
每天18时,以案说医。医案是中医临床实践的记录,体现了诊疗过程中理、法、方、药的具体运用,是医家诊治疾病思维过程的表现。历代名家医案是中医药宝库中的瑰宝。我们推出【以案说医】栏目,以期传承精华,启迪我辈,共同进步。
近日我们将记录广东中医医疗队在湖北抗疫的《新型冠状病毒肺炎中医医案精选》部分医案摘录出来,以当代中医的视角,感受与时间赛跑、与病魔较量的惊心动魄。
【基本资料 】
刘某,女,76岁,退休人员。既往有高血压20年,慢性心衰5年余,脑梗死10余年(共脑梗死3次,最近1次在3年前,遗留右侧肢体乏力),反复吸入性肺炎病史。
01 【发病过程】
患者2020年2月10日因“咳嗽气促2天”于外院住院治疗,时咳嗽少痰,气促,活动后加重,伴双下肢水肿,夜可平卧,无发热,无胸闷痛,无呕吐,无腹痛腹泻。查胸部CT提示“双肺磨玻璃样改变”,新型冠状病毒核酸检测阳性。西医诊断为新型冠状病毒肺炎。予抗感染、抗病毒治疗后(具体治疗经过不详),患者气促、咳嗽症状缓解,为求进一步诊治于2月20日入住雷神山医院。入院后,西医常规给予酒石酸美托洛尔片(倍他乐克)控制血压、人血白蛋白提高白蛋白配合呋塞米利尿等治疗。
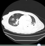
入院血常规提示白细胞计数及中性粒细胞绝对值升高,淋巴细胞绝对值偏低。胸部CT提示双肺感染,考虑病毒性肺炎可能,双侧胸腔积液,双肺下叶膨胀不全(图2-4-55)。

图2-4-55 2020年2月20日胸部CT
02 【首诊证候】
2月20日首诊:患者神清,面色㿠白无华,倦卧于床,声微懒言,发音稍模糊,畏寒,四肢偏凉,无发热,气促,动则加重,胸中憋闷感,头昏沉思睡,鼻导管3L/min吸氧,外周血氧饱和度89%,心率120次/min,咳嗽少痰,色白质偏稀,纳差,口干口淡,便溏,日解大便2~3次,纳差,不欲饮食,少许呕恶,小便清长,夜眠不安。舌淡嫩,苔薄黄腻(图2-4-56),脉沉细弱略数。

图2-4-56 首诊舌象
03 【辨证论治】
病机诊断:邪入少阴,阳虚里寒。
治则治法:扶阳救逆,兼以解毒。
处方:四逆汤加减。熟附子10g,干姜15g,炙甘草20g,金银花10g,皂角刺10g。
服法:颗粒剂冲服,一剂分早晚2次,热水冲服。
西医治疗方面以治疗基础病、改善营养等对症支持为主,予倍他乐克控制血压、人血白蛋白提高白蛋白配合呋塞米利尿消肿。
04 【随诊过程】
2月23日二诊:患者精神好转,言语较前洪亮清楚,自诉服药后“人有劲儿了”,畏寒减轻,胃脘部有温热感,欲进食温热食物,气促及胸闷均有所减轻,维持3L/min鼻导管吸氧,外周血氧饱和度94%,心率95次/min,活动后仍气促,咳痰量增加、色白稍黏,口淡减轻,口干无口苦,大便偏烂,小便量增多、清长,胃纳好转,仍有思睡,眠差。舌淡嫩,苔薄黄稍腻,脉沉细略数。
处理:效不更方,守方续服。
西医治疗方案维持。
2月27日三诊:早上查房,患者自诉服药后精神明显好转,维持鼻导管3L/min吸氧,外周血氧饱和度96%,心率80次/min,无畏寒,自觉四肢较前明显转暖,有饥饿感,食量明显改善,可在床上活动,活动后少许气促,胸闷已缓解,咳痰量仍多、色白稍稀,口干少许口苦,大便2日未解、质偏干,睡眠尚可。下午患者饮水饮食呛咳后出现恶心,呕吐胃内容物1次,后患者出现发热,体温38.8℃,伴寒战,自觉腹胀,口干口苦。复查血常规示白细胞计数14.97×109/L,中性粒细胞百分比87.7%,淋巴细胞绝对值0.96×109/L。C反应蛋白57.66mg/L,降钙素原2.26ng/ml。胸部CT提示“吸入性肺炎”。舌红,苔薄黄腻(图2-4-57),脉弦数。

