想问问各位宝妈们?还记得坏宝宝时,第一次感觉到胎动的惊喜吗?对于胎动,相信所有的宝妈都有话说。从开始感觉到胎动那一天起,所有的宝妈就开始每天关注着宝宝的胎动直到生下来为止。宝宝胎动少,担心宝宝缺氧!胎动多,担心宝宝在肚子里面不舒服!尤其是到了孕晚期。每天都提心吊胆,生怕宝宝在肚子里出现什么问题。直到分娩那天,宝宝安全降生,悬着的心才能落地。好在宝宝们都安全度过了孕程。可是有一个宝宝在妈妈肚子却没有那么安分了,拳打脚踢太厉害,竟然踢破了妈妈的子宫······
这名法国宝宝似乎太过好动,竟然在胎动的过程中一脚踢破妈妈的子宫,超声检查影像出来时,当场震惊了医师和母亲本人。

生命力惊人的小宝宝在妈妈的肚子里面不断的表现出惊人的活泼,没想到在妈妈某次产检时竟发现小脚丫已经踢破子宫,但因为孕妇没有任何不适,所以一直都没有发现。

法国一名医生表示,这是一起罕见的个案,他自己从来没有遇过这样的情形,医学上记录也只有26起。分析是因为这名孕妇已经第6次怀孕,过去5次是剖腹生产增加了子宫壁撕裂的风险。
由于剖腹产会留下疤痕,疤痕位置变得很厚,但周遭会变得脆弱,怀孕所承受的压力会让子宫壁变得更薄甚至撕裂,若是婴儿活动力较强,的确有可能就踢破了。

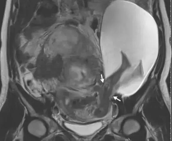
该名妈妈的磁共振扫描(MRI)照片可以看到,箭头所指之处就是宝宝的双脚,而子宫壁处在怀孕初期已有2.5cm大的撕裂,使得部分装着发育中宝宝的羊膜囊露出子宫,宝宝也因为胎动刚好把脚伸出去,造成惊人的景象。
医生表示,通常子宫壁撕裂对导致疼痛与出血,但宝宝的脚伸出去刚好可以帮忙止血,当时发现时,子宫壁已经增加撕裂到5cm,宝宝的双脚跟腹部都已经在子宫外,随即进行剖腹生产,所幸母子均安。
10月2日中国也发生了类似事件
10月2日凌晨5时,怀孕35周的头胎妈妈张女士突然上腹部疼痛,一开始以为是胃疼,没想到疼痛越来越剧烈,额头直冒冷汗。
上午10点多,她被家人送到医院看急诊时,已腹痛难忍异常痛苦,血压、脉搏、呼吸等关键的生命体征在恶化。
医生初步怀疑患者子宫破裂,当即安排做了B超。检查发现,胎儿的一条腿“踢破”了子宫,进入了腹腔,大腿根正卡在子宫壁上!

▲红色圆圈处是胎儿的腿,已经伸到子宫壁外
医生追问患者病史,原来张女士2016年做过子宫肌瘤剔除术,术后半年就怀孕了。不到2分钟B超检查,仅凭有限病史,医生快速作出诊断:高度怀疑为疤痕子宫破裂。
当时,孕妇面临失血性休克和感染双重威胁,胎儿也随时有生命危险。医护人员果断终止检查,立即把她转送到手术室,通知手术室护士、麻醉科医生做好抢救准备,并组织产科急救团队,带好抢救病人相关物品奔赴手术室。从确诊病情到送手术室,前后只用了不到5分钟。

对于张女士和腹中胎儿来说,时间就是生命。医生第一时间施行了手术,不到10分钟,就将胎儿顺利剖出。胎儿出生后生命体征平稳,逃过一劫。
延伸阅读

什么是瘢痕子宫?
所谓瘢痕子宫,就是指子宫上开过刀,动过手术的子宫,如剖宫产、子宫肌壁间肌瘤挖除术、输卵管间质部及宫角切除术、子宫形成术等。瘢痕子宫再次妊娠可能面临的诸多风险中最严重的莫过于子宫破裂。

