养犬困扰多,还看磁石说~
提起宠物医院,不少人可能会立马变得“义愤填膺”,觉得宠物医院就是个“坑货”,只知道让主人们做各种各样的听不懂的检查来让主人们消费。
而宠物医院又像是一个受委屈的“小媳妇“,有苦说不出,要检查的话又怕被顾客说诱导消费;不检查的话有些病因又无法查出病因。

其实这个问题说白了就是信息的不对称所导致的,正是因为消费者们并不知道这些检查的重要性与意义,单单从价格出发而忽视了其作用才会让人们觉得宠物医院很“坑”;而宠物医院由于其专业性认为这些检查项目理所应当而相对忽视了对主人们的教育和意识培养,所以也会觉得“生意不好做”。

那么从现在开始,磁石联盟将会从宠物医院一些比较常见、基础的项目入手,向大家介绍并了解这些项目的内涵与意义;让大家看病不抓瞎,也避免对宠物医院有不必要的负面印象,毕竟宠物医院从业者还是很辛苦的。
所以,今天我们就从粪便检查开始说起。
粪便检查
粪便检查顾名思义是采取宠物大肠末端的粪便,取上清液或者直接抹片放置显微镜下观测,主要检查消化产物、体细胞、寄生虫及肠道环境等等。

粪便检查的意义
粪便检查可以让我们获得肠道内部的信息如寄生虫、肠道菌群活跃度、消化产物等等,像包括寄生虫的感染、消化不良等都可以出粪检结果中看到端倪。
消化产物
消化产物是指动物摄入食物后,经过胃肠道消化后所代谢的产物(也有未消化吸收的产物),主要的消化产物有脂肪、肌肉纤维、淀粉。
脂肪
脂肪呈无色透明或淡黄色,由于表面张力作用,通常呈球形。有时,样品中液体成分发生流动时,较大的脂滴流经过狭窄的通道,可发生变形。应与气泡相鉴别。

在显微镜下,气泡不易变形且折射率较大,边缘清晰。
当宠物正常摄入、饮食的时候,粪便中不会出现或者很少出现脂肪滴;如果在显微镜下见到很多脂肪滴,有可能就是处于病态状态。标志着宠物摄入的脂肪过多、消化吸收不完全。
肌肉纤维
在低倍镜下似蜡样,呈较鲜明的黄色,形状不定,消化较充分时,内部结构较均匀,消化不充分时,在高倍镜下可见内部未消化的肌丝和横纹。以肉类为主食的宠物如猫咪的粪便中有时可见,摄人过多或消化不良时,可大量出现。

淀粉
淀粉镜下颗粒细小,呈球形,有时数个淀粉球聚集成团。经碘染色呈棕黑色或蓝紫色。摄人过多或消化不良时大量出现。部分植物细胞内也含大量淀粉成分,经碘染色后呈蓝紫色。

体细胞
体细胞主要是犬猫身体内的细胞由于一些病态的原因而通过胃肠道排出,可以在粪便检查中看出并且推断其病症及发展趋势。
红细胞
红细胞抵抗力弱,在肠道中易被消化、腐败而破坏;粪便中正常形态的红细胞可见于后部肠道近期出血,如异物损伤、感染性大肠炎导致的出血等;前部肠道出血,粪便中红细胞形态常变形,破坏严重。

白细胞
粪便中的白细胞或脓细胞来自肠壁的渗出,常混杂于大量黏液中,聚集成团。低倍镜观察,又未经碘染色,有时不易发现。大量白细胞或脓细胞的存在,提示可能患上剧烈的肠胃炎或体内炎症。

上皮细胞
上皮细胞指的是位于皮肤或腔道表层衰亡、脱落的皮细胞,在粪检中的意义常常表现出和肠炎的白细胞一起出现。

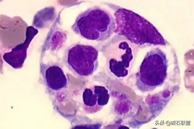
寄生虫(★★★★★)
本标题是全文的重要内容,一般我们到宠物医院进行粪检都是为了排查寄生虫,大部分体内寄生虫都能通过粪检检测出来,以下总结几个经常出现的情况。
球虫
当宠物有水样粪便、便血的时候,即可怀疑球虫的存在,球虫原虫卵囊呈卵圆形,无色、壁薄而光滑、单层卵囊内有2个到多个孢子囊。
球虫常常寄生在肠道黏膜上皮内。镜检时,可在脱落的黏膜及黏液内大量发现;寄生虫感染猫、狗、兔等,引起腹泻、肠道出血;感染球虫的症状往往会伴随着强烈的腹痛,宠物会出现弓背、食欲不振甚至不饮不食。

滴虫
虫体呈立体的纺锤形或梨形,常有4~6根鞭毛,分别向头、尾两侧伸出;体形大小与贾第虫相仿或稍小,通常没有包囊阶段。
在生理盐水稀释的样品中运动活跃,但由于其折射率与背景的折射率相似,观察、发现较困难,须在高倍镜下仔细鉴别。常感染猫、狗等,致腹泻。滴虫感染的腹泻,粪便内常见白细胞大量渗出。

蛔虫
跟小朋友一样,犬猫最常见的体内寄生虫就是蛔虫,粪便镜检常见其虫卵。蛔虫卵呈球形或椭球形,卵壳厚,多层,外层粗糙,表面凸凹不平,原无色,常被粪便内胆色素染为黄色至棕绿色,卵壳内为球形细颗粒的胚细胞,极少含有粗大颗粒,有时因卵壳颇厚而不易辨认其内部构造。
有时见患病宠物吐出或随粪便排出虫体,虫体长5~18毫米,白色,线状。

什么时候需要做粪检?
看了这么多,相信大家对粪便检查已经有了初步的了解,那么我们在什么情况下需要带宠物去宠物医院做粪检呢?
▶宠物食欲不振、消瘦
这种情况,可能是由于体内寄生虫如蛔虫等,当您没有给狗狗及时驱虫预防且狗狗出现这种症状的时候,即可以考虑带狗狗去做粪检看看是不是有寄生虫哦。

▶狗狗软便、水便甚至便血
当出现拉稀、水便、便血等情况,可以做一个粪检看看是不是有白细胞、球虫、钩虫等来看看是不是有肠胃炎、寄生虫疾病等等。

▶狗狗吃得少、没胃口、消瘦
这种情况可能是狗狗体内有寄生虫或者处于疾病状态下,也有可能是肠胃道菌群活力不足、消化能力低下。
这时候做一个粪检可以很好的判断狗狗是否有以上的疾病隐患。

其实宠物医院的医患关系并不用像水火不容一样,人和人之间最重要的还是需要沟通,只要让顾客了解、接纳所需要的检查项目,让顾客们知道是对狗狗好的,自然不会得到排斥。
只要我们每个人都多一份理解、多一份愿意站在对方角度去了解、思考的心,我相信我们的养犬生活会快乐、顺利不少。