息肉 ,顾名思义休息的肉,无用的肉,闲着的肉。身体者,乃天地造化,受之父母,外化形体,内蕴灵魂,岂容多余休息之肉?然一生某个时段有那么几块“多余的肉”不知不觉地长在了我们的身体里,不但没啥功能,白耗营养,有时还闹出点事端,实乃身体异端废物,必除之。欲除之先审之,且听七名案犯自供:
01号,鼻息肉。
02号,声带息肉
03号,食管息肉
04号,胃息肉
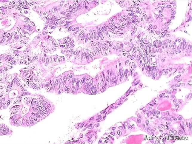
04号,大肠息肉
05号,胆囊息肉
06号,宫颈息肉
07号,子宫内膜息肉
其他体腔和器官腔隙表面,也可能出现增生突起物,不叫息肉,不在此论。
1号,鼻息肉 :我生在鼻腔,过敏刺激助我长。我本性良善不恶变,只阻气体来交换,天地清流代谢废气,我让他们进出不容易,于是乎,我的主人呼也难吸更坚,张口呼吸头昏脑胀受磨难。

鼻镜所见鼻息肉图像
02号,声带息肉 :歌星成名多艰辛,日日练声催我生,影响声带灵巧性,百灵变成乌鸦声,并非妒美忌能心,只缘用功太过深。

喉镜所见声带息肉图像
3号,食管息肉 :我为食管一隆起,纤维表面覆上皮,本无恶意害不大,误当早癌让人怕,胃镜医生你分清,取个活检辨分明,管他良恶一扫尽,主人今后得安心。

食管壁息肉胃镜下图像,出血为活检所致
4号,胃息肉 :胃壁各部任我生,名称性质要分清,医生赐我几个名,只有一种需当心。增生息肉系炎症,胃底腺息肉药催生,腺瘤息肉肿瘤性,可能恶变有潜能。

电子胃镜下所见息肉图像
04号,大肠息肉 :息肉家族数我坏,躲在大肠把人害。啥时长出你不知,十年八年无不适。平时相安也无事,不知何时癌已至。表浅生长年复年,浸润肌壁寿难延。肠息肉很多见,肠镜百有二十患。息肉兄弟六七个,其中两带癌基因,一曰腺瘤性息肉,绒毛腺管分两型,绒毛癌变迟早事,十有七八癌生成,腺管癌变可能晚,其性本来也不善。二曰锯齿状病变,地衣贴壁易漏检,癌前病变它为次,近年命名为人知。

大肠多发性绒毛状腺瘤性息肉示意图
05号,胆囊息肉 :胆囊是我家,息肉就两娃,大娃叫腺瘤,肠腺瘤本一家,出生率很低,恶变坏脾气,B超如发现,手术刀下见。二娃很多见,名曰胆固醇,状如草莓果,数目也很多,胆固醇沉积,治疗不必急,本无大危害,常与结石同在。

胆囊标本剖开见多发性胆固醇息肉图像
06号,宫颈息肉 :宫颈一方圣洁地,繁育后代少休息。炎症迁延伴增生,赘生物它长成。妇检息肉很多见,他与癌症不相关。妇检顺手摘除掉,病理早癌防混淆。

阴道窥器暴露宫颈息肉图像
07号,子宫内膜息肉 :息肉长在宫腔内,要说癌变不大会。不是经期也出血,不孕它也要担责。下腹B超能发现,宫腔镜下好识别。一通刮宫便清除,病理切片看结局。

宫腔镜下内膜息肉图像
息肉之身份、案情、危害业已查明,分别由耳鼻喉科医官、消化内科医官、妇科医官任一审审判员,护士、病理技师为书记员,病理医师终审,众息肉听判:
身上息肉逐个表,唯胃肠息肉切除要趁早。其他息肉癌变率低,毕竟也不是好东西,多少有些小危害,为何还在身上带。鼻息肉碍通气,声带息肉让声变细。胃肠息肉无痛痒,癌症悄悄来身旁。胆固醇息肉他不要紧,腺瘤息肉在胆囊少得很。宫颈息肉出血多白带,其实也无多大的危害,赘生物本无益,顺手摘除很容易。宫内膜息肉易出血,未搞清原因叫功血,激素紊乱易复发,长了又刮咱不怕它。
息肉病因不太清,光用药物也不行,手术切除是正经,冷切电切都可行,切下息肉别乱扔,病理诊断“金标准”。

病理技师制作人体标本石蜡切片

病理医师在显微镜下阅读切片做诊断

人体标本石蜡切片显微镜下图像