牙齿上的神秘“黑三角”
为什么人人谈之色变?
然而“黑三角”一词
并不能在专业的牙科书籍中找到

但有些人做完牙齿矫正后
出现了“黑三角”
便认为是牙齿矫正的后遗症
其实是冤枉了牙齿矫正。
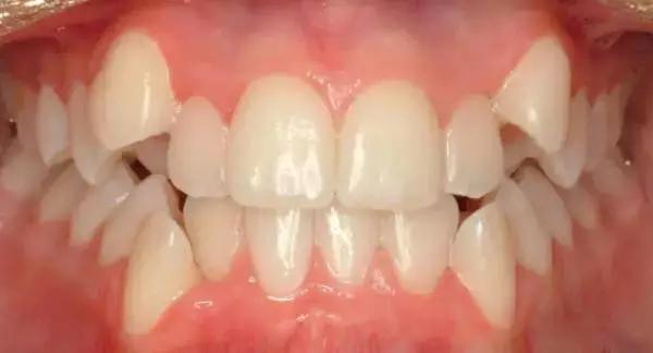
1、什么是黑三角?

相邻牙齿外形最突点虽然接触在一起了,可是相邻牙齿之间的牙龈并不能完全覆盖两个牙齿的邻接点之间的间隙到牙齿的牙颈部时,肉眼所能看到的一个三角形间隙,我们称之为黑三角。
2、为什么那么多人害怕黑三角?
大部分人害怕黑三角,是因为它特别难看。
但黑三角真正可怕的是,它不但无法自我修复(不可逆),反而可能会越来越严重。一方面是黑三角容易造成食物嵌塞,另一方面它更容易让细菌积累,影响牙周健康。

3、黑三角形成的原因
黑三角是一个多因素发病的疾病,主要病因可以分为两大类:
- 接触点(两颗牙齿相切的那个点)的位置过高
- 牙槽嵴顶高度降低
我们先来认识两个东西,一个叫接触点,另一个叫牙槽嵴顶,大致就是下面图示的那样。

接触点到牙槽嵴顶之间的垂直距离,是决定黑三角程度的重要因素。

意思是,两者的距离越远,黑三角越明显!
4、哪种情况容易导致黑三角的出现
牙周炎

牙周炎会导致牙龈萎缩、牙槽骨吸收,是导致黑三角形成的主要原因之一。
牙冠形态
是正畸治疗后黑三角发生的一个明确因素。
可以发现黑三角很讨人厌,基本都出现在前面几颗牙之间(前牙区),就像是特意跑出来给人看的一样。

这是因为下颌前牙区的牙齿,牙冠形态相对长和窄、呈三角形,接触点的位置就会很高,拉长了到牙槽嵴顶的垂直距离,所以更容易发生黑三角。
天生牙周不同

并不是每个人的牙周生来就是一样的,我们可以简单区分为:薄的牙周生物型和厚的牙周生物型。
厚的牙周生物型,骨组织较厚、密实,龈乳头宽而扁,牙周具有良好的血供和生物组织记忆性,牙龈不易萎缩;
相反,薄的牙周生物型,骨形态常呈扇贝状,龈乳头狭长,易发生永久性退缩,所以更容易在矫正后出现黑三角。
牙根分散

相邻牙齿所成的角度,与黑三角的发生密切相关。牙根分散程度被认为是引起黑三角的潜在因素,牙根越分散,发生黑三角的概率越大。
年龄
随着年龄的增长, 牙龈乳头高度每年平均降低 0.012 mm,黑三角的发病率也会增加。
牙齿拥挤

是发生黑三角的一个易感因素。
在正畸临床中,上下颌前牙严重拥挤患者,软垢牙石不容易清洁干净,牙龈长期炎症,导致牙龈退缩。
通过矫正,原本拥挤的牙齿排齐后,相邻牙齿间过大的间隙就暴露了,将导致明显的牙龈黑三角。
5、如何避免出现黑三角?

全面的口腔护理:黑三角的产生有很大一部分原因是牙齿清洁没有清洁好,导致产生牙菌斑牙结石从而导致牙龈萎缩而产生,注意清洁牙齿可以有效减少黑三角产生。
运用正确的刷牙方式,坚持每天至少刷牙 2 次,使用软毛牙刷,切忌拉锯式的刷法牙方式。
除此之外还可以选择使用牙缝刷、冲牙器、牙线等辅助清洁工具,全面的对牙齿进行清洁,这样除了可以减少黑三角的出现之外,还可以预防其他的口腔疾患。
洗牙:牙周病的进展大都缓慢,及时发现苗头,近早一步停下牙周病进程。洗牙可以有效清除牙结石、软垢,每半年一次为 Zui 佳。
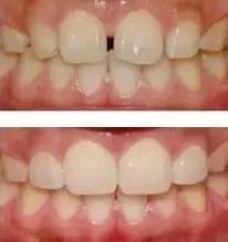
6、如果矫正中不幸出现了黑三角还有救吗?

如果真的那么不幸,在牙齿矫正中或者矫正后出现了黑三角,目前主要可以通过邻面去釉和做牙贴面两种途径。
邻面去釉:我们可以通过邻面去釉,改变牙冠形态,从点接触变成面接触,增大接触区面积,同时配合正畸关闭间隙,从而减少黑三角的发生。

做牙贴面:牙龈退缩明显的牙齿用牙贴面来遮住暴露的牙颈部,可以缓解遇冷或遇热时的敏感症状。
其实,牙齿矫正本身是不会导致黑三角的,不良的口腔清洁习惯才是产生黑三角的元凶,而且黑三角不但无法自我修复,反而可能会越来越严重。
一方面是黑三角容易造成食物嵌塞,另一方面它更容易让细菌积累,影响牙周健康。

所以,在牙齿矫正的过程中要选专业的正畸医生,并且及时的与医生沟通,最好的应对办法是注意口腔卫生、提前进行牙周治疗,预防黑三角的出现,而不是等到它真的出现后再想办法去弥补。