卵巢肿瘤组织学分类主要包括上皮性肿瘤,生殖细胞肿瘤,性索间质肿瘤,其他类型及转移性肿瘤。其中可表现为实性或实性为主肿瘤有卵巢癌、纤维卵泡膜瘤、颗粒细胞瘤、Brenner 瘤、无性细胞瘤、类固醇细胞瘤、卵巢甲状腺肿、硬化性间质瘤、子宫内膜样癌、类癌、淋巴瘤等。

No.1
卵巢实性或实性为主良性肿瘤
01
卵泡膜细胞瘤-纤维瘤组肿瘤
卵泡膜细胞瘤-纤维瘤组肿瘤是最常见的卵巢实性肿瘤,大部分为良性,少数为恶性。根据卵泡膜细胞和纤维母细胞含量的不同,分为 3 个亚型,包括纤维瘤、卵泡膜细胞瘤和纤维卵泡膜细胞瘤。其中纤维瘤多发生于 40 岁中年妇女,一般体检发现,也可由于肿瘤扭转引起腹痛就诊,一半肿瘤可以合并腹腔积液,少数同时合并胸、腹腔积液,称为麦格综合征。卵泡膜细胞瘤发病年龄往往高于纤维瘤,大部分发生于绝经后,由于卵泡膜细胞瘤分泌雌激素,可以引发子宫内膜增生、绝经后不规则出血,少数可产生男性化特征。纤维卵泡膜细胞瘤含有以上 2 种肿瘤的特点,有时可以其中一种肿瘤的特点为主。
这类肿瘤影像表现往往类似,好发于单侧附件,呈类圆形或圆形,大部分肿瘤呈实性,密度较均匀,钙化少见,少数肿瘤呈囊实性,囊实性成份分界一般较清楚,完全囊性罕见,CT 上肿瘤一般呈等密度影,接近于子宫密度,没有特征性,MR 图像上由于肿瘤含有胶原纤维成分,在 T2WI 呈低信号,这是其特征性表现,增强扫描后肿瘤实性部分强化程度较弱,一般明显低于子宫强化程度,呈轻中度强化,并可以持续强化,囊性部分不强化,囊实性成分分界更加清楚。有时可以显示正常的卵巢。可同时伴发腹腔积液。卵泡膜细胞瘤 T2WI 信号稍高于纤维瘤。

女,65 岁,左侧卵巢纤维瘤。图 a 箭头显示肿物 T2WI 呈低信号,DWI 未见明显扩散受限(b),增强扫描缓慢强化(c 增强早期,d 增强晚期)

女,70 岁,卵泡膜细胞瘤。图 a 增强扫描显示右侧卵巢肿物(白箭),同时子宫内膜增厚(图 a 白箭头及图 b 黑箭)。

女,32 岁,富于细胞性纤维瘤。右卵巢实性为主肿物,T2WI 稍高信号(图 a),DWI 高信号(图 b),增强扫描渐进行强化(c 增强早期,d 增强晚期)
02
Brenner 瘤
Brenner 瘤是少见的卵巢上皮来源肿瘤,分为良性、交界性及恶性,多为良性,何年龄均可发病,但多见于中老年妇女,发病平均年龄约 50 岁。幼年型可出现月经来潮、乳腺发育、生殖器发育等性早熟症状,成人型最明显的症状是功能性子宫出血、闭经、绝经后阴道不规则出血,或合并子宫内膜增生、子宫内膜息肉、子宫肌瘤等。良性 Brenner 瘤以实性和囊实性较多见,瘤内多可见蛋壳样或沙砾样钙化灶,对 Brenner 瘤诊断特异性较高。

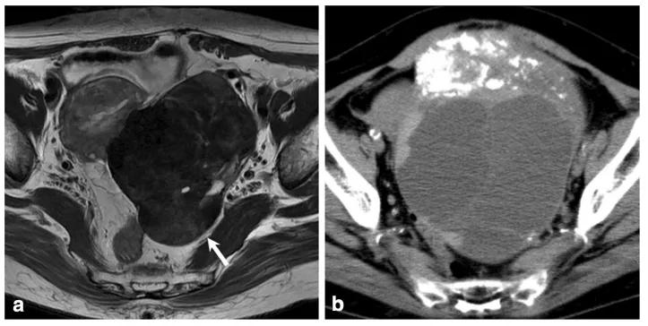
女,68 岁,左卵巢 Brenner 瘤。T2WI 显示左侧卵巢巨大低信号肿物(图 a),CT 扫描显示 8 年后肿物增大、多发钙化、发生囊变(图 b)。
03
类固醇细胞瘤
类固醇细胞瘤是一种罕见的性索间质肿瘤,根据组织细胞来源分为三个亚型:间质黄体瘤、间质细胞瘤及非特异性类固醇细胞瘤,后者最多见。发病年龄跨度大,平均发病年龄约 47 岁。肿瘤可分泌类固醇激素,根据分泌激素不同,临床表现可分为高雄激素和高雌激素两型,高雄激素型最为常见,表现为男性化。肿物可呈实性或多房囊性,大多含有脂质成分曾被称为脂质细胞瘤,多数肿瘤位于卵巢内,周围可有正常卵巢组织包绕,绝大多数为单侧。

