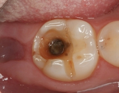
当牙齿蛀了大洞,遇到冷热酸甜刺激就痛得厉害,有时用凉水刷牙都会痛,夜晚常常会突然剧痛而难以入眠。这个时候,你的蛀牙已经伤到牙神经了,单纯做填充补牙已经不够了,需要根管治疗。

什么是根管治疗?
根管治疗又称牙髓治疗,通过清除根管内的炎症牙髓和坏死物质,并进行适当消毒,充填根管,以去除根管内容物对根尖周围组织的不良刺激,防止病变促进愈合。

根管基本治疗步骤
钻开腐败的牙质

将坏的牙髓清理干净

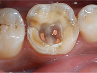
金属锉去除牙髓,同时清洗移除牙髓残质及细菌

专用材料填充根,保证长期处于无菌状态

根管钻扩大根管

植根、封牙、夯实

蓝光照射固化

封牙取模

套上牙冠

需要根管治疗的情况
牙髓炎:牙髓受到细菌感染发炎。
牙髓在密封的牙髓腔里,一般不会受到细菌感染,当牙齿因龋齿有洞,洞太深的时候,外部的细菌就会侵入到牙髓腔里感染牙髓。

根尖周炎
牙髓受细菌感染后,细菌会通过根尖孔侵入牙槽骨里,引起牙根尖周围的组织发炎,只要去除感染的牙髓,根尖炎症就会消退。

牙髓外露
当牙齿碰断了,牙神经外露时,一般也需要根管治疗。

(抽牙神经)