作者:田瑞颖
尽管此前不少研究指出新冠病毒可能存在母婴垂直传播,但一直没有确凿证据。
近日,《自然—通讯》的一项最新研究指出,法国巴黎一家医院的医生报告了一起胎儿在母亲子宫内感染新冠病毒的病例。胎儿出生后患有脑肿胀及与新冠病毒相关的神经系统症,目前新生儿已康复。
该研究通讯作者、Antoine Beclere医院的医生Daniele De Luca认为:“此前的研究认为新冠病毒可能存在母婴传播,但这项研究提供了首个确切的证据。明确新冠病毒是否及如何感染胎儿,对于预防新生儿感染、优化妊娠管理,更好地了解新冠病毒意义重大。”
胎盘新冠病毒浓度最高
报道称,2020年3月,一名妊娠35周+2天的23岁孕妇收治于法国巴黎一家医院,入院前2天,该孕妇出现发热、痰多、剧烈咳嗽等症状。
经检测,该孕妇的血液、鼻咽拭子和阴道拭子中均证实存在新冠病毒E和S基因。该孕妇在确诊新冠病毒前妊娠状况良好,超声检查及常规检查均显示正常。
就在入院第三天,医生监测到III类胎心率,胎儿的这种 “疼痛迹象”很可能引起不良的新生儿结局。考虑到产妇的呼吸道症状,研究团队立刻对该孕妇在完全隔离且全身麻醉的情况下进行了剖宫产术。

武汉儿童医院普外科主治医师王海斌告诉《中国科学报》:“孕妇自身机体负担较重,尤其是心肺,感染新冠病毒后更容易对病毒不耐受,所以早期在武汉很多确诊孕妇提前剖宫产或终止妊娠。”
为保证所有病毒的潜在来源保存完整,研究团队在破膜前收集了清澈的羊水。研究团队通过病毒学和病理分析发现,羊水和胎盘组织中新冠病毒的E和S基因均呈阳性,并且胎盘中的新冠病毒浓度高于羊水和孕妇及新生儿血液中的病毒浓度。
研究人员还发现,胎盘显示的炎症表现与由新冠病毒感染引发的母体炎症状态一致。“新冠病毒正在引起明显的炎症反应,这表现为极高的病毒载量。”
Daniele De Luca说:“由于需要分析产妇的血液、羊水、胎盘及新生儿血液等等。在疫情期间,尤其是紧急情况下获得所有样本是很困难的事情。这也是人们只是会怀疑新冠病毒可能存在母婴传播,但却没有确切证据的重要原因。”
新生儿三周后自行恢复
该产妇随即产下1例出生体重为2540克的男婴,胎龄为35周+5天。为排除所有外在的“污染”,男婴在完全隔离的情况下被转移到新生儿重症监护病房。
