今天分享几个开心的病例,解答一些癌症方面的疑惑。
癌症手术后复发的病例,很多人都听过,以至于有人就感慨:医院没什么用,小病治不好,大病不用治,花了钱也会复发,人财两空。
术业有专攻,学打铁要听铁匠的,学编竹篮要听篾匠的,癌症能不能治好,要听医生的,看数据,数据会说话!

以肺癌为例,20年前得了肺癌,只有8%的人能活过5年,因为很多人查出来就是晚期,那时候治疗手段也比较单薄,放化疗、中药偏方、求老天开恩……
到2019年,肺癌的5年存活率提升到了19.7%(Zeng HM, Chen WQ, Zheng RS, et al. Changing cancer survival in China during 2003-15: a pooled analysis of 17 population-based cancer registries[J]. Lancet Global Health, 2018, 6(5):e555-e567.)。
数据说明,经过20年的努力,能活过5年的肺癌病人,增加了12%,相当于每年有接近10万肺癌病人受益于医疗技术的进步,获得治愈或延长寿命的机会。
当然我们对这个数据远远不能满意!只有大约1/5的病人能活过5年,更多的病人死于肺癌晚期恶化、术后复发等情况,提醒我们做得还不够!
下面我们逐步解释一下相关问题(以肺腺癌为例)。
什么样的肺癌能治愈,不会复发?
先看一个治愈的肺癌病例,这种类型不会复发,手术可以治愈:

这是一位65岁男子,咳嗽3天,胸部CT发现磨玻璃肺结节,长径1.6cm,里面有个黑色小空泡征,短期复查结节没有吸收,就做了胸腔镜微创手术,病理是微浸润肺腺癌。
肺腺癌的发展分3个阶段,依次是:浸润前病变(包括不典型增生和原位腺癌)、微浸润腺癌、浸润性腺癌。其中浸润前病变首选定期复查,很多人可以几十年不进展,而微浸润腺癌可以手术治愈,且不会转移,手术后不复发,也不需要后续治疗,术后定期复查一下即可。上图这位老爷子就属于这种情况。

除了手术之外,对早期非小细胞肺癌的各种微创治疗手段也在不断研究和完善中,比如立体定向消融放疗(SABR)、射频消融(RFA)、微波消融(MWA)、冷冻消融(亚氦刀)等,用不了几年就能形成一些规范性指导意见,对身体创伤更少。
哪些肺癌有复发的风险?
当肺癌突破微浸润时期,进入到浸润性腺癌阶段,又按照进展程度不同分为I、II、III、IV期,分期越早治疗效果越好,通常复发的风险越低。

这是指南的一组数据总结(10年前的一组病例),随着肺癌治疗技术的不断进步和完善,现在的情况应该比上图中的数据更好了。
我们继续用病例来解说:
第一种,贴壁生长为主的肺腺癌,治疗效果很好

这位老爷子72岁,体检发现右上肺混合磨玻璃结节,看着挺大,3.3cm,但实性成分很少,以磨玻璃为主(磨玻璃反映的是贴壁生长为主的高分化成分),手术病理是浸润性肺腺癌,贴壁型生长为主,没有低分化成分,清扫数枚淋巴结均无转移,这种的治疗效果很好,不需要后续治疗,定期复查即可。

简单来说,如果手术后医生让你定期回来复查,那就开开心心回家康复就好,说明分期很早,治愈几率很高,不要胡思乱想啦。
第二种,分期较晚,有一定的复发风险,需要后续治疗

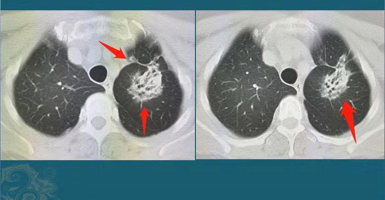
这是一位老年女性,因为多发胃息肉住院治疗,结果意外查出混合磨玻璃结节,长径超过4.0cm,内部多发支气管受牵扩张,边缘还有胸膜牵拉,手术病理是浸润性肺腺癌,腺泡样生长为主,伴有微乳头结构(相当于中低分化)。
这种情况就需要手术后新辅助化疗,降低复发风险,要结合病人的病理分型、分期、基因检测结果等有针对性选择方案,这方面豪大夫其实不懂,遵从肿瘤科、胸外科、呼吸科、介入科医生指导即可。
这位女士现在手术两年多了,恢复很好,还需要继续定期复查。说起来还要感谢她的胃息肉。

肺癌复发的危险因素有哪些?
这方面的研究其实比较多,简略汇总一下,有不周全的地方欢迎高手在留言区补充和指正。
总体来说, 肿瘤浸润成分的大小、血管浸润、淋巴浸润、高有丝分裂计数、微乳头状样、实体样生长、肿瘤坏死 均被认为是I期肺腺癌患者的危险因素。
在确诊时肿瘤越大、伴有脉管侵犯、癌细胞增殖活跃、伴有低分化成分、气腔播散、以及肿瘤出现坏死等情况,往往提示更差的预后,复发风险更高。比如IA期腺癌伴有坏死的预后,与IB期腺癌相似。
这其中,可以在手术前就能通过CT影像了解到的,就是肿瘤直径(影像分期)、胸膜和血管侵犯、坏死和空洞等情况,并且常常需要增强CT的帮助。
我们举例说明:


这是一位51岁女士,偶尔胸痛,没有其他症状,但CT发现右下肺脊柱旁不规则实性肿块,长径3.3cm,边缘可见胸膜凹陷征,下缘与胸膜广泛接触,手术病理是浸润性肺腺癌,微乳头型(低分化),侵犯胸膜。
与前面几位病人比较,这位女士分期更靠后,还是低分化,从统计数据上看复发风险比较高,需要手术后辅助治疗来降低复发风险。
这种情况有些病人就会复发进展,当然也有人比较幸运,顺利度过5年随访。她现在已经两年半了,目前状态很好,正在定期复查中。
对定期复查的指导意见,大家可以参考下图:


有些复发及时发现,依然有治愈机会,这个需要具体分析,就不多做拓展了。
看到这里,相信很多读者就能恍然大悟:
1.肺癌分期越早,治疗效果越好!所以中老人要重视定期胸部体检。
2.除了分期以外,是否伴有坏死、血管和淋巴侵犯、是否有低分化成分等,也是影响因素。
参考文章:
I期肺腺癌伴坏死的临床病理、基因表达及基因特征, CardiothoracicSurgery 9月3日
我是影像科豪大夫,本篇内容有点枯燥,看看就好。
#非常病例##谣零零计划#