤苔藓化为特征的慢性皮肤病,容易复发,一般都是发生在中青年身上。
表现症状:首先会让患者出现剧烈瘙痒,由于搔抓和摩擦会逐渐出现皮损,皮疹为散在分布的扁平丘疹,圆形或多角形,坚硬而有光泽,呈淡红色或正常皮色;日久融合成片后会有肥厚、苔藓样变,干燥、有细碎脱屑,不过没有渗出,大多都是发生在颈部、四肢伸侧、腰氐部、腘窝、还有外阴。
处理方法:①千万不要抓,会越抓越严重;②局部治疗可以使用糖皮质激素软膏、霜剂或溶液外用;③系统治疗可以先选择抗组胺和镇静类的药物先暂时止痒,然后从中医角度系统调理体质、平衡五脏,达到治愈的目的。

图片来源于网络
三、日光性皮炎
冬季的紫外线比夏天更强烈,皮肤受到较强烈的紫外线照射,会引发日光性皮炎。
表现症状:在皮肤暴露部位常发,表现为皮肤泛红,起小疙瘩,瘙痒等。严重时可出现小水疱,甚至面部红肿,伴疼痛烧灼感。
处理方法:①注意防晒,有些患者会对防晒霜有反应,我们可以采取遮挡的方式防晒;②局部外用药,可以选择炉甘石洗剂和糖皮质激素;③系统治疗可以选择中医从内调理体质,已达到治愈的效果。

图片来源于网络
皮炎是比较常见的皮肤病了,抓住辩证,治疗起来也并不复杂,但是拖延不治却会对工作生活质量和心理健康产生很大的影响。希望今天的分享能够帮助大家正确认识冬天常发的皮炎,能学到一些正确的处理方法。

中医 皮肤科 马成杰 大夫
我是@皮肤科马成杰大夫 ,不求闻达,但求利人!分享皮肤疾病相关知识,帮助大家提高健康意识,愿每一个人喜乐安康!欢迎+关注、点赞转发,让更多人受益!#中医# #健康中国# #生命摆渡人#