患者女,57岁,既往肺癌病史3年,肺癌穿刺术后病理提示EGFR突变,给予泰瑞沙、易瑞沙靶向治疗,3年前发现颅内多发转移,后行脑部立体定向放疗+靶向治疗,随访颅内病灶较前缩小。
近1月来感头痛,我院MRI提示右侧枕叶结节此次不明显,左侧顶叶结节较前缩小,左基底节区巨大肿块,如下。

术前MRI,左侧基底节区巨大囊实性占位
给予患者左侧基底节区囊肿欧马亚囊植入术,术后抽吸囊液3次,左侧囊性肿瘤基本完全消失。患者头痛症状明显缓解,语言较前流利,术后CT如下:

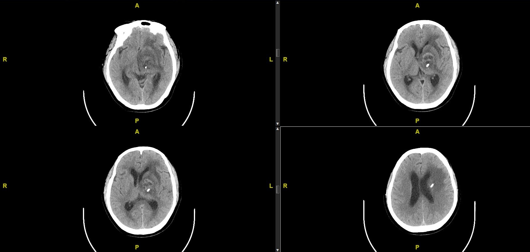
术后CT囊腔消失
病例点评:
脑转移瘤中有很多病例会合并囊性病灶,主要是肿瘤存在分泌功能,这种囊性病灶一旦形成,会急性加重,产生占位效应,而且本例病例肿瘤位于左侧基底节区,切除手术患者极大可能会出现偏瘫失语等严重的功能障碍,而单纯放疗对于囊性病灶效果不好,因为囊性病灶面积大分散了放射线的杀肿瘤效应。所以经过讨论,我们制定的方案是放置欧马亚囊,一端连接瘤腔,一端埋置皮下,可以通过体表抽吸囊液缩减肿瘤体积。缓解占位效应的同时,大大提高了放疗的效果,有效的延长患者的生存期,并改善患者的生活质量。