一口健康、整齐、美观的牙齿,
是个人修养、文化品位、生活态度的外在体现,
有助于塑造良好形象,提升社交自信。
矫牙,年龄不是问题,什么时候都不晚!
其实,你离女(男)神只差一个牙套!

当牙齿不齐成为现代人生活的阴霾,牙齿矫正的流行是时代潮流。因为每个人在幼儿时期,都有一口整齐的乳牙,潜意识中人的牙齿本应该是整齐的,所以牙齿矫正并不被排斥为“整容”,反而是自我外在的更高要求。
最早的矫正可以追述到18世纪。但真正现代正畸的开创者是20世纪初的Angle。时代的进步,根据需求的不同,矫正牙齿的方法也很多,究竟哪种适合你?
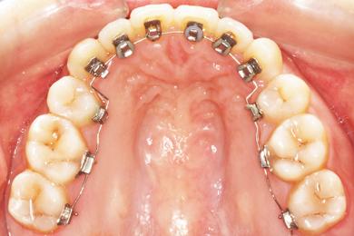
1、传统金属托槽矫治器

又叫普通金属托槽牙齿矫正器,是一种最传统,价格最便宜的牙齿矫正技术,材料为不锈钢托槽,应用比较广泛,矫正周期一般在1-2年。金属托槽矫正的缺点是对美观有一定影响,有些需要进行牙齿矫正的朋友不喜欢铁嘴钢牙的形象,清洁比较困难。
2、透明陶瓷托槽隐形矫正

因为金属托槽矫正影响美观,所以陶瓷托槽应运而生,陶瓷托槽采用半透明陶瓷材质,具有一定的隐形效果,美观度较金属托槽好很多。陶瓷托槽的缺点是因为换用陶瓷托槽后,矫正丝和托槽之间的摩擦力变大,所以比金属托槽矫正周期长3-4个月。而且它虽然有一定的隐形效果,但不能达到完全隐形,近距离仔细观察还可以被看出来。
3、舌侧金属托槽矫治

矫治器全部安装于牙齿的舌侧面进行正畸治疗,外观上看不到任何正畸治疗装置。舌侧矫正的缺点是舒适度较差,初粘托槽时会有不适,对发音有一定影响,需要3-4周或更长时间适应,个别敏感体质者还可能因为矫正器摩擦舌头导致溃疡。舌侧矫正将矫治器置于牙齿内侧,导致技术难度升高,医生操作更加困难,矫正时间比传统矫正长3-6个月。
4、美容冠

美容冠是烤瓷牙技术的一种延伸,在传统烤瓷牙的基础上,对错位牙、畸形牙的临床冠部分施以专业手段,最后用美牙冠加以修复,不用拔牙,一般只需要一个星期,就能达到矫正牙齿的目的。但是这种方法磨牙量比较大,对原牙伤害很大。
5、美加透明矫正器

美加透明矫正器,采用透明高分子材料制作而成,与其他矫正方式最大的区别就是没有托槽,而且佩戴后不容易被发现,因此很受爱美者的青睐。
作为一个爱美爱时尚的作妖,这么多方式拿来票选,还是对美加透明矫正器一见钟情。让牙齿静悄悄的变美,让笑容展现在每一瞬,增添了不少生活乐趣。