前言: 明天二宝生日,又是即将过年了,给大家放个大招!我们要判断肺部结节或肿块是不是良恶性,已经有一定的难度,虽然在经验丰富的医生可能能达8-9成准确。如何总结分析肺结节是浸润性腺癌时的具体病理类型,在术前有个基本的判断,这需要我们反复的阅片、总结、修正、再总结、再修正!今天趁着年前,我把自己的经验毫无保留的与你分享,只为对你有所帮助!下面我们选择各种常见类型的肺浸润性腺癌,取一例典型的分析其影像特征(为了节省时间,我只选取其中一幅图像作标记,并说明其影像特征):
一、浸润性腺癌贴壁生长型:



影像特征:肺内 纯磨玻璃结节,几乎不见实性成分 ;瘤肺边界清楚,紫色箭头示局部有细毛刺征;绿色箭头示有血管进入病灶;总体密度较低,轮廓清楚。要注意的是:贴壁生长型肺浸润性腺癌可以在2-3厘米或以上,也可小到亚厘米程度,密度高低可以有所区别,有时与原位腺癌、微浸润性腺癌、不典型增生等在影像上有交叉,不能完全仅凭影像百分百区别。但总体上,恶性程度低,预后好。



二、浸润性腺癌贴壁生长为主伴腺泡状生长型:



影像特征:与单纯贴壁型的区别是其 纯磨玻璃结节内部出现实性成分 ,但较少,密度高的部分密度不均匀,相对较散在,再加上瘤肺边界清楚、细毛刺状边缘、血管进入、整体轮廓较为清晰。上图绿色箭头示血管、紫色示边缘锯齿状。此型一般与原位腺癌或微浸润性腺癌交叉较少,有时慢性炎伴纤维增生可能会有类型改变,但纤维增生不容易在病灶中央,所以误诊较少,也相对容易与AIS与MIA区分,不典型增生不大有这种表现的。


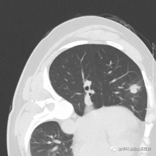
三、浸润性腺癌腺泡型:



影像特征:浸润性腺癌腺泡型的表现,已经是较为典型的恶性,整体上基本是实性密度,但腺泡型的腺癌,其收缩力弱,胸膜凹陷或毛刺征少见,最主要的特点是 密度不均的实性结节 ,边缘可略模糊,但整体病灶的轮廓比较清楚,感觉在正常肺组织区域比较突兀的出现一个实性病灶,缺乏平常认为的空洞、毛刺、分叶、牵拉等典型肺癌的影像征。此型有时与慢性炎或肉芽肿可能会不易区分,适当抗炎治疗后复查对比可能是可以选择的方案之一。


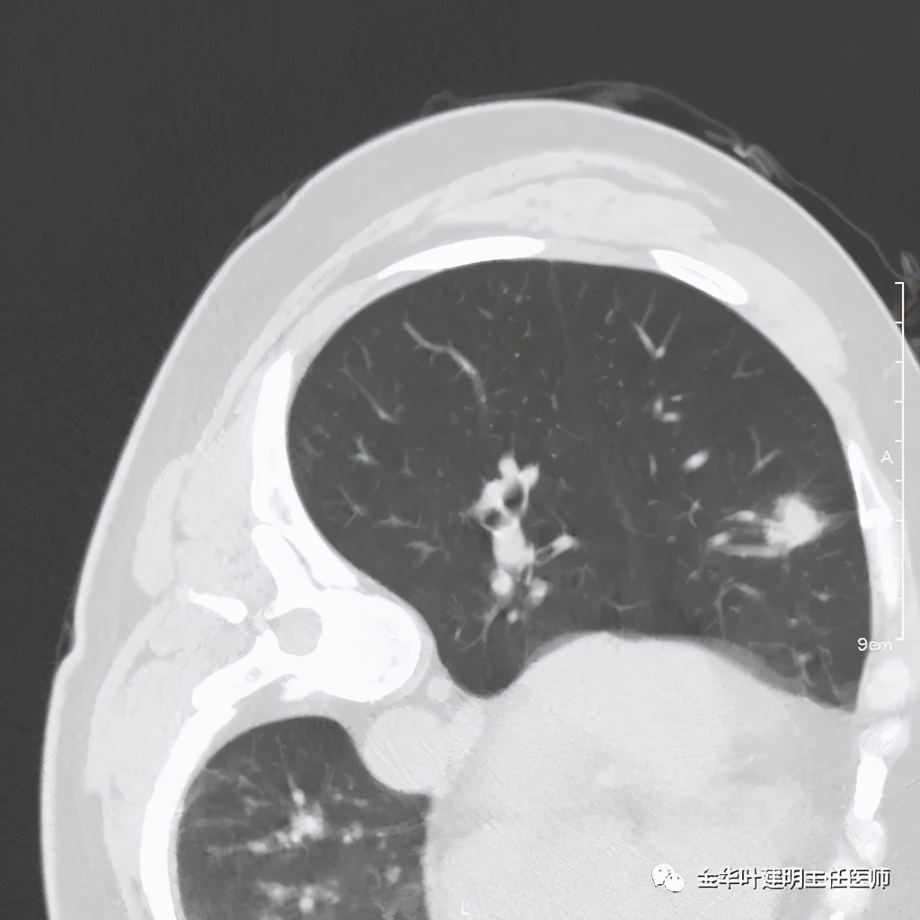
四、浸润性腺癌贴壁伴恶性度较高的实性成分:






