最近,4岁小女孩琪琪(化名)身上发生了一件极其可怕的事,她先是老喊屁屁痒,过几天又说小便的地方痒。
结果,爸爸妈妈脱下她的小*裤内**仔细检查,从阴道里抓出许多条“小米虫”。

图片来源:视觉中国
这些小虫子是哪来的?对小朋友会造成怎样的伤害?会传染吗?钱江晚报记者找到了当时接诊琪琪的杭州师范大学附属医院儿科的杨琳医生。
4岁小女孩说小便的地方痒
妈妈竟从她阴道里抓出许多“小米虫”
4岁的小朋友按说睡眠质量应该超级好,晚上基本不需要起夜,琪琪原本也是如此。
可不知道为啥,近来夜间她频频哭醒。而且理由也非常奇怪,先是说屁屁痒,睡觉时小手也经常去抠。
起初,爸爸妈妈没当回事,还斥责她这种坏习惯是不讲卫生。

图片来源:视觉中国
可是,类似的奇怪举动琪琪每天晚上都会“上演”一两次。更糟糕的是,几天之后,琪琪抓挠的小手从屁屁转向了前面,半夜醒来还边哭边说:“拉小便的地方痒。”这下,爸爸妈妈才紧张起来。
脱下琪琪的小*裤内**,打起手机的电筒,仔细查找,眼前所见令人发抖。琪琪的阴道里有很多“小米虫”在蠕动。爸爸妈妈当即抱起琪琪赶往杭师大附院急诊。
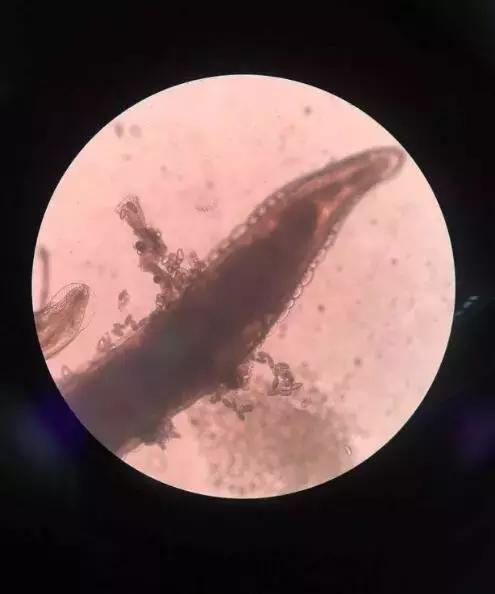
“这是蛲虫。”看了琪琪妈妈用餐巾纸包来的小虫子,值班的儿科医生杨琳一眼便认出。

蛲虫成虫
蛲虫是什么虫?从哪来的?孩子会有危险吗?琪琪爸妈满脑子的疑惑与担心。
蛲虫是肠道常见蠕虫的一种,主要通过肛门-手-口直接传播。雌虫于夜间爬行于肛门口产卵,引起奇痒,小朋友用手指搔痒而沾染虫卵,在进食或吮吸手指时吞入虫卵。若虫卵在肛门口孵化,幼虫也可爬进肛门,侵入大肠,可引起逆行感染。而蛲虫若不及时处理会蔓延整个肛门,女生甚至会爬进阴道,造成腹痛。
为了进一步验证,杨琳医生叮嘱琪琪爸妈多取点孩子的粪便到化验室进行镜检。果不其然,检验科的值班人员在高清显微镜下找到了蛲虫成虫以及大量虫卵。所幸,小虫子对琪琪造成的伤害还不算大,吃了打虫的“小糖丸”后,问题便迎刃而解了。
儿童蛲虫感染夏季高发
不及时治疗可能影响孩子身心健康
杨琳医生说:“蛲虫感染是儿童常见的寄生虫感染,尤其在夏季高发。因夜间肚子痛、屁屁痒而来就诊,高度怀疑蛲虫感染的小朋友基本上天天都能碰到,而最终找到虫子确诊的每个月也有10多例。”

蛲虫幼虫
据了解,小朋友通过直接接触附在玩具、污染物及衣被上的蛲虫卵,将虫卵带入口中,造成交叉感染和患者反复感染,这是幼儿园(集体机构)传播蛲虫的重要方式。因此,做好针对性预防很有必要。
杨琳医生提醒,平时注意保持肛周清洁,每日换洗*裤内**,饭前饭后一定要勤洗手,而这个洗手也很有讲究,必须用香皂洗手保持手部卫生,同时讲究公共卫生和家庭卫生(包括纠正儿童吮吸手指习惯、勤剪指甲、不穿开裆裤睡觉的好习惯)。定期烫洗被褥和清洗玩具的预防措施(用0.5%碘液涂擦5分钟以上或0.05%碘液浸泡玩具1个小时以上,可杀死蛲虫卵),是防止再感染的关键。
另外,蛲虫病若反复感染迁延不愈,使儿童产生夜惊、夜间磨牙遗尿等症状,将影响儿童身心健康,严重者可引起多种并发症,如蛲虫性泌尿生殖道炎、蛲虫性阑尾炎及过敏性皮肤病等。因此,家长要是发现小朋友夜间老说屁屁痒或是肚子痛等要引起重视,及时就诊。
(来源:钱江晚报)