#非常病例#
@魏向阳医生
一、 初识患者
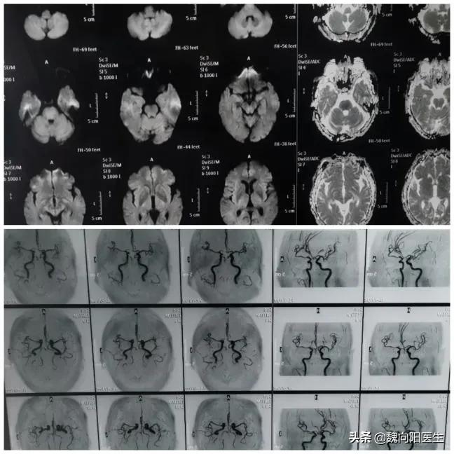
患者冯某,63岁,在早晨8:00左右突然出现意识不清楚,不能言语,不能自主活动,老伴急忙呼叫120后送至我院急诊就诊。急诊查体发现患者处于浅昏迷状态,刺痛患者无明显反应,不能配合查体。立即行头核磁发现是“脑干梗死,伴有基底动脉不显影”,诊断:脑梗死,基底动脉闭塞。医生告知患者老伴儿:患者目前病情危重,需要立即住院静脉溶栓治疗。患者既往体健,无过敏史,有一个女儿,常年生活在美国。当时老伴就处于懵的状态,只是知道点头,但却没有行动。在医生的指引下下才来到了病房。

二、治疗过程
患者转入病房后,医护已经做好溶栓前准备,在最快的时间内给予患者输入溶栓药物rt-PA(0.9mg/KG)。考虑患者脑梗死是由于大动脉闭塞导致的,医生建议患者立即行脑血管造影检查,但是患者老伴儿好像并没有认识到问题的严重性,只说需要打电话考虑一下,然后就在那默默的呆着。时间一点一点过去了,大约1小时后,医生只能再次反复的跟患者的老伴沟通:现在患者没有时间再等了,随着缺血的时间延长,越来越多的脑细胞在因缺血坏死,因此需要患者家属马上做决定。经过医生反反复复的催促患者老伴,才最终给患者姐姐打了一通电话,同意手术治疗。12:00终于把患者推进了导管室,在做脑血管造影过程中患者躁动明显,处于严重不配合状态,只能立即联系麻醉师,给予全麻。患者安静下来后立即做脑血管造影发现左侧椎动脉闭塞,右侧椎动脉是一个次全闭塞状态,狭窄的只剩下一根头发丝粗细的血管腔,颅内血供出院严重不足状态。给予植入一根血管支架后,立即恢复颅内的血供。手术做的很顺利,为了配合治疗,防止患者醒后再次躁动,保持患者镇静状态返回病房。

三、患者治疗中的注意事项
脑干梗死患者一般都存在吞咽障碍,严重的会出现饮水困难及呛咳,经常会因为误吸导致肺部感染。患者进食时一定要小心,避免呛咳及误吸,对于进食困难的患者可以及早下胃管,鼻饲饮食,增强肠内营养。等待患者吞咽功能好转后,逐渐过渡到经口入食物。
四、治疗效果
患者术后等到*醉药麻**效消失后,就恢复了自主意识,可以正常交流。但是依然存在吞咽困难症状,四肢肌力也较差。通过住院过程中的针灸康复治疗及四肢肌力康复训练,等到患者2周后出院时,已经可以自主进食,也可以自己独立行走了。五、患者日常生活中的注意事项患者出院后依然存在轻度吞咽困难,需要继续嘱联系吞咽功能,尤其是喝水时一定要小心,预防呛咳发生。通知建议继续加强肢体肌力康复训练。支架术后需要按时服用阿司匹林、硫酸氯吡格雷及他汀类药物,3-6月门诊复查。

六、医生感悟
针对一发病就出现意识障碍的患者,很大一部分是后循环脑梗死,是由于椎基底动脉闭塞导致的。针对这一类的患者,尝尝导致很严重的后遗症,死亡率极高。因此针对这类患者,发病后,一定要及时的送到最近的具有脑血管介入条件的卒中中心,及时的做血管闭塞再通的治疗。尽可能的减少在路途上和犹豫耽误的时间,越早开通闭塞的脑血管恢复脑组织血流,患者就多一分恢复的希望。急性脑梗死在静脉溶栓治疗的基础上积极的进行脑血管介入的治疗方案,仍然是目前最有效的治疗措施。

@魏向阳医生 温馨提示 :对于急性脑梗死,时间就是大脑,时间就是生命!一旦发生脑梗死,只要在最短的时间之内赶到医院,接受静脉溶栓或者介入取栓/介入支架植入治疗。
只要在最短的时间之内恢复脑血流灌注,可以极大的逆转脑梗死,使患者不遗留后遗症或者减少后遗症。