(图:剖宫产形成瘢痕子宫)
什么是子宫破裂?
妊娠晚期或临产后,由于子宫腔内压力增大,可使肌纤维拉长,正常怀孕情况下,健康的子宫肌纤维伸展性极好,可以让子宫膨大到甚至允许双胎的居留。但是如果当肌纤维的伸展超过极限,纤维发生断裂,就造成子宫破裂。这种情况在初产,一般发生在子宫发育不良、胎儿和骨盆不相称的难产,再有就是子宫瘢痕了。
剖宫产或子宫肌层的手术,必然要切断部分肌纤维,要知道肌纤维可不能像血细胞那样再生的,肌纤维一旦断裂,只能是瘢痕修复,愈合的瘢痕组织的弹性可是大大降低,根本无法大幅度延伸。特别是瘢痕愈合时遭遇切口感染、愈合不良、血肿等并发症时,瘢痕更加脆弱,有时还发生憩室,一旦受力时,就不堪一击了。
如果肌纤维能耐受了十月怀胎,到临产后子宫剧烈收缩,遇到瘢痕强度不够,就会发生子宫破裂,子宫裂口大量出血,胎儿和羊水通过破口进入腹腔,刺激腹膜反应,羊水中胎儿成分进入血循环发生羊水栓塞,直接威胁产妇及胎儿生命,死亡率很高。
导致子宫破裂的常见原因
1疤痕子宫
子宫肌层手术史,包括剖宫产、肌壁间子宫肌瘤剜除术、子宫畸形成形术等,尤其术后瘢痕处血肿、感染、愈合不良者,更易发生破裂。
2梗阻性难产
主要见于高龄产妇、骨盆狭窄,头盆不对称,产道阻塞,胎位异常,胎儿异常(如脑积水、联体儿),均可发生胎儿下降受阻,子宫强烈收缩,子宫下段肌层壁变薄发生破裂。
3子宫收缩药物使用不当
如果此时再给子宫收缩剂,疤痕子宫和梗阻性难产会导致雪上加霜的高危风险。
子宫破裂的临床结局
1对母亲而言
“子宫破裂”后可能造成严重内出血,从而出现腹部剧烈疼痛等症状,如果不及时止血,腹部大量出血后,极可能造成失血性休克,伴有羊水中胎儿成分进入母血循环,还可能造成羊水栓塞,全身性凝血功能障碍(DIC),使得止血困难,导致产后更大量的出血,母亲的生命极其危险。
2对胎儿而言
一旦胎儿破出子宫、进入腹腔内时,子宫收缩压力突然消失、子宫形状改变、胎儿位置改变,可能会听不到胎心音,或者胎心音有不规则的晚期心搏减速,造成胎盘早期剥离,形成胎儿窘迫的情形,如果不及时处理,很可能会胎死腹中。

3子宫破裂的处理
一旦发生子宫破裂,无论胎儿是否存活,均应尽快手术治疗,子宫破口整齐,破裂时间短,无明显感染,或患者全身状况差不能承受大手术可行破口修补术。否则行子宫切除手术。
如何避免子宫破裂
一.预防破裂
1)不做没有医学理由的剖宫产,提倡自然阴道分娩;
2)避免多次人工流产,以免子宫内膜多次被搔刮,致使再次妊娠时由于胎盘种植于子宫的下段而发生子宫破裂。
3)剖宫产手术后孕妈妈,不要在术后很短的时间内再次妊娠,最好要间隔2年以上。
二.加强产前检查
加强产前检查。如果发现胎位异常,及时配合医生进行纠正,听从医生的建议,事先安排恰当的分娩方式
三.提前入院
有子宫破裂高危因素者,应在预产期前1~2周入院待产。以免突然发生意外。