在进入病房时,男婴的Sarnat评分、超声心动图和肺部超声、生命体征等健康参数均显示正常。医生在男婴进入病房6小时后进行拔管,拔管前取血进行毛细血管血气分析及血常规检查,结果显示均正常。
研究团队还在剖宫产1小时后收集了男婴的鼻咽拭子和直肠拭子,并在男婴出生第3天和第18天再次收集,均检测发现存在新冠病毒E和S基因。此外,男婴血液和支气管肺泡灌注检测结果也呈阳性。
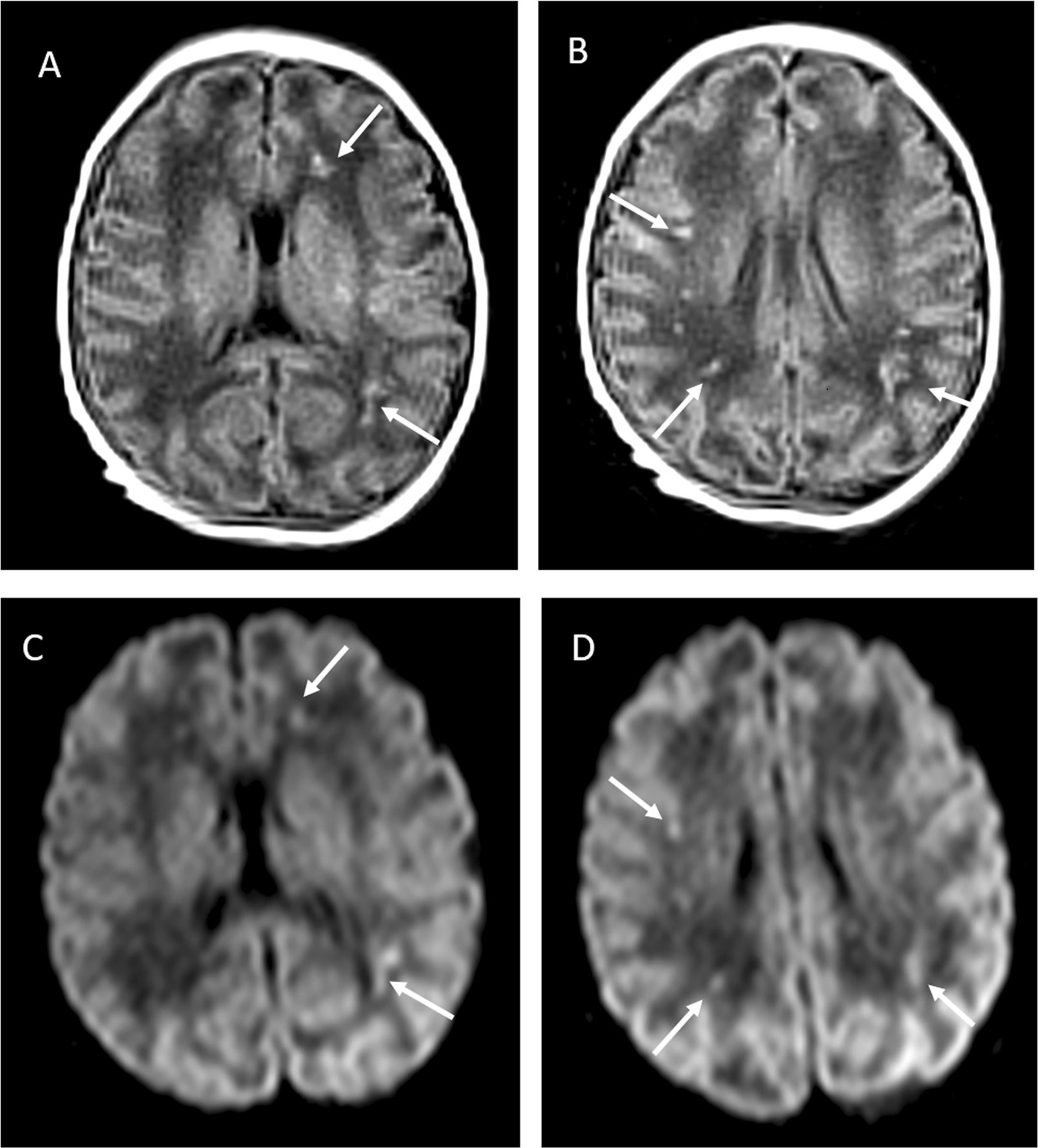
值得关注的是,男婴在出生后第3天,开始出现烦躁、喂养困难、肌张力高痉挛、角弓反张等症状。此外,男婴脑脊液(CSF)对新冠病毒呈阴性。
由于缺乏治疗新冠感染婴儿的临床指导,医生曾犹豫是否使用瑞德西韦,但男婴病症在3天内逐渐趋于好转,医生在男婴出生第5天采集的第二次脑脊液样本也显示正常,但是轻度张力减退和喂养困难仍然存在。医生在男婴出生后11天再次检测发现:男婴的核磁共振成像显示脑室周围白质和双侧额顶叶皮质下白质的高强度。

令人欣慰的是,最终在未接受抗病毒药物及其他特殊疗法下,男婴逐渐恢复,并于18天后出院,“几乎完全靠自己恢复了健康”。三个月后,他的母亲也没有了症状。
研究表明,根据男婴出生后近2个月的随访来看,男婴的神经系统检查和核磁共振成像显示进一步好转,生长及其他临床检查均显示正常。
“我们观察到一个真正在母体内感染新冠病毒的新生儿,而非‘污染’所致。”研究人员认为,“在此病例中,我们清楚地显示了该新生儿脑脊液中的神经系统症和炎症结果,由于新生儿没有受到其他病毒和病菌感染,神经影像学中表明的白质损伤可能是由新冠病毒感染引发的血管炎症引起,因为在成年患者中也发现了类似图像。”
值得注意的是,研究人员认为:“血管紧张素转换酶2(ACE2)是新冠病毒的受体,而它在胎盘组织中表达高,当母体病毒血症发生时,病毒到达胎盘,胎盘感染后导致新生儿病毒血症。”
研究人员说:“据动物数据显示,ACE2在胎儿或新生儿组织中的表达随时间改变,在妊娠结束和出生后的头几天达到峰值。”
王海斌解释道:“病毒在人体血液中出现具有一定时机性,妊娠后期孕妇针对新冠病毒免疫能力不够强,不能及时清除血液中的新冠病毒,降低血液内的病毒量,进而形成病毒血症。而早期感染新冠病毒的孕妇大多可以由自身免疫力清除病毒,这就像后期新冠病毒复阳的患者,虽然有病毒核酸排出但是分离不出活病毒。”
