“小洞不补,大洞吃苦”
有一种危机感是一件好事,但不要过分担心,更不用说对口腔知识的过度自信了。
实际上,牙齿通常会显示异常颜色。 甚至可以说每个人都会有这样的一天!
决定牙齿颜色的重要因素是牙釉质,而我们的牙釉质本身就是消耗品,牙齿萌出后,不可能再生出牙釉质。生活中有很多诱惑,*草烟**,茶,咖啡和其他食物会一直伤害牙齿的外观。
当然,这些可以通过外部处理就能解决的事都不算事!
今天,小编就和大家聊聊,除了蛀牙之外的那些会让你的牙齿由内而外发黑变色的问题。
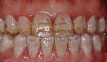
一.氟斑牙

牙齿变黑?我是不是蛀牙了?#雅悦齿科#
如果在二三十年前,如果你得了氟斑牙还真的不是你的错!
当时,由于国家净水系统不完善,某些地区水源的氟含量很高。如果长时间喝水,牙齿自然会变成黄褐色。
除了饮用水之外,某些食物还富含氟,例如鳕鱼,鲑鱼,沙丁鱼和其他海鲜,以及茶,苹果,牛奶和鸡蛋等,它们都含有大量的氟。
俗话说“病从口入”,氟斑牙形成的主要途径,始终还是因为“吃”!
应当需要留意的是,严重的氟斑牙不仅会损害外观,而且会导致牙齿严重缺损,牙齿表面上会出现线,点或窝状缺损痕迹,并且凹陷区域通常会染上较深的颜色。
目前,尚无针对氟斑牙的直接治疗方法,为了延长牙齿的寿命,小编建议恒牙长齐之后,去医院接受烤瓷牙。
难缠指数:★★★☆
二.四环素牙

牙齿变黑?我是不是蛀牙了?#雅悦齿科#
与上述氟斑牙相比,现在提到的四环素牙齿可以认为更有年代感!
对于同一类型的疾病,我相信60年代和70年代出生的前辈才有发言权。
当时,我国的医疗体制刚刚进入改革阶段,公众的卫生知识相对缺乏,使某些抗生素成为家喻户晓的“万能药”。
当涉及到抗生素时,必须要提及一下四环素。
四环素最早出现在上个世纪四十年代,实际上,在被广泛使用之前,法国有生物学家对这些药物进行了深入研究。
当时,他将四环素注射到某种哺乳动物的体内,并进行了追踪,发现四环素可以突破胎盘并到达胎儿的骨骼。
后来,实验证明四环素可以抑制骨骼形成,特别是在牙齿发育期间,它可以防止牙齿组织钙化,并防止牙齿正常发育。
除了轻微的四环素牙可以进行冷光处理,一般情况还得用简单粗暴的遮掩法。
难缠指数:★★★☆
三. 牙髓坏死

牙齿变黑?我是不是蛀牙了?#雅悦齿科#
龋齿,外伤,牙齿裂开或牙髓的某些慢性炎症可能导致牙髓坏死。
解决牙髓坏死的最佳方法是到医院,找一个可靠的医生彻底清除坏死的神经,然后进行根管充填,最后进行常规的牙冠修复,不难看出,这比以上两个都好棘手。
难缠指数:★★★★☆
四.其它

牙齿变黑?我是不是蛀牙了?#雅悦齿科#
除上述致病性引起的黑牙外,还有一些是在治疗后逐渐慢慢衍生的。例如,根管的后期治疗以及部分修复体的边缘渗透...
这里的小编仍然想更多说下“小洞不补,大洞吃苦”的危机意识不仅适用于工作和生活,而且适用于我们的口腔!
如果觉得这篇文章不错,就请收藏或分享给好友吧。添加雅悦齿科为好友,学习更多爱牙护齿科学方法。公众号:yyck2001