冷冻胚胎移植是试管婴儿疗程中实现妊娠的有效手段。
在冷冻胚胎移植前,一般需要准备内膜。首先使用雌激素来增厚内膜,然后使用黄体酮来产生胚胎植入所需的变化,就是我们说的转化内膜。
那么在这个过程中可能会出现什么问题呢?
1、子宫内膜薄
许多研究表明,如果超声检查发现子宫内膜不够厚,则怀孕率降低。生殖医生会尝试多种不同的方法来增加内膜厚度,例如增加雌激素的剂量或改变雌激素的给药方式。然而,在一些女性中,这个问题会持续存在。

超声检查子宫内膜
如果问题仍然存在怎么办?
一种选择是是取消这次移植,待下个周期再尝试移植;第二种选择是继续移植,因为薄的内膜并不一定意味着不可能怀孕,临床上,内膜薄,低于8mm,甚至只有6.5mm,移植后成功怀孕其实是有的。
2、意外排卵
为了让胚胎顺利着床,它们必须在准确的时间被放置入子宫中,这被称为种植窗口期。
但是,如果提早排卵了,比预期更早地开始产生黄体酮,这会改变着床窗口期。在这种情况下就很难确定排卵的确切时间,这就会给植入时间带来一些不确定性。出于这个原因,许多生殖医生会使用药物来试图防止意外排卵。

排卵示意图
3、胚胎移植时机不当
这个问题与排卵期问题有关。然而,在某些情况下,即使植入的时间准确,种植窗口也会发生偏移。以前,医生认为所有女性的种植窗口时间都是一样的。但根据较新的研究表明,一小部分女性的种植窗口可能比平时早或晚。
幸运的是,如果不确定,可以进行测试,称为子宫内膜容受性检测(ERA),可以确定种植窗口何时“打开”。知道后,医生就可以将胚胎移植的时间调整到正确的时间。
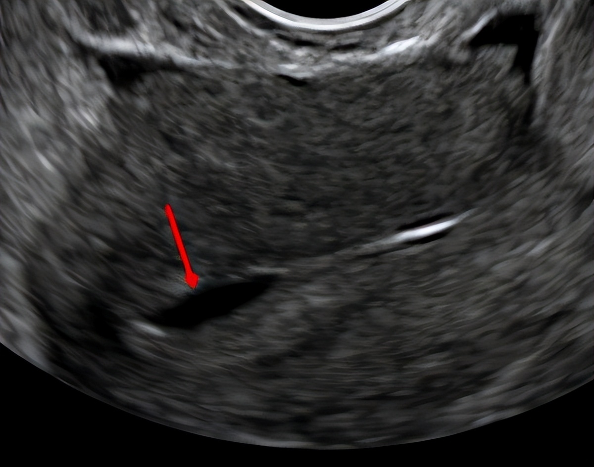
4、子宫腔内的积液干扰
子宫内膜的细胞会不断地产生液体,其中一些液体被子宫内膜中的细胞重新吸收,一些液体通过子宫颈从子宫渗漏到阴道,一些液体通过输卵管渗漏到腹部。然而,在某些情况下,额外的液体可能会积聚在腔内。如果子宫腔中充满这些液体,这会减少胚胎着床的机会。

子宫腔内的液体
在一些女性中,子宫腔内积液可能是由于输卵管末端堵塞导致的,这被称为输卵管积水。输卵管积水有毒性作用,会降低胚胎着床率,因此,在移植前需要处理输卵管积水。解决方法一般是进行手术切除输卵管,这是一种经过充分研究的治疗方法,可以使怀孕的机会增加一倍。
在没有输卵管积水的情况下,清除子宫腔内的积液更具挑战性。如果在服用雌激素期间存在液体,那么开始使用黄体酮通常会导致多余的液体被重新吸收,胚胎移植可以正常进行。
如果这些积液继续存在,取消这个周期、待下一个周期再移植可能是谨慎的做法。

5、未知因素
子宫内膜和胚胎之间有许多复杂的相互作用,但我们知之甚少。即使本文中描述的问题都不存在,胚胎仍可能无法着床成功。因此,只能随着研究的不断深入,期待发现新的问题和新的疗法。
声明:相关不孕不育、试管婴儿观点仅供健康参考,关于病情实际情况,与医生当面讨论为准,不能替代医生的面对面诊断,请知悉!