影像特征:浸润性腺癌的贴壁生长型若伴有乳头、微乳头、实体型等成份时,更是典型的恶性的特征。此例是贴壁占60%,乳头成分占40%。我们来看其特点:桔色箭头示磨玻璃成分(代表贴壁生长部分),中央是实性成分(代表乳头生长部分),而且实性部分有收缩力(病灶向中间拉的趋势),密度高的部分又其内部密度不大均匀,毛刺也是长短不一。也就是说: 混合磨玻璃结节伴实性部分的收缩力 是其最显著的特点。实性部分若是实体型,也一般是类似表现。预后情况主要看实性成份的占比及亚型,因为贴壁成分是恶性度不高的,但若位微乳头或实体型,那便预后会差一些。也比腺泡型差。





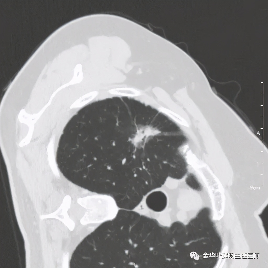
五、浸润性腺癌之粘液腺癌:


影像特征:这个病例是我在术前仅凭影像就判断其为粘液腺癌,术后确诊的。粘液腺癌表现为 实性乏收缩力、密度较均匀 的实性结节。病灶的边界一般非常清楚,没有毛刺、磨玻璃、卫星灶等,但又乏收缩力,像本例紧贴胸膜也不会有牵拉凹陷;同时病灶的密度又比较均匀(粘液成份)。良性肿瘤密度要更高些、慢性炎没有这么光整的边界,也容易有瘢痕收缩方面的影像表现、其他实性的腺癌则要有收缩力、腺泡型虽然也缺乏收缩力,但密度要不均匀些。




六、神经内分泌癌(此例为不典型类癌,小细胞癌以后再总结):

影像特征:不典型类癌一般圆形生长,实性,边缘比较光滑,但硬度不够。侵蚀力也不够。就像这例,我们发现其与肺动脉接触的地方,居然无法推压血管,反而肿瘤被血管占据了其生长的位置,在支气管内,肿瘤也是对支气管壁没有造成明显的破坏。也就是说 圆形边清较软、侵蚀力弱的实性结节 要考虑类癌的可能性。


七、浸润性腺癌的其他型:

上图病例为实性,病理上实体型占80%,腺泡型占20%

上图此例也是实性结节,病理报告:实体型伴神经内分泌;

上图此例的实性肿块,病理是:微乳头为主,部分实体型,当时没注明占比;

上图此例实性结节,是实体型,我们发现其影像特征: 病灶有浅分叶、细毛刺、支气管截断征、膨胀性,密度高而密 (比腺泡型实、比粘液癌高、比鳞癌或小细胞癌更具膨胀性)。
但是上面这几例,因为不管怎样的组合,都是实性密度+实性密度,这时仅从影像上就非常难以判断具体的亚型,不过,我们要根据相关的影像特征判断它为恶性,而且该尽早取得病理依据,能手术的要抓紧、不能手术的也要穿刺等得到病理类型的确诊后积极治疗,这就够了!
好了,以后如有更多的病例,能总结出更佳的经验时再与你分享。我们的目的是分享经验让同为胸外科医生的你少走弯路,更好的为肺结节病人服务!
(此处已添加医疗卡片,请到*今条头日**客户端查看)