一、双角子宫妊娠

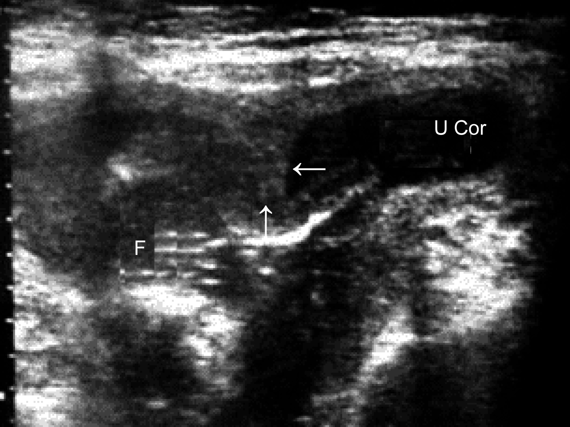
双角子宫是一种相对常见的子宫先天性发育异常,由双侧副中肾管融合不完全而形成。在典型的情况下,超声显象检查可以显示子宫底部呈马鞍形,两侧角部向左右外上方延伸、突出(图1);受精卵种植常偏向一侧或在偏下的子宫腔内;双角子宫并不乏双胎妊娠的报告。超声显象检查可以准确地显示妊娠囊的位置。中期妊娠后超声检查可显示双角子宫之一突出的角部形成的较阔的羊水池,但总体衡量并无羊水过多的征像。

图1双角子宫妊娠:宫底外缘凹陷,内缘向宫腔内突出(箭头),右侧宫腔见胎体(F),左侧角部(U Cor)突出
双角子宫妊娠时可由于羊膜腔形态的异常引起胎位异常,或由于子宫肌壁的异常引起子宫收缩乏力。
二、残角子宫妊娠
子宫残角妊娠是一种比较罕见的异位妊娠,第一篇可查阅的文献发表于1909年,发生率约为1:100000~140000次妊娠。在子宫的发育过程中,一侧副中肾管发育不全可以形成残角子宫,而对侧成为单角子宫。残角子宫有时可以以一膜状管道结构与另一侧发育较好的单角子宫腔相通,精子由此通过进入残角子宫内,在输卵管内与卵子相遇受精而移行进入残角子宫内种植并发育,形成子宫残角妊娠;部分残角子宫并不与发育较好的单角子宫腔相通,精子可以通过发育较好的子宫侧输卵管由盆腔进入残角子宫侧输卵管内与卵子相遇受精种植到残角子宫内,这种情况已经临床资料证实。极少数子宫残角妊娠也可能与受精卵的游走有关。
在妊娠早期,残角子宫未破裂前,超声显像检查可以发现一个相对较小的子宫和宫旁的异常回声,与输卵管妊娠相似,可以显示单角子宫内假孕囊回声和对侧形态正常的妊娠囊和胚胎回声,仔细检查可以在妊娠囊周围显示较厚的肌肉组织,相对独立(图2),与对侧子宫有稍强的间隔回声,并且不能发现同侧的子宫颈而与双子宫不同,同侧卵巢可以显示且回声基本正常。结合临床检查资料可以做出子宫残角妊娠的诊断。此点也可能是子宫残角妊娠与输卵管妊娠和双角子宫妊娠的鉴别要点。

图2子宫残角妊娠声象图(A:左侧单角子宫显示孕囊GS及胚胎;B及示意图)
子宫残角妊娠破裂后可以显示与输卵管妊娠相似的回声图像,在子宫旁显示由妊娠产物和出血形成的团块状回声,体积多数较大,出血量常较多,但很少能够显示残存的肌壁回声。如果能够发现肌壁回声,则应首先考虑为子宫残角妊娠破裂。但多数情况下超声显像检查很难将破裂的子宫残角妊娠与破裂的输卵管妊娠鉴别。
彩色多普勒血流显像检查在子宫一侧可以显示较输卵管妊娠更为丰富的局部异常血流。以多普勒能量图检查可以显示子宫残角妊娠增多的血流与对侧单角子宫内血流无明显联系,二者之间有明显的分界。经阴道的超声显像检查对诊断可能更有帮助。
由于妊娠期残角子宫和双子宫鉴别比较困难,在显示双子宫同时妊娠时需要注意有一侧单角子宫内妊娠并残角子宫妊娠的可能。