地点:美国奥克兰市 梅肯梅西大学医院内科
患者,女,18岁,学生。下面是这位感染性心内膜炎患者的就医记。
2017年8月
开始出现指尖压痛的现象。
2017年10月初
突然出现麻木,右前臂近端疼痛,深部触诊有压痛。整个10月份,她都有头后部、腹部、右大腿和右小腿等部位的疼痛。十月下旬的半夜,左脚背的疼痛使她无法入睡。
2017年11月初
清晨醒来时,右手腕疼痛肿胀(“感觉像断了”),写字变得困难。
2017年11月6日
因间歇性肌肉疼痛到社区诊所,一位护士接诊。患者否认发热、发冷、疲劳、出血或皮疹。体温为36.9℃,脉搏104次/min,血压112/76 mmHg,呼吸18次/min。心音正常,没有杂音,周围脉搏正常,肌肉骨骼和神经检查正常。白细胞计数为7800/cu mm(79%中性粒细胞),血红蛋白为12.6g/dl;血小板、血尿素氮、肌酐、钠、钾、氯化物、碳酸氢钙、葡萄糖、胆红素、碱性磷酸酶、丙氨酸转氨酶、天冬氨酸转氨酶、白蛋白与总蛋白均正常。诊断为“感觉障碍(原发性)”,没有给予医疗干预。
2017年12月
患者持续出现疼痛和压痛,再次去社区诊所就医。为此她开始服用布洛芬和对乙酰氨基酚。她自述手指上总有洗不掉的紫色“污渍”。在服用止痛药之前,她曾有过短暂的触痛(图1)。她否认发烧、发冷或疲劳。

图1:Osler结节,指腹暂时性压痛部位,一处有“皮肤斑点”(箭头)
2018年1月3日
患者再次就诊,泪流满面,“过度焦虑”。体温为36.5℃,脉搏112次/min,血压128/80mmHg,呼吸18次/min。她没有听到任何杂音,也没有做任何体格检查。她被诊断出患有广泛性焦虑症,并被建议服用度洛西汀,采用非处方布洛芬和对乙酰氨基酚治疗肌痛。
患者持续出现疼痛和压痛,她服用布洛芬和对乙酰氨基酚,但她停止服用度洛西汀。
2018年1月18日
到当地医院急诊科就诊,主诉是“手指、脚趾疼痛、发炎、肿胀,全身疼痛”,手指麻木6个月。体温为36.6℃,脉搏111次/min,血压119/73mmHg。她的白细胞计数为9580/cu mm(76%中性粒细胞),血红蛋白10.9g/dl,c-反应蛋白9.36mg/dl(参考范围0.02-0.50)。她从急诊科出院,诊断为“多发性肌肉骨骼疼痛肿胀”,处方药物:美索巴莫。患者上背部有一次感觉异常(刺痛),左面部麻木,眩晕。
2018年1月30日
脚底的皮肤紫斑,压痛明显(图2)。

