肺癌是中国发病率与死亡率最高的癌种,近年来中国肺癌发病还呈现出快速增长的趋势。肺癌约占所有癌症死亡的1/5。肺癌大致分为非小细胞肺癌(NSCLC)和小细胞肺癌(SCLC),其中SCLC约占15%。
从下面这张图中我们大概了解肺癌的分类:

约2/3的SCLC患者被诊断为广泛期疾病,即癌症已经广泛扩散到整个肺部或已扩散至身体其他部位。SCLC是一种侵袭性、生长迅速的癌症。部分小细胞肺癌的患者,由于肿瘤局部扩展,还会引起吞咽困难、声音嘶哑、胸闷及上腔静脉综合征所致的上肢、颈面部肿胀等症状。许多患者由于最初症状不典型,往往因就诊其它科室未及时明确诊断而造成病情拖延加重。

近期,医院肿瘤科收治了一名因颜面部、颈部及双上肢肿胀前来就诊的患者,该患者前期曾多次前往其他医院就诊,有皮肤科、外科,但是都没有效果,病情反而愈发加重。最后辗转来到我院肿瘤科就诊,肿瘤科医护人员在接诊患者后,立即给患者进行了全面细致的全身检查,诊断结果初步判定患者为小细胞肺癌纵隔淋巴结转移压迫引起的上腔静脉综合征,这给患者的家属无疑是心理上的以此沉重打击,没想到会是癌症。
经过医生和护士协力对患者及家属进行积极地心理辅导和详尽的病情解释分析后,最终打消了患者和家属的心理顾虑,接受了“CT定位下经皮纵隔占位穿刺活检术”。穿刺活检的病理结果最终证实了小细胞癌的诊断。

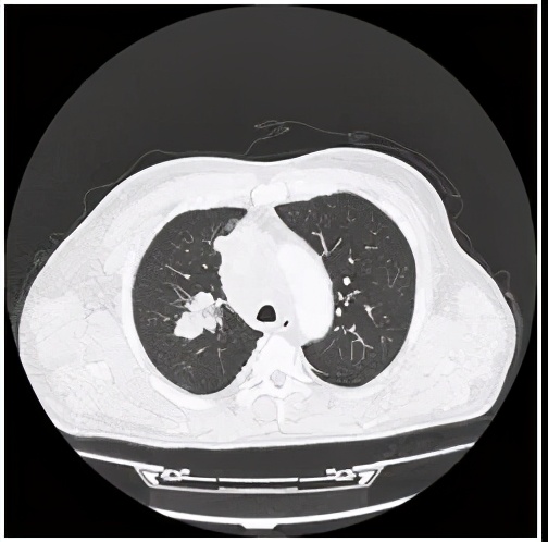
右肺肿瘤图

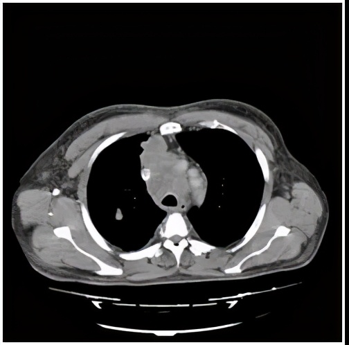
纵隔转移淋巴结图
明确诊断后立即给患者制定了全面系统的同步放化疗计划,经治疗后患者症状明显改善,现患者颜面、颈部、前胸及双侧上肢无明显浮肿,胸前血管曲张完全消退。患者转危为安,逐渐恢复了正常的生活状态。

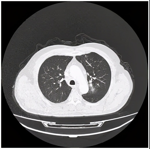
右肺肿瘤消失

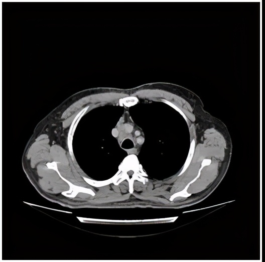
纵隔转移瘤消失
作为癌症中的癌症,过去30年小细胞肺癌的生存预期以及治疗方法基本没有变化。但随着科技的进步,在小细胞肺癌领域喜讯不断,免疫治疗也能在小细胞肺癌中起效。2020年3月PD-L1疗法(度伐利尤单抗)联合含铂化疗(依托泊苷+顺/卡铂类)一线治疗广泛期小细胞肺癌患者III期研究显示,能够显著改善广泛期小细胞肺癌的总生存期(OS)。
在国内我们也可以看到不断涌现的新药例如阿替利珠单抗注射液联合化疗用于一线治疗广泛期的小细胞肺癌在中国获批,小细胞肺癌患者死亡风险降低30%,打破小细胞肺癌治疗30年困局,标志着小细胞肺癌进入了免疫新时代。可以让我们、更好地应对这种非常有挑战和致死的疾病。