首先我们需要明白什么是牙周炎,牙周炎的病症有什么?

常见症状:牙龈泛红、发胀、疼痛、化脓、牙龈肿疼、牙龈溢脓、牙龈流血
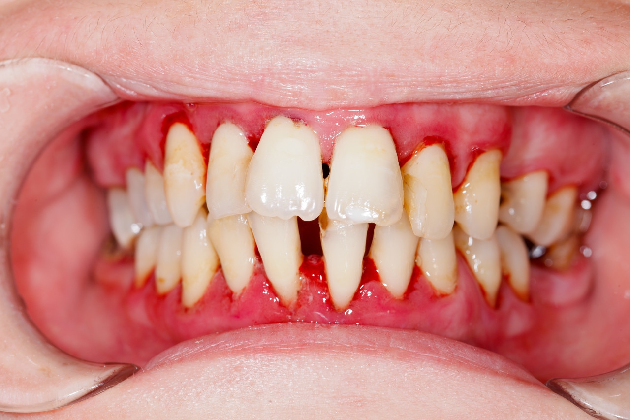
1.初期主动病症不显著:天性牙龈流血或口臭为主要表现,与龈炎病症类似。查验时由此可见龈缘、龈乳头和附着龈的发胀、质绵软,呈暗红色或深红色,探诊易流血。
2.伴随着发炎的进一步扩散
(1)牙周袋产生:因为发炎的拓展,牙周膜被毁坏,牙槽慢慢消化吸收,牙龈与牙龈分离出来,使龈沟加重而产生牙周袋。
(2)牙周溢脓:牙周袋壁有溃疡及炎性肉芽组织产生,袋内有脓性分泌物留存,故轻触牙龈,由此可见溢脓并经常出现口臭。

(3)牙齿松动:因为牙周组织被毁坏,出现牙松、挪动等状况。这时病人常感牙齿咬合乏力、隐疼,牙龈流血和口臭加剧。当机体抵抗能力减少、牙周袋渗出液引流方法受阻时,可产生牙周胀肿。这时牙龈呈椭圆状凸起,泛红发胀,牙松度提升,有叩痛。病人感部分强烈跳痛,有时候另外出现好几个位置的囊肿,称多发性牙周囊肿。这时病人可有体温升高、全身不适感,颌下淋巴结肿胀、压疼等病症。
为什么我们现在的牙医拔牙和种牙都很厉害了,但牙周炎就是治不好呢?

牙周炎属于慢性病,本身就是只能控制无法治愈的。
而且主体也搞错了。
治疗牙周炎最关键的因素是患者本人,而不是医生。
牙周炎的始动因子是菌斑,促进因素有遗传、局促因素(咬合创伤、不良修复体、牙结石、抽烟等)、全身因素(糖尿病)。其中我们能控制好的效果最好的就是控制菌斑。讲通俗一点就是:

好好刷牙,定期洗牙。
讲清楚了病因,我们来讲治疗方法。牙周病的治疗,大部分都是牙周基础治疗加后期维护,少部分人需要额外的牙周手术。
牙周基础治疗主要就是彻底洗牙,把牙龈上边和牙龈下面隐藏的牙结石彻底清理干净,清干净了始动因子和促进因素,然后定期维护,保持牙周健康。
牙周科医生负责:清理牙结石、指导患者如何刷好牙、帮助患者定期维护和改善。
患者本人:回家按医生的说法认真刷牙、定期去口腔科复查、戒烟控制血糖等。
这个过程谁重要?都重要!医生要彻底清理好口腔的牙结石和菌斑,这样才能给患者一个好的开始。患者在家要落实刷好牙,定期复查,这样才能维护好自己的健康牙周状态。

除此之外,我们现在很多人总喜欢把钱花在后面。
科学技术是先进的,进步的,但是进步和先进,都是需要时间的。
我有见到很多病人,逢人就来凡尔赛体:我去种了牙,一口十几万二十几万,口腔医生真tm坑。
但是,从来没见人说:我天天仔仔细细刷牙,年年都会定期检查、洗牙,你看我到现在都没补过牙!

所以,这是一个双方通力协作的事情,只有通过医生和患者的通力合作,牙周炎才有可能成功地控制住,不再发展。医生需要制定合理的治疗方案,采取恰当的治疗手段,并对患者进行口腔卫生教育。患者需要在医生的指导下,学会如何正确地使用牙刷、牙线、冲牙器、牙缝刷清洁口腔,学会不要吃哪些东西以避免过大的咬合力,学会定期复查、牙周维护。