女性,36 岁,睾酮升高,类固醇细胞瘤。T2WI 示右卵巢可见不均匀稍高信号肿物(图 a),增强扫描早期明显强化(图 b)。T1WI 同相位(图 c)及反相位(图 d)可显示肿物内脂质成分,相应 CT 图像呈低密度(图 e)
04
卵巢甲状腺肿
卵巢甲状腺肿是一种高分化单胚层畸胎瘤,较为罕见,发病年龄高峰为育龄期妇女,约 5%~8% 的卵巢甲状腺肿患者表现为甲状腺功能亢进症,肿瘤切除后甲亢症状可随之消失。卵巢甲状腺肿是以单侧附件发生的囊性或囊性成分为主的囊实性占位,单纯实性或实性为主的肿块较少见。囊腔信号各异及 T2WI 低信号被认为是该病最具鲜明的 MR 特征。病灶内出血或甲状腺滤泡内蛋白胶质成分可致 T1WI 信号增高,T2WI 内低信号影,可考虑为甲状腺滤泡内胶冻样物质,DWI 扫描呈异常高信号,由于胶冻样物质氢质子含量少,水分子扩散受限。囊壁和间隔一般较厚,但囊壁光滑,囊壁和间隔可见线样及环形钙化,增强扫描实性成分明显强化,尤其是呈甲状腺组织样异常显著的强化较具特征性。

女,50 岁,卵巢甲状腺肿。左卵巢肿物,T2WI 呈不均匀稍高信号(图 a),增强扫描早期明显强化(图 b),CT 扫描显示囊内成份密度稍高(图 c)。
05
硬化性间质瘤
硬化性间质瘤是罕见的良性卵巢性索间质肿瘤,好发于 20~40 岁女性,绝经后妇女少见。实性或囊实性为主,MR 图像最外层 T1WI、T2WI 低信号环提示成熟纤维组织成分形成的包膜,或被肿瘤压缩的卵巢皮质结构。当肿块内部纤维组织成分或囊变区范围较大时,T1WI 呈相对均匀的等或低信号,因肿块内疏松水肿区域瘤细胞呈散在分布,T2WI 图像呈混杂信号,由纤维组织组成的实性成分表现为低或等信号,而水肿或黏液样变性的部分则呈高信号,当实性成分与黏液变或囊性成分分布不均时,低信号与高信号相互穿插,呈「梳齿样」表现。肿瘤血管丰富,包膜下及实性成分间可见流空血管影。增强扫描早期即可明显强化,及静脉期及延迟期呈持续强化可能与肿块内含胶原成分有关。

