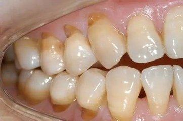
很多人觉得刷牙是日常的一件小事,其实不然。正确的刷牙方式能有效清除牙齿及牙周组织菌斑和软垢,可以起到预防龋齿和改善牙周状况的作用,而错误的刷牙方式,则可能毁掉我们的牙齿,这并不是危言耸听,我们先看几张图片:


你的牙齿有没有上图情形??有些朋友常牙痛,遇凉便牙酸,总以为是蛀牙闹的,殊不知也很有可能是“楔状缺损”导致。
什么是楔状缺损
楔状缺损(wedge-shaped defect)是发生在牙齿唇、颊面颈部的慢性硬组织缺损,呈“V”状,由于它的外形酷似木匠用的楔子,因而得名楔状缺损。多见于前牙或双尖牙的唇面,以中老年患者居多。据临床统计,在60岁以上的老年人中该病的发生率高达90%以上,而且随着年龄的增长,严重程度也随之加重。

楔状缺损的临床表现为:
1、在牙齿的颈部接近牙龈的部位,牙齿硬组织有少量缺损,逐渐加重后,便在牙颈部形成由两个平面所组成独特的“V”型缺损。缺损的边缘整齐、表面坚硬而光滑,有时可有程度不等的着色,对冷、热温度刺激比较敏感。
2、根据缺损程度,可分浅、中和深三型。浅型和中型可无症状,也可发生牙本质过敏症。深型有牙髓病、根尖周病症状,甚至发生牙齿横折。
3、好发于口角附近的牙齿,尤其是第一前磨牙,位于牙弓弧度最突出处,刷牙时受力大,反复多次,可伴有牙龈退缩。
4、与年龄存在关系,一般年龄越大,缺损越严重。
造成楔状缺损的原因
1.不正确的刷牙方式
长期横向刷牙或用过硬牙刷、刷牙过猛都会导致牙颈部磨损。临床上看,牙颈部楔状缺损更多是位于上下颌正中牙齿分别往后数第三、四颗,这些牙处于牙列拐角处,因此刷牙时受到的力也是最大的。

2、牙颈部组织薄弱
牙齿也有薄弱部位,就是牙颈部,这个地方的牙釉质覆盖最少,因此牙龈也容易发生炎症或萎缩导致牙体暴露,所以耐磨能力最差。

3、挤压作用
在刷牙时,面颊部肌肉对牙刷存在挤压作用,这种挤压使牙刷对牙齿的摩擦力更大,加剧了横刷牙方式对牙颈部突出部分的磨损。

4、酸的作用
牙龈沟液中的酸性物质与楔状缺损有关,这就解释了龈缘根方发生缺损的原因。胃炎患者、常反酸者牙齿也易发生楔状缺损。


5、细菌作用
有人认为产酸菌在牙颈部菌斑中形成大量的酸,导致牙齿脱矿,强度降低的牙体组织在外力作用下易产生楔状缺损。

楔状缺损该如何治疗?
症状较轻者:

▲对于组织缺损较少且无酸痛症状者,局部不需要特殊处理。但要避免横刷,并选用较软的牙刷和磨料较细的牙膏。
缺损较重者:

▲可选用与牙齿颜色近似又有一定粘接性的复合树脂或玻璃离子粘固粉等将楔状缺损补好,以防继续发展。
重度缺损者:
重度缺损而引起牙髓炎、根尖炎的患者,要及时进行治疗。楔状缺损不是太复杂的病症,治疗及时就能减少因牙病和掉牙带来的痛苦。
楔状缺损可以预防吗?
选择合适的牙刷,并配合正确的刷牙方式是预防楔状缺损缺一不可的。

牙刷的刷毛不可太硬,采用上下运动的竖刷法,避免使用拉锯式的横刷法。如果缺损已经形成,则需要尽快修补。
温馨提示:其实当你感觉到牙齿不适、酸痛等症状时,问题已经相当严重了。平时我们可以做下自检:对着镜子,看看牙齿颈部有没有小的缺损。