“我们提供了一个全面的病例研究,证明在妊娠最后几周,新冠病毒可以经过胎盘传递给胎儿,并且该新生儿具有与新冠病毒感染相关的神经学临床症状。”研究人员认为,“但是,目前还没有确切的文献资料证实妊娠早期,新冠病毒对胎儿的传播和影响”
罕见事件 不必恐慌
Daniele De Luca表示:“新冠病毒可以通过母婴垂直传播这一坏消息确实发生了,但从全球范围来看,这种事件是非常罕见的。”
据路透社消息,牛津大学孕产妇和儿童人口健康教授Marian Knight对此表示:“这是个有趣的病例,但对孕妇而言应该不是什么大问题。在成千上万感染新冠病毒的孕妇所生的婴儿中,能够检测出新冠病毒呈阳性的不超过1%或2%,不必恐慌。”
“胎儿通过母体感染新冠病毒非常罕见,女性可以放心,怀孕对她们和胎儿都不是重要的风险因素。” 伦敦国王学院妇产科教授Andrew Shennan对此表示赞同,“从英国244例由感染新冠病毒母亲所生的婴儿数据来看,95%的胎儿没有感染新冠病毒的迹象。”
此前,中国工程院院士、北京大学第三医院院长乔杰曾对媒体表示:“孕产妇感染新冠病毒后能产生IgG抗体,该抗体可以通过胎盘传给胎儿,胎儿出生时就具有了此抗体,该抗体具有保护性,所以从现在分娩的新生儿来看,总体上都比较安全。”
“产生抗体不能作为感染指标,判断是否感染新冠病毒还需要有症状并检测出病毒核酸。”王海斌对此补充道,“新生儿通过母婴垂直传播感染新冠病毒需要严格的条件,一般来说,感染新冠病毒形成病毒血症的孕产妇较少,血液中病毒载量低,因此新生儿这种感染风险远低于出生后由生活环境导致的感染。”
中国科学院院士、上海交通大学医学院附属国际和平妇幼保健院院长黄荷凤在接受《中国科学报》采访时曾表示:“对于新冠肺炎的孕产妇分娩后,新生儿有被诊断为新冠肺炎或者疑似新冠肺炎的,除了母婴垂直传播的可能外,生产过程中被感染的可能性亦比较大,因为新生儿出生后裸体暴露在新冠肺炎的环境中。”
对此,黄荷凤建议:“新冠肺炎的孕产妇分娩后,新生儿应立刻离开分娩的环境,应用隔离装置或隔离箱转运,减少新生儿被感染的几率。”
相关论文信息:https://doi.org/10.1038/s41467-020-17436-6