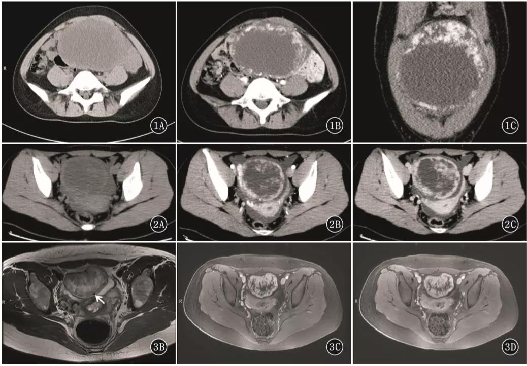
图 1. 女,22 岁,左侧卵巢硬化性间质瘤。CT 示左侧附件区囊实性巨大肿块,增强后肿瘤周边呈明显持续性强化,肿块周边多发结节及乳头状强化,中央囊性成分未见明显强化。
图 2. 女,42 岁,左侧卵巢硬化性间质瘤。盆腔内巨大囊实性肿块,平扫呈等密度,肿块内部及周边多发絮状及乳头状结节,增强后肿块呈持续性显著强化,向 心性推进,强化绒毛呈「梳齿样」强化。
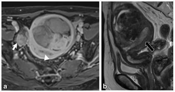
图 3. 女,19 岁,左侧卵巢硬化性间质瘤。T2WI 轴位(图 3B)示盆腔内囊实性肿块,实性区域与囊变区相交错,呈「梳齿样」表现,肿块边缘见低信号包膜,实性成分呈结节及乳头状等信号,中央囊变区呈裂隙状稍高信号,低信号包膜下见流空血管影(箭头),增强扫描轴位(图 3CD)静脉期及延迟期盆腔内肿块周围实性成分呈显著持续性、向心性强化;中间裂隙状囊变区无强化,表现为「湖岛」征。
No.2
卵巢实性或实性为主恶性肿瘤
06
子宫内膜样癌
子宫内膜样癌是卵巢原发上皮来源第二常见的恶性肿瘤,是由类似子宫内膜样癌(子宫内膜癌I 型)的恶性腺体或乳头状结构组成的腺癌,约占卵巢恶性肿瘤的 10-20%。多发生于绝经期妇女(50~60 岁),临床症状不典型,早期无明显症状,多因体检肿瘤标志物(CA125、CA199、HE4)升高而就诊,晚期多数患者以腹痛腹胀或腹盆部包块就诊,可伴或不伴月经改变及阴道不规则出血等。肿瘤以单侧较多见,双侧约占 25%-40%。形态多为类圆形或不规则分叶状,大小不等,可达 10-20 cm;多呈囊实性,实性成分表现为囊内结节型和囊壁增厚型;增强后肿瘤实性成分中等程度强化。当实性成分沿着囊腔向中心逐渐生长,可表现为「裂隙征」。当肿瘤实性成分含基质较多时,T2WI 信号较低,容易误诊为良性肿瘤。钙化少见。肿瘤易侵犯邻近结构及种植转移,可合并子宫内膜癌、子宫内膜增生,可伴有同侧卵巢或盆腔其它部位子宫内膜异位症。

女,47 岁,卵巢子宫内膜样癌。右侧卵巢异常信号肿物,T2WI 混杂稍高及高信号(图 a),DWI 高信号(图 b),增强扫描不均匀强化(图 c)。肿物内见条片状裂隙样异常信号(箭头),T2WI 呈高信号、DWI 低信号、增强扫描未见强化。

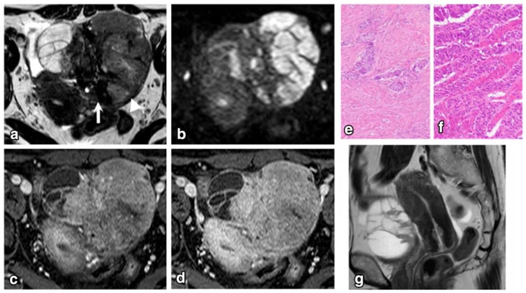
女,64 岁,雌激素升高,卵巢子宫内膜样癌。卵巢肿物由三部分构成,偏右侧是囊性成分;中间部分(箭头)T2WI 及 DWI 呈低信号(a 及 b),增强扫描明显强化(c 增强早期,d 增强晚期);偏左侧部分 T2WI 稍高信号,DWI 高信号,增强扫描明显强化。HE 染色显示中间部分肿物由功能性纤维间质构成(图 e)。HE 染色肿瘤左侧部分显示子宫内膜样癌与性索间质肿瘤类似。矢状位显示子宫体积增大(图 g)
07
浆液性癌
浆液性癌一般信号混杂、形态欠规则,边缘模糊,合并大量腹、盆腔积液,肿瘤标记物 CA125、 CA199、CEA、HE4 等明显增高,患者临床表现比较其他明显,有恶病质等。最常见的卵巢恶性肿瘤,首诊症状较重。表现为囊实性肿块,形态不规则,实性成分明显强化,如有出血信号强度随时间长短而变化,可见囊性乳头状突起,突起的多少与恶性程度呈正相关,多伴腹腔转移、淋巴转移和脏器转移。浆液性以单房居多,可伴钙化;粘液性肿瘤多为多房性囊性或实质性结构,往往比浆液性囊腺癌大,可占据整个腹腔,囊肿可破裂进入腹腔形成假性腹腔粘液瘤。

