点击右上角立即关注,更多健康内容不再错过,不定期惊喜送给你
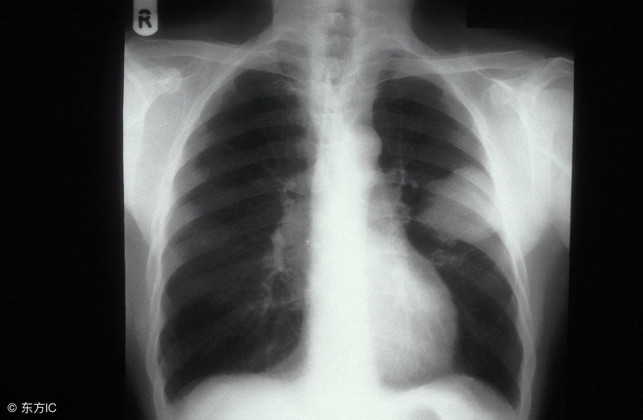
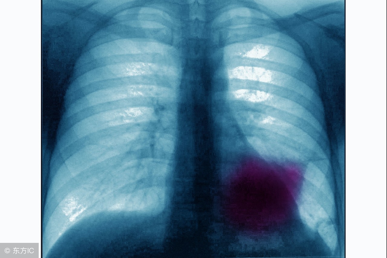
吸烟在生活中似乎成为一种常态,但是临床发现很多肺癌患者都有多年的吸烟史。肺癌给人们带来的危害极大,若是治疗不及时或是选择不适宜的治疗方法,都有可能会形成并发症,那肺癌常见并发症是什么?通过下面的介绍我们来了解一下。

(1)呼吸道并发症,比如:痰液潴留、肺不张、肺炎、呼吸功能不全等,其中,以年老体弱者多见,原有慢性支气管炎、肺气肿者,出现这些并发症的可能较高,因手术后伤口疼痛,患者不能做适宜咳嗽,痰液留积造成气道阻塞,肺不张,呼吸功能不全,预防在于病员能充分了解和合作,积极做好手术前准备工作,手术后鼓励督促其作深呼吸及用力咳嗽排痰,必要时可行鼻导管吸痰或支气管镜吸痰,并发肺炎者应积极抗炎治疗,出现呼吸衰竭时,常需机械辅助呼吸。
(2)手术后血胸、脓胸及支气管胸膜瘘。虽然发比例很低,但手术后血胸是种非常严重的并发症,一定要及时救治,必要时及时剖胸止血,肺部手术时,支气管或肺内分泌物污染胸腔而至脓胸,此时除选择抗生素治疗外,及时胸腔穿刺抽脓极为重要,效果欠佳者可考虑胸腔闭式引流,肺切除术后支气管残端癌存留,低蛋白血症及手术操作不当等可致手术后支气管残端愈合不良或形成瘘管,近年来此类并发症的发生已大为减少。

(3)心血管系统并发症:年老体弱,手术中纵隔与肺门的牵拉刺激,低钾,低氧及大出血常成为其诱因,常见的心血管系统并发症有手术后低血压,心律失常,心包填塞,心力衰竭等,对于老年病员,手术前已有心脏疾患,心功能低下者手术指征应从严掌握,手术者注意操作轻柔,手术后保持呼吸道通畅及充分给氧,密切观察血压,脉搏变化,及时补充血容量,手术后输液速度应慢速,均衡,防止过快,过量诱发肺水肿,同时作心电监护,一旦发现异常,根据病情及时处理,老年病员常伴有隐性冠心病,手术创伤的多种刺激可促使其急性发作,但在临床师严密监护和及时处理下是可以转危为安的。

由于肺癌的严重危害导致很多患者发现病情后就乱了方向,在治疗上也存在一定的误区,急于想恢复的患者很有可能轻信秘方、偏方,这样会延误病情,对患者的恢复很不利。中医药在肺癌的治疗上也很常见,通过辨证治疗帮助患者恢复健康。