导语:前额叶瘤是脑部肿瘤的一部分。狭窄指的是脑实质中的肿瘤,包括最常见的神经外胚层胶质瘤。大体上,它也包括额叶脑外肿瘤,其中以蛛网膜起源的脑膜瘤最为常见。除了枕叶,其他脑叶肿瘤的发病机率基本相同。

一、额叶肿瘤是什么病?此病一般可以分为几类?发病的原因主要是什么?
1、疾病介绍
前额叶位于中央沟的前部,包括主动区、动前区和前额叶。中间沟与前面的中央沟为中央前回。前部有前部沟和前部下沟,前部上回、中回、下回由前部沟交替排列。从外侧裂开的额下后升支和水平支分为眶、三角和顶盖。
前额叶瘤是脑部肿瘤的一部分。狭窄指的是脑实质中的肿瘤,包括最常见的神经外胚层胶质瘤。大体上,它也包括额叶脑外肿瘤,其中以蛛网膜起源的脑膜瘤最为常见。除了枕叶,其他脑叶肿瘤的发病机率基本相同。
2、疾病分类
(1)星形细胞性肿瘤
星形细胞瘤,间变性星形细胞瘤,胶质母细胞瘤,巨细胞瘤,胶质肉瘤,毛状星形细胞瘤,多形黄色星形细胞瘤等等。
(2)少枝胶质性肿瘤
少突胶质细胞瘤,间变性(恶性)少突胶质细胞瘤。

(3)室管膜肿瘤
室管膜瘤(细胞型,乳头型,上皮型,透明细胞型,混合型),间变性(恶性)室管膜肿瘤,粘液性乳头状室管膜肿瘤。
3、发病原因
普通额叶肿瘤如神经胶质瘤和脑膜瘤的发病原因尚不明确。它可能是由于体内环境的某些变化和基因变异所致,而非单一因素。病毒感染、颅脑损伤、辐射等因素均可能影响。病理学因素可引起染色体突变或加速细胞分裂。
现在一般认为导致肿瘤的因素有:
(1)遗传因素
有些肿瘤有明显的家族特征。胎源细胞的残余和异位生长也是造成颅内肿瘤的重要原因。
(2)物理因素
比如电离辐射,两者的相关性更为显著。但是,创伤和颅内肿瘤之间的联系仍是一个谜。
(3)化学因素
例如 PAH和亚硝胺类化合物。其中大部分都是间接致癌物,需要通过代谢活化来引起癌症。

二、额叶肿瘤,主要的临床表现有呕吐、以及其他精神症状等
1、临床表现
前额叶肿瘤的临床表现与其具体部位、肿瘤的生长速度、肿瘤的病理类型等因素密切相关。
(1)呕吐
当额叶肿瘤体积较大时,可出现头痛、呕吐、视乳头水肿等高颅压症状。颅内压升高在肿瘤迅速增长的病人表现得尤为突出。
(2)其他精神症状
这种情况通常出现得早,但很难引起注意。其特征是记忆力减退和人格异常。举例来说,注意力难以集中,记忆和理解能力下降。早、近、远记忆明显衰退,相对保持;但是,随着病情的发展,思维能力和综合能力明显下降,表现出时、地定向障碍。个性改变以高皮质活动性障碍和冷漠为主。额叶病的典型症状是情绪波动,性欲减退,兴奋和易怒。
(3)运动能力受损
有时,精细动作能力受损(如绣花和针刺的不协调连续动作),语言和行为失调。可以出现额叶共济失调,表现为坐位、行走障碍、翻身不稳,容易跌倒至对侧病变。

