
凌晨三点,我正趴在电脑前研究着那些没有情节只有骨与肉的片子。
“我一直在咳嗽,能不能输液呀?”急诊室里走进来来一位40岁的男性患者,他还没有来得及坐下就迫不及待的要求。
有很多病人都会有这样的粗暴的要求,可是作为医生必须要区别对待,因为有时候事情的真相并非如同患者自认为的那么简单。
“我先看看什么情况再说吧?”我一边示意他坐下来,一边伸手去拿病历资料。
翻开患者手中的病历本和检查资料,我却糊涂了。这位患者的主诉是咳嗽,为什么这些资料却都是上腹部的检查项目呢?
“你不是说咳嗽吗?这怎么是肝胆胰脾超声呀?”对于这个问题我十分不解。
原来患者从一周前开始就出现了右上腹部隐痛、间断咳嗽,深呼吸和运动时加重。“这些都是昨天专家门诊要求检查的,也没有什么问题!”患者毫不在意的用手指着右侧肋部回答道。
患者的回答越发的让我糊涂了,既然专家门诊已经看过了,为什么没有进行治疗呢?
患者解释道:“我做完检查门诊已经下班了,后来我就回家了!”。
好吧,原来这位患者并没有完成就诊,专家也并没有看见他的检查资料。也就是说导致他不适的根本原因尚未明确,更不用谈所谓的输液治疗。
“你把上衣掀开,我看看到底是什么地方不舒服?”我必须要搞清楚患者到底是上腹部疼痛还是胸部疼痛。
果然,这位40岁的患者虽然口中说自己是上腹部隐痛不适,但是手指着的地方确实右侧肋部。更加让我坚信他并不是腹部疼痛的原因是:听诊右下肺部呼吸音消失!
导致他出现不适的原因会不会是右肺部感染、胸腔积液?
在生活中有很多患者是以上腹部疼痛为主要症状而就诊的,最后却被发现是肺部感染的原因。
“还是去做个肺部CT吧,搞清楚之后再输液也不迟!”患者很爽快的答应了我的建议。
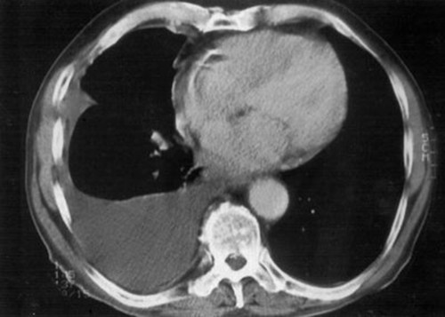
最后CT结果果然出现了阳性结果:右侧胸腔积液!

也就是说导致患者右侧肋部疼痛、间断咳嗽的根本原因是胸腔积液!
其实在人体的肺脏和胸壁之间有一个潜在的腔隙,在这个腔隙之中存在着一种动态平衡的液体,它起到润滑剂的作用。
无论是何种原因导致的这种液体生成过多或者吸收过少,就会导致胸腔积液!
而这种原因有很多,常见的是充血性心力衰竭、上腔静脉阻塞等可以导致胸膜毛细血管内静水压升高的疾病;胸膜肿瘤、胸膜炎等使得胸膜通透性增加的疾病;肾病综合征、肝硬化等可以使胸膜毛细血管内胶体渗透压降低的疾病;淋巴管阻塞等壁层胸膜淋巴引流障碍性疾病;主动脉瘤破裂等损伤性疾病;药物、手术等医源性疾病等。
出现胸腔积液后的临床表现会因积液速度、积液量以及个体的耐受程度不同而不同,总体来说会有不同程度的呼吸困难、咳嗽、胸痛。
我拿着这位年仅40岁的男性患者的胸部CT片子,认真的告诉他:“这恐怕并不是输液那么简单的事情了,你现在需要住院。住院的目的一是明确胸腔积液的原因和性质,二是要做胸腔穿刺等支持治疗。”
幸运的是他毫不犹豫的答应了我的建议,并且在入院第四天后就被确诊为结核性胸膜炎。
所谓结核性胸膜炎指的是人体在感染结核杆菌后胸膜出现的充血、渗出坏死、增生和纤维化等炎症性改变。

患者不仅会有反复发热、盗汗、乏力等全身性症状,也会出现胸痛、咳嗽、气短等局部症状。在治疗方面除了抗炎抗感染等对症治疗之外,还需要进行抗结核治疗。甚至如果患者出现了脓胸、包裹性胸膜炎、支气管胸膜篓等疾病时还需要外科手术治疗。
美小护说:“你还记得去年那个骂你没有医德的年轻人吗?”。
一年前我接诊了一位年轻20岁的年轻人,他因为胸痛、气短一周在来到急诊。我不仅没有满足他直接输液的要求,在检查结果出来后同样没有满足他输液的要求。
因为当时胸部CT的检查结果提示大量胸腔积液,而最可怕的并不是胸痛气短的症状,而是患者为什么会出现如此大量的胸腔积液?
我要求患者住院进一步治疗,但是患者却坚持门诊输液抗生素治疗。
我让患者去咨询别人或者网络查询对于大量胸腔积液是否能够通过单纯抗感染治疗而治愈,而患者却气急败坏的药投诉我,并且习惯性的骂道:“你们医生就是这么没有医德!”。
后来这位年轻人消失在了人海,而我再也没有遇见他。
阅读更多关于胸痛的故事,请点击下面链接:
胸痛系列(1):医生,我们聊12块钱的吧
胸痛系列(2):凌晨,医生掀开了他的上衣
胸痛系列(3)胸痛48小时,发热一日,都怪自己“肮脏”的手!
胸痛系列(4):我胸痛,夜里睡不着
胸痛系列(5):疯狂的胸痛病人!
胸痛系列(6):和邻居吵架后,她突然剧烈胸痛!
胸痛系列(7)她在KTV干了一件事,胸痛不适,深夜就诊
胸痛系列(8):胸痛三天,家人不以为意,老年凌晨来到急诊
胸痛系列(9)父亲心肌梗死,子女却要带他回家休息观察!
让更多人了解更多一点!
我的微信公众号:最后一支多巴胺
图片来自网络,如有侵权,请及时联系我!