纤维结构不良也叫骨纤维异样增殖症,是发生于形成骨间充质的发育畸形。本病发病原因不明,目前认为和先天性骨发育异常、骨形成障碍和内分泌紊乱等因素有关。纤维结构不良是骨的发育停止在未成熟的编织骨阶段,不能形成正常的骨小梁。病变可分为单发型,多发型和Albright 综合症这3种类型。
临床表现
纤维结构不良首发症状多见于青少年,发病年龄多在5-20岁之间。女性患病率高于男性。多数患者以轻微的疼痛、肿胀及局部压痛为主要症状。多数患者是因为病理骨折而发现本病。病变使骨质强度减弱,可出现各种弯曲畸形。下肢常因负重而发生髋内翻,膝外翻或膝内翻畸形。
颌面骨和颅骨的病变可出现视力或听力的下降。有时会导致患者出现面部畸形。病患中大多数是单发的病变,少数是多发的病变。多发性纤维结构不良偶有内分泌和皮肤异常,并伴有骨骼生长停滞的者在医学上称之为Albright综合征。所以纤维结构不良分为单发型、多发型和Albright综合征三型。

请大家关注公众号“姚教授育儿园”大量儿童长高、形体知识,并可以提供疾病咨询及预约挂号服务。
(此处已添加医疗卡片,请到*今条头日**客户端查看)
1、 单发型纤维结构不良 最为常见的类型,通常单发于某一骨内,一般是非常良性的。病变常累及干骺端。长管状骨多见于股骨近端,其次为胫骨。扁平骨多见于肋骨和颅面骨。本型临床症状轻,患者常觉有局部酸胀、轻微疼痛等不适感觉。常因患者发现局部肿胀或发生病理性骨折前来就诊而发现。
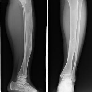
2、 多发型纤维结构不良 多发型病变较广泛,大约85%的病例会发生病理性骨折。症状发生早,可发生于全身多数骨骼,常累及一侧肢体,双侧肢体同时侵犯时可产生各种畸形。对于侵犯股骨的病人,可因多次病理性骨折产生髋内翻、肢体短缩等畸形。病情重者可出现典型的“牧羊人手杖”畸形。若病变发生在胫骨,可出现膝内翻、膝内翻、胫骨前凸、小腿过长等畸形。若病变发生在颅骨可出现额头突出,眼球突出并向外下方移位,即特殊的“狮面”面容。
3、 Albright综合征 本型多见于女性,男性少见。出生时可见皮肤棕色或棕黄色色素沉着斑。色素沉着斑常分布于背部,不隆起,有的很明显,有的色素斑较浅。婴幼儿时期即可有阴道出血现象。儿童期可提前出现第二性征,性器官提早发育。本型病患受内分泌影响,儿童期身材比同龄儿童略显高大,成年后则比正常人矮小。偶有智力低下,极少数病患合并甲状腺功能亢进,糖尿病,肾脏及心血管畸形。

X线表现
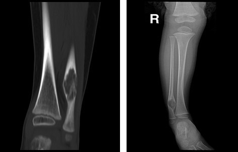
单发型病变部位在髓腔内,长管状骨的干骺端或骨干中心位或偏心位。骨皮质变薄形成缺损,呈模糊的髓腔内放射透明区,常形容为磨砂玻璃状。多发型纤维结构不良常累及数骨,同侧的髂骨、股骨、胫骨、腓骨常被累及。四肢长骨病变常累及骨的全部,髓腔宽窄不均,其增宽处骨皮质变薄并扩张。部分高度膨胀,其中有囊性改变,常表现为病理性骨折。X线表现为溶骨范围界限不清,骨皮质缺损和临近软组织肿块通常提示恶变。
治疗
大多数单发型纤维结构不良无症状者无需手术治疗,只需要观察,预防病理性骨折的发生。是否手术通常取决于患者的症状、体征、年龄和结构不良范围等因素。儿童期患者手术后植骨容易被吸收且复发率高,所以儿童通常采取有限的治疗。
刮除和骨移植仅仅使用于成人患者。多发型通常情况也不宜施行手术,但对畸形严重,影响肢体功能者,可考虑采用刮出植骨内固定或截骨矫形时同时植骨内固定的手术方法治疗。

南方医科大学第三附属医院(广东省骨科医院、广东省骨科研究院)姚京辉大夫,希望对大家的健康有帮助!