图2:Janeway病变,红斑,伴有轻微结节性出血(箭头)
2018年2月13日
急诊室就诊,突然出现左侧腰痛,体温36.5°C,脉搏120次/min,血压114/97mmHg,呼吸18次/min。心音正常,没有杂音,但左肾有压痛。她的白细胞计数为15250/cu mm(85%中性粒细胞),血红蛋白9.9g/dl,白蛋白3.2g/dl;血小板、血尿素氮、肌酐、钠、钾、氯化物、碳酸氢盐、钙、葡萄糖、胆红素、碱性磷酸酶、丙氨酸转氨酶、天冬氨酸转氨酶、脂肪酶和总蛋白均正常。尿常规显示白细胞/高倍视野15个,红细胞/高倍视野27个,偶有细菌。腹部CT未见异常。诊断:肾盂肾炎。治疗:*啡吗**、对乙酰氨基酚羟考酮、头孢曲松。
2018年2月20日
因间歇性头晕伴有恶心去社区医院。患者否认头痛、发烧、发冷、耳痛、牙痛、喉痛或焦虑。体温为36.8℃,脉搏86次/min,血压118/84 mmHg,呼吸18次/min。护士一边听患者的心脏,一边问她有没有心脏杂音。患者回答没有。护士没有听到杂音。诊断为眩晕,治疗:美利嗪。
2018年3月4日
患者因突发上腹部疼痛,伴有恶心、呕吐和体重减轻(3.6kg)而住进另一个城市的社区医院。头晕数日,三周前就有过三天的便血。她的体温为36.6℃,脉搏104次/min,血压116/79mmHg,呼吸18次/min,室内空气中的氧饱和度为96%。上腹部压痛,大便隐血阳性。入院医生报告“没有听到杂音”,其他多名医生也没有报告杂音。患者血红蛋白为8.7g/dl,平均红细胞体积83fl,血小板405000/cu mm,白细胞计数11600/cumm(82%中性粒细胞)。她一直在服用布洛芬,1600mg/d。胃镜诊断为糜烂性胃炎,贫血是由布洛芬引起的急性失血所致。
2018年3月5日
出院带药:泮托拉唑、硫糖铝、铁剂、曲马多。胃活检结果未见异常。
2018年3月6日
患者突然出现严重的头痛、呕吐,然后右腿无力,“臀部麻木”,行走困难(“右腿失去知觉”),在她被扶到沙发上后,短暂失去了意识。她被救护车送往社区医院急诊室,体温36.9℃,脉搏116次/分,血压125/72mmhg,呼吸20次/分,室内空气饱和度95%,无心脏杂音,少数肺鸣音,神经检查正常。精神状态、瞳孔对光的反应、颅神经、感觉或运动强度无异常。血红蛋白为9.5g/dl,白细胞计数为14200/cu mm(82%中性粒细胞,11%淋巴细胞,6%单核细胞,1%嗜酸性粒细胞),血小板389000/cumm,国际标准化比率为1.13,部分凝血活酶时间为25秒,葡萄糖106mg/dl,肌钙蛋白<0.01ng/ml,脑钠肽前体653pcg/ml,出现窦性心动过速。
便携式胸片显示右肺弥漫性毛玻璃样阴影(图3)。

头部电脑断层扫描显示左侧枕叶有4.5x 2.2x2.3cm的实质性出血,估计体积为11.4ml,左侧硬膜下延伸至0.8cm厚,右侧硬膜下延伸至上颈椎管(图4)。

患者开始服用左乙拉西坦、哌拉西林他唑巴坦和万古霉素,然后转移到一家较大的医院。
在大医院入院时,没有听到心脏杂音。神智清楚和定向力正常。面部对称,语言清晰,瞳孔3毫米,反应灵敏,双手握力强,上肢肌力正常,下肢肌力“中等”,上肢感觉正常。颅神经正常,有呕吐、咳嗽和双侧角膜反射,无巴宾斯基征。
2018年3月7日
磁共振成像和血管造影证实了CT的结果。
2018年3月8日
脑血管造影显示左侧大脑后动脉远端有一个0.2cm的小动脉瘤,手术治疗。血培养呈革兰氏阳性球菌。继续哌拉西林、他唑巴坦和万古霉素。经胸超声心动图显示二尖瓣严重狭窄和反流。
2018年3月9日
在医院第四天,心脏科医生进行了会诊,在心尖听到3/6级全收缩期杂音。
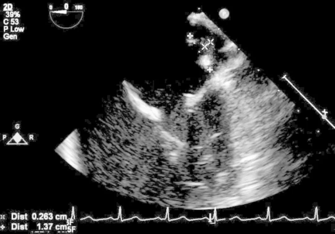
经食道超声心动图显示左心房后壁有1.37cm×0.263cm的带蒂赘生物(图5)。