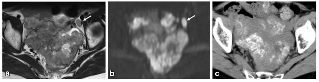
女,75 岁,浆液性癌。CA-125 升高。双侧卵巢不规则肿物,与腹膜结节分界不清,T2WI 呈不均匀稍高信号(图 a),DWI 呈不均匀高信号(图 b),CT 显示肿物内钙化(图 c)。箭头显示左侧髂血管旁转移淋巴结。
08
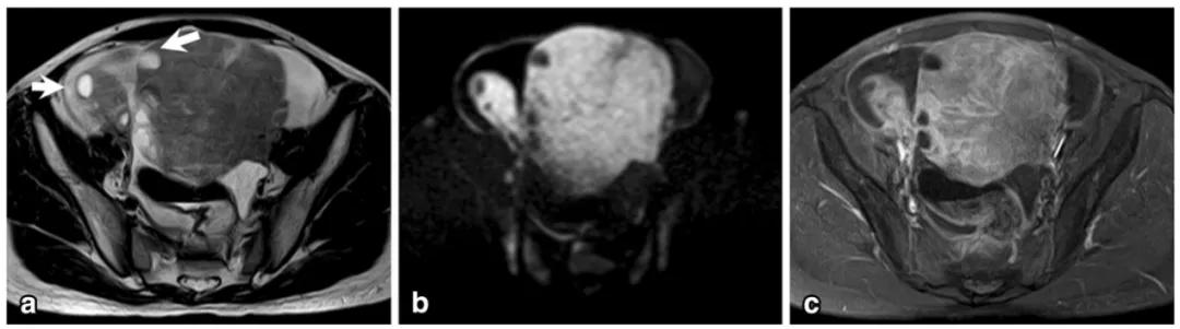
成人型颗粒细胞瘤
颗粒细胞癌是常见的性索间质肿瘤,成人型多为绝经后妇女,表现为绝经后阴道流血(幼年型多表现为性早熟)。可表现为实性或囊实性肿块,可见纤维变性,常伴出血。典型表现是蜂窝征,通常肿瘤体积大、腹水多但无腹膜转移。子宫体积可增大、内膜增厚、出血。70% 肿瘤可分泌雌激素,导致继发性子宫改变,包括子宫内膜癌。

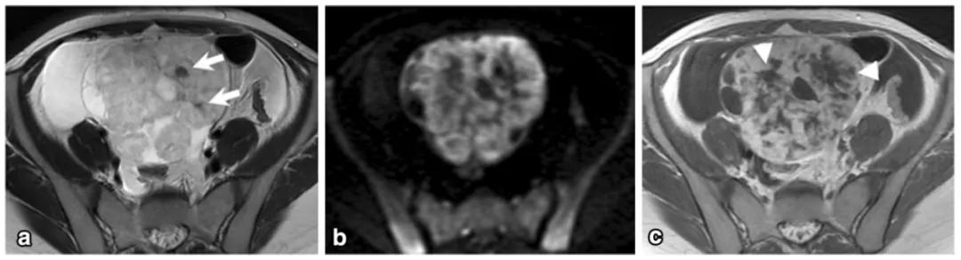
女,61 岁,雌激素升高。MR 显示左卵巢实性肿物,T2WI 呈稍高信号(图 a),内部多发小囊变(白箭),DWI 呈高信号(图 b),增强扫描明显强化。T2WI 显示子宫腺肌症(箭头)。
09
无性细胞瘤
无性细胞瘤是卵巢最常见的原发生殖源性恶性肿瘤,好发于儿童或年轻女性,尤其 20 岁以下最多见,约占 75%。常伴血清乳酸脱氢酶升高,3-5% 患者 hCG 升高,病理上分为单纯型和混合型 2 种,后者合并卵黄囊或绒癌成分,且容易表现出人绒毛膜促性腺激素及血清甲胎蛋白水平提高。单侧多见,以实性成分为主的分叶状或类圆形肿块,中央伴小条片状坏死。血供丰富,但是强化相对较轻,增强后动脉期多呈轻度强化,静脉期及延迟期轻度延迟强化,可能内部细胞排列紧密,血管分布规则有关,瘤内强化的「纤维血管分隔」为特征性表现。

女,22 岁,无性细胞瘤。乳酸脱氢酶及碱性磷酸酶升高。T2WI 示右侧卵巢分叶状肿物(图 a),DWI 呈高信号(图 b),增强扫描明显强化(图 c)。箭头显示肿物内可见纤维血管分隔。
10
卵黄囊瘤(内胚窦瘤)
卵黄囊瘤(内胚窦瘤)是第二常见的卵巢恶性生殖细胞肿瘤,发生率占恶性生殖细胞肿瘤的 20%,多见于儿童和年轻女性,恶性程度高,AFP(甲胎蛋白)升高对诊断有重要提示意义。典型的影像学表现为巨大的囊实性肿块,生长迅速,易侵犯血管引起瘤体出血和坏死,增强扫描时肿瘤不均匀显著强化特征性表现。包膜常破裂并播散转移。

