#所见所得,都很科学#胃上皮化生(Gastric Metaplasia)是指胃黏膜上皮细胞类型发生变化,从正常的胃黏膜上皮转变成其他类型的细胞。胃上皮化生通常是由于胃黏膜受到慢性炎症、胃溃疡、胃息肉等因素的影响而引起的。

常见的胃上皮化生类型
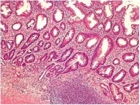
肠化生

胃黏膜上皮细胞类型变成了类似肠道黏膜细胞的形态。肠化生通常出现在胃窦部,且与胃癌发生密切相关。
胃腺体化生
胃黏膜上皮细胞类型变成了胃腺体细胞的形态。胃腺体化生常常伴随胃炎、胃息肉等疾病。
泡状细胞化生
胃黏膜上皮细胞类型变成了泡状细胞,这种细胞通常是分泌黏液的细胞,泡状细胞化生多数出现在胃底部。
可能会致胃上皮化生的药物
一些药物的使用可能会增加胃上皮化生的风险,临床应用时需要加以注意,这些药物包括:
长期使用质子泵*制剂抑**(PPI)等抗酸药物


一些研究表明,使用质子泵*制剂抑**(奥美拉唑、泮托拉唑、雷贝拉唑等)可能与胃上皮化生的发生有关。PPI是一类可以减少胃酸分泌的药物,广泛用于治疗胃酸反流病、胃溃疡等消化系统疾病。
尽管PPI的应用可以改善一些消化系统疾病的症状,但长期应用可能会导致胃黏膜上皮发生化生,包括肠化生等。一些研究表明,PPI的使用时间越长,发生化生的风险也越大。另外,一些其他因素,如幽门螺杆菌感染、*草烟**和酒精的摄入等也会增加胃上皮化生的风险。
需要注意的是,胃上皮化生本身并不一定导致癌变,但化生后的组织容易发生恶变,特别是肠化生,容易演变为胃肠道间质瘤和胃癌。因此,对于需要长期使用PPI的患者,医生应该根据患者的具体情况制定个性化的治疗方案,并密切监测化生的变化。
非甾体抗炎药(NSAIDs)

NSAIDs长(阿司匹林、双氯酚酸钠等)期使用可能会导致慢性胃炎、溃疡等胃部疾病,从而增加胃上皮化生的风险。
抗生素
长期使用广谱抗生素可能会破坏胃肠道微生物平衡,增加胃上皮化生的风险。
维生素C缺乏
维生素C缺乏可以导致胃黏膜的萎缩,进而增加胃上皮化生的风险。
硝酸盐类药物
硝酸盐类药物可以促进胃黏膜血流量,但长期使用也可能增加胃上皮化生的风险。
需要注意的是,这些药物的使用并不一定导致胃上皮化生,具体情况需要结合患者个体化的病史和用药情况来判断。如果需要使用上述药物,应该严格按照医生的建议用药,并定期进行相关检查,以便及早发现胃上皮化生的变化。
对于胃上皮化生的治疗,需要针对患者具体情况制定个体化的治疗方案。一般来说,治疗的目的是消除引起化生的病因,同时预防胃癌等严重疾病的发生。常用的治疗方法包括药物治疗、幽门螺杆菌根除、手术治疗等。此外,生活方式的调整也很重要,如保持健康饮食、戒烟限酒等。