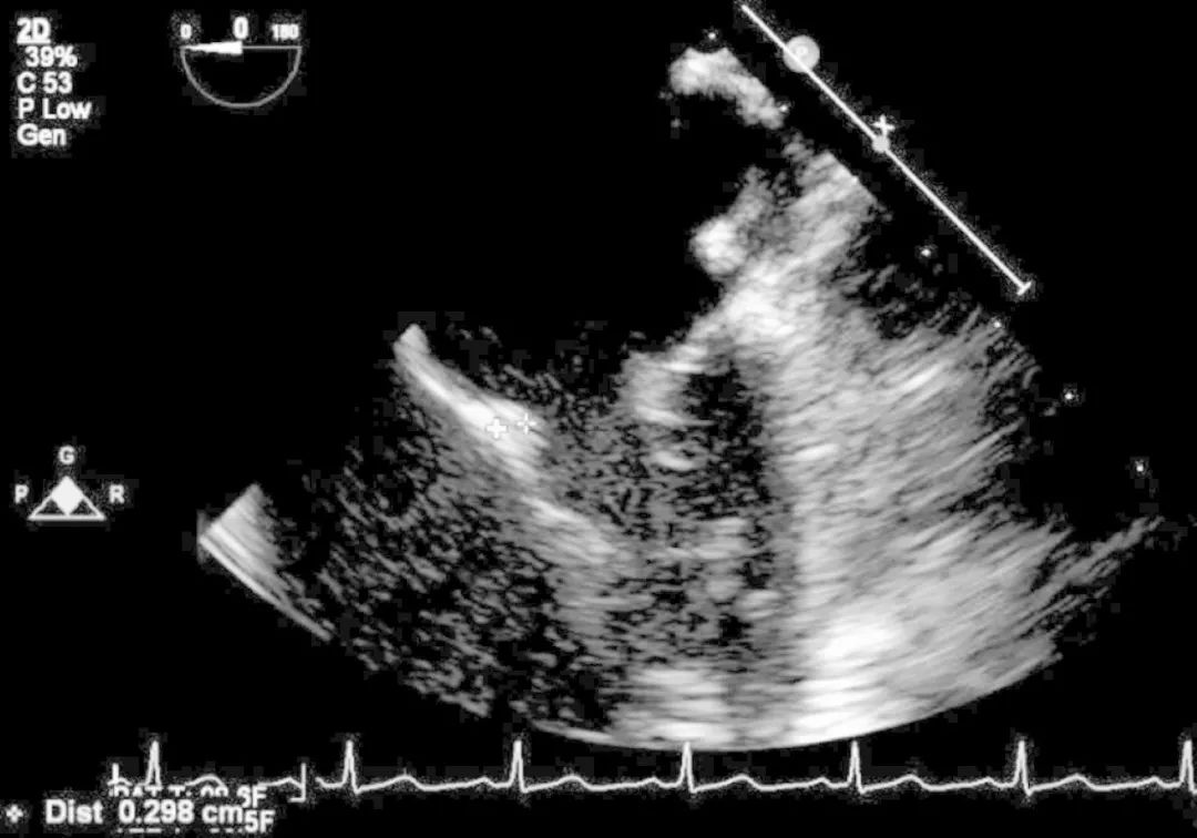
二尖瓣前叶有0.298cm的赘生物(图6),二尖瓣后叶有柄,二尖瓣反流严重。

2018年3月11日
血液培养分离物被鉴定为链球菌。头孢曲松替代哌拉西林,他唑巴坦和万古霉素。
2018年3月13日
牙医会诊,发现了严重龋齿,需要拔掉多颗牙齿。随访脑血管造影均为阴性。
2018年3月15日
患者出院,主要诊断为心内膜炎,诊断为非风湿性二尖瓣关闭不全,并正在进行静脉注射头孢曲松治疗。
2018年5月24日
患者接受了微创二尖瓣修复术,其中P2切除,P1-P3滑动成形术和鞍环置入术,均获得成功。
随访过程中,患者一切正常,接受了定期的随访治疗。

后附诊断标准
