
10月8日,国科大肿瘤医院举行M6型射波刀开机仪式,这标志着全国公立医院第三台、华东地区首台M6型射波刀正式落户国科大肿瘤医院。
在历经搭设龙门架、运送机器人平台进入机房、设备上电、确定亚毫米级等中心、多叶准直器安装、机械臂拾取多叶准直器、可变准直器的变换以及各项调试工作以后,国科大肿瘤医院M6型射波刀已整装待发,正式开机治疗。

国科大肿瘤医院*党**委书记程向东在致辞中表示,约60%~70%的恶性肿瘤患者在治疗过程中需要放射治疗。为解决日益增长的放射治疗需求,让华东地区肿瘤患者获得世界最先进的智慧精准放疗治疗服务,国科大肿瘤医院引进的M6型射波刀,致力于打造华东地区智慧精准放射治疗技术高地,为华东乃至全国各地区肿瘤患者带来新希望!
视频加载中...
什么是射波刀?

据国科大肿瘤医院院长助理、放疗科主任医师朱骥介绍,射波刀(Cyberknife)又称放射外科手术机器人系统,是全新升级的机器人平台,它将直线加速器计算机技术和肿瘤实时追踪技术完美的结合在一起,在影像引导系统的实时监控下,使用大剂量、高能X射线精准对准靶体,产生局部的放射生物学反应,达到消融肿瘤或病灶的目的。
它开创了“立体定向放射治疗”覆盖全身肿瘤的时代,兼备了精准(误差小于1mm)、无创(无需麻醉不流血)和高效(一枚肿瘤通常只需要1-5次治疗)的优点。
射波刀适应症

国科大肿瘤医院院长助理、放疗科主任医师 朱骥介绍,射波刀可以治疗从头到脚几乎所有的肿瘤,可以治疗颅内良性、恶性肿瘤、功能性(如三叉神经痛)、头颈部肿瘤、脊柱肿瘤、肺癌、乳腺癌、肝癌、胰腺癌、肾上腺、前列腺、宫颈等部位的肿瘤;尤其擅长对于运动肿瘤的治疗。射波刀对于患者的身体条件要求相对手术低,因为射波刀损伤小,对于一些高龄,心肺功能差等患者,射波刀仍然可以实施治疗。
射波刀的优势

1、副作用小
射波刀的优点是拥有放疗业界精确的球面全向中心聚焦技术,不同于传统加速器在一个平面内选择5-7个射野的共面调强照射技术,特别是适合治疗位于神经等敏感器官附近的肿瘤。
2、治疗精度高
机械臂重复定位精度为亚毫米级,就是说在1mm以内。目前最先进的射波刀在使用锥形筒准直器的基础上,首次增加了多叶准直器,调制精度也很高,从而可以在射波刀平台实现调强治疗,很大程度上可以使患者获益。
3、治疗周期短
射波刀的优点是短期迅速杀灭肿瘤。传统放疗从准备到治疗完成大约需要2个月时间,由于射波刀的射线束入射路径更多,射线更分散,周围正常组织受到照射的剂量也更少,多数患者仅需3-5次治疗就可完成治疗,大约一周时间即可,为患者及家属节约大量时间。
4、智能化程度高
射波刀除了射束控制,调制方面灵活精准外,还配备有非常强大的影像引导功能和运动管理功能,可以在治疗过程中随时观察肿瘤位置的变化情况。在治疗过程中,影像系统捕捉到肿瘤的位置变化的时候,就会立刻触发运动管理系统对治疗进行动态调整。
比如同步呼吸追踪技术,在治疗开始时首先建立患者自然呼吸运动时的体表运动模式和体内肿瘤三维空间的联系,得到自然呼吸周期中的肿瘤四维影像模式,并将结果反馈到机器人手臂,通过手臂控制加速器根据体内肿瘤实时运动情况跟踪照射,万一在治疗过程中发生了气急、咳嗽这些情况,破坏了事先建立的运动关系,射波刀系统就会立刻停下来,重新建立运动关系,实现真正意义上的精准四维照射。
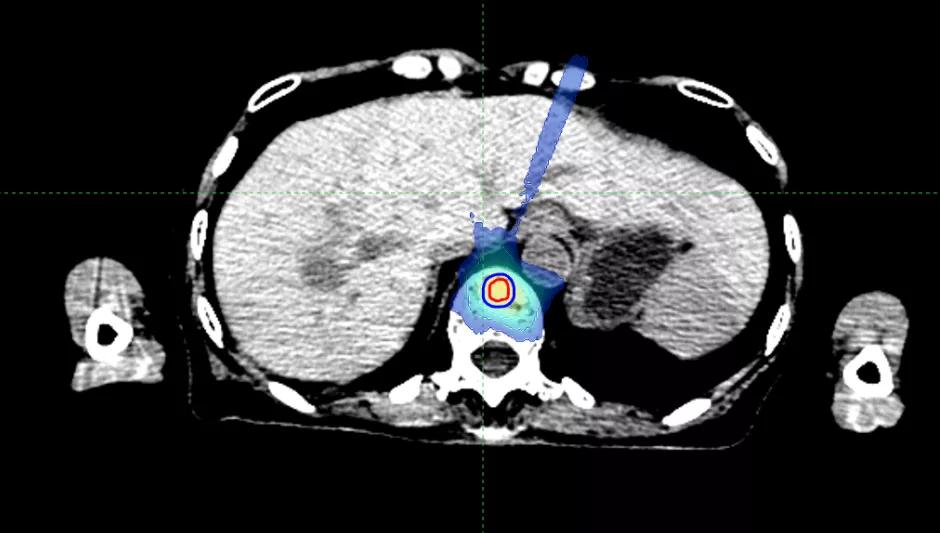
乳腺癌脊柱骨转移,病灶离脊髓很近,射波刀为她开了一扇希望之窗

66岁的罗女士,2019年6月进行左乳腺切除,术后病理报告为浸润性导管癌,三阴性,2019年7月开始为期6周期的化疗。
2021年3月检查发现,T7椎体及T9椎体左侧椎弓根骨质破坏伴FDG代谢增高,考虑骨转移,伴T7椎体病理性骨折。同月做了胸椎融合术+脊柱肿瘤切除人工椎体置换术。2021年4月开始,化疗4周期。2021年9月检查发现,T9-11转移性肿瘤较前增大。
据罗女士的主管医师周霞副主任医师介绍,因T9病灶靠近脊髓附近,如果常规放疗,很可能会造成脊髓不可逆的损伤。于是慕名来到国科大肿瘤医院,胸部放疗科周霞副主任医师为她量身制定了放疗计划,近期开始进行射波刀放射治疗。
周霞介绍,脊柱骨转移瘤是射波刀的拿手好戏。脊髓往往对近在咫尺的脊柱骨转移瘤避无可避,而精准的照射在给它温柔的保护之余,高剂量射线痛击骨内病灶,可以达到缓解疼痛、控制肿瘤的目的。
据了解,射波刀目前是自费项目,20000元起,第二次起按5000元/次计算,每疗程最高不超过40000元。


PGTV1(T9)

PGTV2(T11)
宣传*战统**部综合编发