2、诊断方法
额叶肿瘤的起病隐匿性较强,临床表现以非特异性为主,局灶性神经功能缺损指征较少。辅助检查往往对早期诊断十分重要。
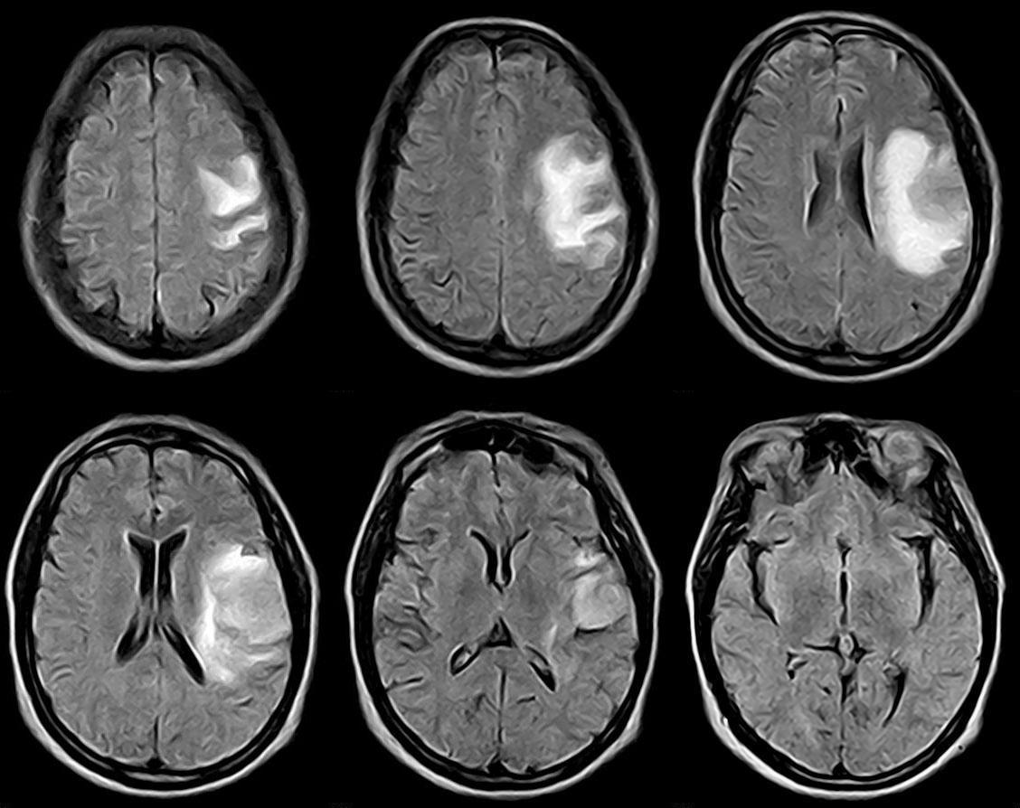
(1)CT或是MRI检查
现在的常规检查包括 CT和 MRI。由于不同肿瘤的发生发展,其影像学表现也有所不同。脑平片能显示颅内高压、肿瘤钙化和松果体钙化移位。脑室造影可以显示脑血管的移位及肿瘤血管。但是通常用 CT和 MRI来代替。
(2)核医学影像检查
通过正电子发射断层扫描等核医学影像技术,我们可以观察占位性病变的生长代谢,鉴别良、恶性病变,寻找脑外可能的原发病变。确诊时,要注意区分肿瘤是颅内原发性转移还是颅内全身性病变。它会影响癌症治疗方案的发展。
三、患有额叶肿瘤,主要需要和哪些疾病进行鉴别诊断?救治措施有些什么?
1、鉴别诊断
(1)额叶脓肿
典型病例多为继发于其它部位的感染性病变,有发热史,发病相对急性。腰穿血象和脑脊液检查显示多形核白细胞增多。除了额头疼痛,呕吐,乳头水肿外,还有很多的慢脉。但是现在,随着医学和社会的发展,典型的感染性表现常常不常见。精神疾病的发病率也很高,大约60%。惊厥也是常见的症状之一。

(2)颅内寄生虫病
在额叶寄生虫病中,癫痫发作和精神症状是常见的。根据流行病学特征、与寄生虫的接触史、身体其它部位有寄生虫的情况、皮试阳性、血及脑脊液补体联合试验等进行诊断。寄生物患者病史较长,病变进展较缓慢,故应注意多次影像学复查与比较。
(3)肉芽肿性疾病
可以有全身性表现,如颅骨损伤,肺部,口腔等。病理学可以进一步证实。
2、急救措施
使用脱水药物可以控制这种情况。如有必要,可用来作脑室穿刺引流,急诊开颅,肿瘤切除或内减压术,姑息性脑室-腹腔分流术等。
症状性癫痫的治疗主要是控制癫痫持续状态、脑水肿、脑缺血缺氧等并发症。可用安定、丙戊酸钠等药物治疗,辅以吸氧、降温、防咬伤等治疗。如果需要,可以使用冬眠和辅助疗法。
3、治疗方法
(1)控制颅内压
干燥疗法急症时,脑脊液经脑室穿刺排出。
(2)手术治疗
切除肿瘤。手术切除肿瘤和内部减压。行头颅切除术单纯姑息性脑脊液分流。

(3)栓塞治疗
多用于脑膜瘤,可减少术中出血,是治疗的辅助手段。
(4)放射治疗
为延缓肿瘤复发或抑制肿瘤生长,延长患者生命,适用于一般情况下不允许手术切除、放疗敏感的颅内肿瘤患者。用于脑胶质瘤病和脑转移的多发性疾病。
4、预后
恶性病变,如胶质瘤的预后取决于肿瘤病理分级、复发后病理分级的改变、病人的一般情况、疾病的诊断和治疗等多方面因素,但其整体情况较差。但是,额叶肿瘤较其它部位更易切除,因此预后较好。

5、疾病预防
原因不明,达不到有效的、有针对性的预防。按照传统的观点,均衡而合理的饮食,良好的生活习惯,良好的环境条件,都有助于降低发病率。严格的定期体检有助于疾病的早期发现,诊断和治疗。很好的依从性和规范的随访有助于疾病的二级预防。
结语:病人发作时,家属或其他人应让病人躺在软垫上,注意保护,避免跌倒。适时松开领口,松开裤带,用手帕夹住筷子或刷子柄在病人嘴角和上下牙齿之间,同时取下病人的假牙,头向一侧倾斜,注意排泄分泌物和呕吐物,防止误吸。