患者刘某某,男,65岁, 13年前因咳嗽、咳痰带血半年就诊,胸部CT示右上肺占位,支气管镜示右上叶前段支气管远端狭窄,活检病理:中低分化鳞癌。诊断:右上肺中低分化鳞癌,T4N1M0,IIIB期。



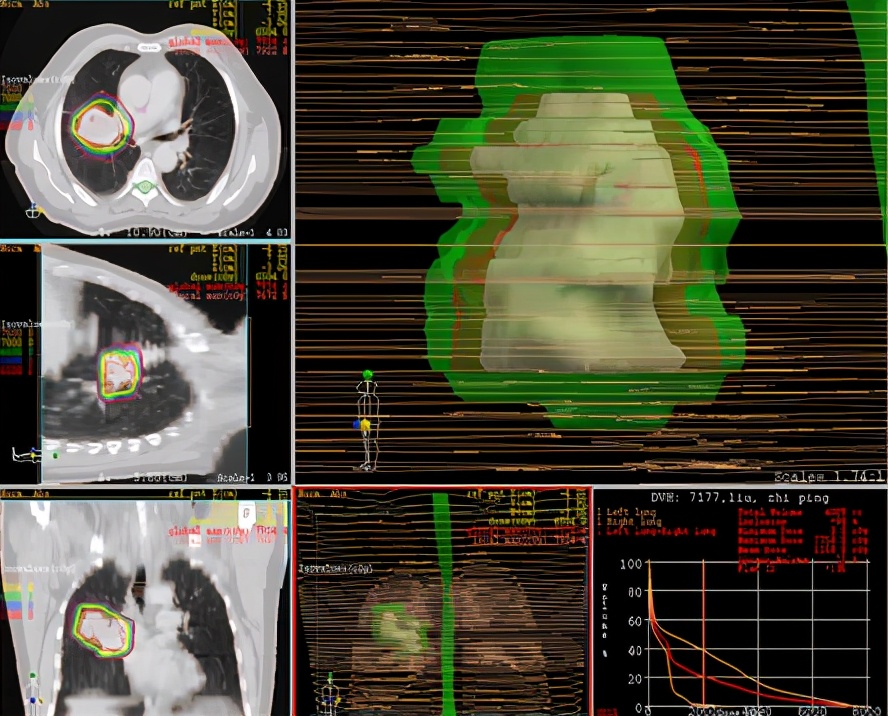
因二次全麻下气管插管出现哮喘无法手术,于2007年5月30至2007年6月28日进行局部放射治疗,同时给予对症支持治疗。照射剂量PTV(肿瘤外5mm)66GY/22f/30d;GTV(肿瘤边缘)70GY/22f/30d;GTV1(肿瘤内部)77GY/22f/30d;治疗期间,咳嗽缓解、无咯血,血常规 基本正常 范围,按计划完成治疗。


治疗后5年复查,患者偶有咳血,局部病灶纤维化改变


治疗后11年复查,无明显活动后 气喘 。