女,18 岁,卵黄囊瘤(右侧),AFP 升高。T2WI 示卵巢实性为主肿物(图 a),内见低信号纤维血管分隔(白箭),实性成分 DWI 呈高信号(图 b),增强扫描明显强化(图 c),内见无强化坏死区(箭头)。
11
类癌
类癌是卵巢原发性类癌是高分化的神经内分泌肿瘤,临床表现无特异性,可表现为腹痛腹泻、严重便秘等,也可表现为类癌综合征。发病年龄跨度大,中位年龄 53 岁。在组织学上,将原发性类癌分为岛屿型、小梁型、甲状腺肿型、粘液型、混合型。多发生于单侧,体积较大,形态多呈类椭圆形,部分病灶呈浅分叶,密度不均匀,呈囊实性,相互交织混杂改变;强化方式与年龄及临床分期相关,分期较早患者实性部分动脉期强化不明显,静脉期强化轻中度强化,分期较晚的患者实性部分动脉期强化明显,年轻患者多呈点、线状类血管样强化,静脉期强化程度稍减退;中老年患者多呈片状明显强化,静脉期持续明显强化。常见腹膜、肠系膜及大网膜的多发转移,常伴腹水,腹膜后淋巴结肿大常见。

女,50 岁,卵巢类癌与成熟畸胎瘤及卵巢甲状腺肿。左卵巢囊实性肿物,实性成分 T2WI 呈低信号(图 a 黑箭),T1WI 呈稍低信号(图 b),T1WI 压脂呈稍高信号(图 c),DWI 呈高信号(图 d),增强扫描明显强化(图 e)。肿物内囊性成分 T1WI 呈高信号(白箭头)。肿物并存成熟畸胎瘤(白箭)
12
淋巴瘤
卵巢原发淋巴瘤罕见,常见组织学类型为弥漫大 B 细胞淋巴瘤及 Burkitt 淋巴瘤,后者常见于儿童及青少年。最常见的症状是腹部疼痛。原发继发影像表现一致,影像鉴别困难。常见表现为双侧卵巢实性肿物,T2WI 呈较信号均匀,内可见高信号分隔,增强扫描明显强化。肿物边缘多发线样排列的囊性结节,为「卵泡保留征」。

女,12 岁,卵巢 Burkitt 淋巴瘤。双侧卵巢肿物,T2WI 信号稍高(图 a),DWI 呈高信号(图 b),增强扫描明显强化(图 c),箭头显示肿物边缘多发囊性结节,为卵泡保留征。
13
转移瘤
转移瘤有原发肿瘤病史,主要见于胃肠道种植转移,常伴腹水及网膜转移。

女,34 岁,胃癌双侧卵巢转移瘤。T2WI 显示双侧卵巢实性肿瘤,T2WI 呈高低混杂信号(图 a),DWI 呈高信号(图 b)。
小结:

Tips
卵巢来源强化极度明显的实性肿瘤:卵黄囊瘤(内胚窦瘤)、卵巢甲状腺肿
卵巢实性肿瘤伴绝经后阴道出血的:性索间质来源
附件区实性肿瘤除了卵巢来源,还要鉴别子宫肌瘤、阔韧带肌瘤、输卵管癌、炎性肉芽肿性包块及宫外孕等。
良恶性鉴别:肿瘤内见到 T2WI 低信号常提示偏良性,但并不绝对,如子宫内膜样癌也可表现为实性成分内低信号。
增强扫描时间-信号曲线:分为 3 型,其中缓升型常提示良性,速升型常提示恶性。
-
I 型:缓升型
-
II 型:缓升平台型(强化初期曲线斜率小于子宫肌层强化曲线)
-
III 型:速升型(强化初期曲线斜率大于子宫肌层强化曲线)

您见过什么不典型卵巢肿瘤?
欢迎留言分享
作者 | 橙子
编辑 | 小雪球
责任编辑 | 彭龙
插图来源 | 作者提供
题图来源 | 站酷海洛
【版权声明】本平台属公益学习平台,转载系出于传递更多学习信息之目的,且已标明作者和出处,如不希望被传播的老师可与我们联系删除