图2-4-57 三诊舌象
处理:大便多日未解,在继续服用四逆汤的基础上,加用大柴胡汤和解通便排毒。
处方:柴胡30g,黄芩15g,姜半夏15g,生姜15g,大枣5g,枳实20g,大黄10g,桃仁10g,白芍15g。
服法:原四逆汤于上、下午各服1次,晚上加服大柴胡汤1次。
西医治疗加注射用美罗培南(美平)1g,每8小时1次,静脉滴注,以抗感染,亦维持余治疗方案。
3月2日四诊:患者热退,精神可,可于床上自行翻身、保持坐姿进食,静息状态无明显气促,活动后稍气促,3L/min鼻导管吸氧状态下外周血氧饱和度99%,咳痰量减少,胃纳好转,大便已转通畅、每日1行,睡眠稍差。舌淡红,苔薄白微腻,脉沉细。
处理:效不更方,加大补益力度,四逆汤一日服3次,大柴胡汤每日1次续服。
西医方面,患者感染控制情况可,将美平降阶梯为注射用头孢哌酮钠舒巴坦钠(舒普深)3g,每12小时1次,静脉滴注。余治疗方案同前。
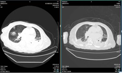
3月5日五诊:患者情况继续好转,精神可,静息状态无明显气促,活动后稍气促,鼻导管2L/min低流量吸氧,外周血氧饱和度99%,脱离氧气活动外周血氧饱和度亦无明显下降,咳痰量减少,胃纳可,大便通畅、每日1行,睡眠尚可。复查血常规示白细胞及中性粒细胞正常,淋巴细胞绝对值0.97×109/L。降钙素原0.17ng/ml。复查胸部CT提示“双肺病灶较前吸收,双侧胸腔积液”(图2-4-58)。舌淡红,苔薄白微腻,脉沉细。

图2-4-58 2020年2月26日与3月4日胸部CT
处理:患者恢复情况可,目前仍有胸腔积液,但患者及家属拒绝穿刺引流术,患者连续两次行咽拭子2019-nCoV病毒核酸检测阴性,考虑患者达到出院指征,予办理出院转社区医院继续基础治疗,必要时予胸腔穿刺引流。出院带药予四逆汤1周。
05 【按语】
(1)证候特点:本案例患者早期无发热,以气促、咳嗽为主症,早期外院以西医治疗为主,中医介入时病程已达10日,临证所见以气促、倦怠乏力、声微懒言、畏寒、四末偏凉、思睡及舌淡嫩、脉沉细弱等一派虚寒象为主要特点。后患者因呛咳合并吸入性肺炎,出现发热、口干口苦、腹胀、舌红、苔黄腻,辨证为邪入少阴,阳虚里寒。
(2)病机分析:患者年事已高,平素体弱多病,脏腑功能衰微,疫戾邪气直中心肾少阴之脏,导致心肾阳虚,从而表现为阳虚里寒之证。“少阴之为病,脉微细,但欲寐也。”阳气虚衰,无力推动,故见脉微细;心肾阳虚则精气俱衰、神失所养,精衰则体力疲乏,神衰则精神萎靡,故见但欲寐;心肾阳虚,温煦失司,则畏冷肢凉;水湿内停,水凌心肺,则气促;火不暖土,则见便溏、下利;不能治水,小便则清长;寒邪犯胃,气不化津,津不上承,则纳差、口干。
(3)治疗思路:《伤寒论》云:“少阴病,脉沉者,急温之,宜四逆汤。”此条文提出了少阴温法的治疗总纲。脉沉为心肾阳衰退之象,必当“但扶其正,听邪自去”,故选用四逆汤回阳救逆,俾阳气得回则生机必现,正气渐充则邪气自出。另,患者苔薄黄稍腻,提示尚有余邪,故加金银花、皂角刺以助祛邪,防止闭门留寇。而后患者发热、口干口苦、腹胀便秘,为少阴热化合并阳明腑实证,则加用大柴胡汤以和解少阳、内泻热结。
(4)临证启发:此例患者为新型冠状病毒肺炎重症、中后期,中医方面表现为脏腑功能衰微,对应西医学的呼吸衰竭、心脏衰竭等呼吸循环衰竭的重症,治疗用四逆汤加减。少阴病之但欲寐,实为西医学之嗜睡,因机体心脑部血运及氧供不足导致的中枢性神志改变;脉微细为早期循环衰竭的代偿反应。此患者中医首诊的脉沉细弱略数,含脉微弱叠加脉略快之意,提示少阴病心阳虚、无力推动血液循环之重证。具体表现为患者的外周血氧低、心率快、畏寒肢冷。而患者主症之气促则是水液停于上焦、水气凌肺所致,亦是西医学之心肺循环衰竭,右心室容量负荷过重,回心血量减少,体液积于组织内的水肿。因此用四逆汤治疗,振奋元阳,改善微循环,增加血液灌注量,以纠正四肢不温的症状。以西医学的观点看,少阴病实为微循环衰竭早期,临床有轻重之分而已。因此,张仲景将有“但欲寐”“脉微细”的诸样病症不论是寒湿证或吐利证皆统称为少阴病,反证了前贤“但见一症便是,不必悉具”的朴素辩证思想。仲景深通造化之微,知附子之力能补火种,用之以为君;又虑群阴阻塞,不能直入根蒂,帮佐以干姜之辛温而散,以为前驱。阳气即回,若无土覆之,光陷易熄。虽生不永,故继以甘草之甘以缓其正气,缓者即伏之之意也。真火伏藏,命根永固,又得重生也。
(本案编写:蔡书宾)
【来源:《新型冠状病毒肺炎中医医案精选》,人民卫生出版社2020年5月第一版,主审:张伯礼,主编:张忠德、邹旭】
