厚嘴唇子近年来在美妆圈很受欢迎,被认为是性感、高级的象征。

图自:网络
可如果哪天你家猫咪也拥有了厚厚的嘴唇,你就要引起注意了。

图自:petsoverload
这可能是猫咪患上了EGC(嗜酸性肉芽肿复合征)!
它有时能一夜之间让猫咪变成“香肠嘴”:

图自:猫研所@猫医生
有时又十分轻微,很容易忽略:

图自:mountainviewveterinary
是什么原因导致的猫咪“香肠嘴”?
引发猫咪“香肠嘴”的EGC全称叫 嗜酸性肉芽肿复合征 ,是 几种皮肤问题的总称 ,常见表现分为三种:
① 肉芽肿
· 发病部位通常在下嘴唇;
· 会出现丘疹或者结节;
· 若没有混合别的感染,通常不会瘙痒。

正常:嘴唇没有鼓起 中间的点是色素沉着

异常:下嘴唇肿起 是EGC 图自:猫研所社群@社员A、雪碧
除了常见的下嘴唇,有时也会长在上嘴唇上:

典型下嘴唇

病典型上嘴唇 图自:allaboutcats/nhvpethealth
除了嘴唇,肉芽肿有时也可能长在猫咪的口腔内、大腿、爪垫上。
② 斑块
· 常见于大腿内侧,下腹部这些皮肤薄弱的部位;
· 会出现边界比较清楚的红斑;
· 非常瘙痒,猫咪可能会因此频繁地抓挠或舔舐这个位置。

图自:引文[1]
③ 无痛性溃疡
· 常见于猫咪嘴唇边缘;
· 发病部位可以看见边界清楚,大小不一样的溃疡;
· 按压溃疡处没有疼痛感,也不会瘙痒。

图自:引文[1]

图自:贝康动物医院@周医生
医生如何诊治?
EGC是几种皮肤病总称,因很多皮肤病的现象比较相似,所以需要做具体鉴别诊断。
● 需鉴别的可能疾病。 包括毛囊炎(黑下巴)、猫癣、外伤、肥大细胞瘤、鳞状上皮癌、淋巴瘤、红斑狼疮等。
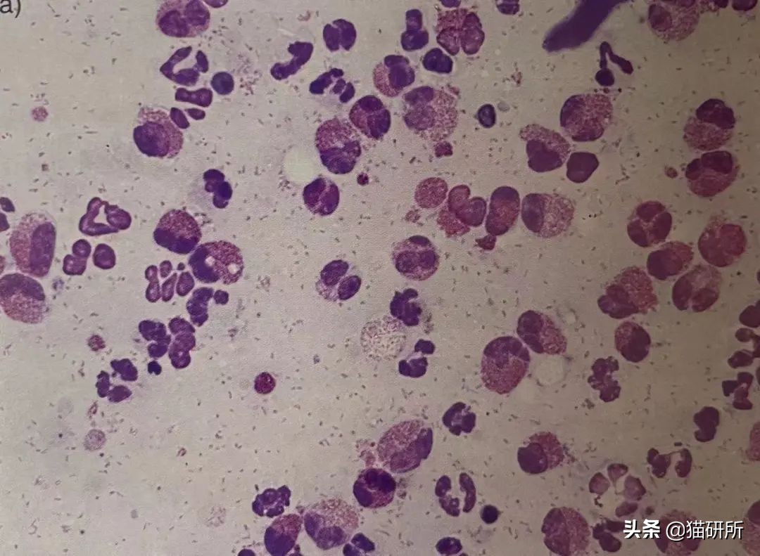
● 医生诊断。 医生会了解猫咪的年龄、生活环境、驱虫状况、疾病表现等,并对猫咪进行体格检查、血常规、皮肤细胞学检查。极特殊的情况可能需要做组织病理学检查,排除肿瘤等疾病。

皮肤细胞学检查,显微镜下可见嗜酸性粒细胞 图自:引文[4]
● 是否需要治疗
□ 轻度的EGC无需用药 ,在尝试改善生活环境后2-3天内,可能会自行好转。(EGC在临床上并不属于急重症,短期内暂无生命危险)
□ 若没有自行好转,或严重的EGC 导致较大的肉芽肿、溃疡、明显的瘙痒...会影响猫咪的生活质量时,仍 需及时治疗。

轻症无需用药,但需密切关注

明显肿胀,需尽快治疗 图自:猫研所社群@社员B、正八
● 治疗手段
✔ 用药第一梯队(糖皮质激素): 常用 泼尼松龙 ,通常剂量为1-2mg/kg 一天一次,症状改善后逐渐减量。
✔ 用药第二梯队(免疫调节剂): 常用 环孢菌素 ,5mg/kg 一天一次,持续治疗4周,而后逐渐减量。在使用泼尼松龙效果不佳时可采用。
✔ 其他药物: 地塞米松 、 苯丁酸氮疥 等,但实际用得比较少。
(长期使用上述药物需定期检查血常规、生化等,监控是否引起骨髓抑制,及时调整治疗方案)
✔ 如果还混合感染了真菌、细菌等,同时还会叠加相应的抗菌药如 汉肤欣 、 速诺 、 宠立维 等治疗。
✔ 手术治疗: 体积比较大的肉芽肿,已经影响到猫咪的生活时需进行手术切除。
❗ 需要注意:需确诊后再用药,以防漏诊和误诊;药物要在医生指导下使用。
猫咪为什么会得EGC?如何预防?
● 可能原因
其中 过敏为最常见原因 ,另外 疾病 (螨虫、真菌、病毒感染)和 遗传 也是较常见原因。
过敏包括:蚊子、跳蚤叮咬引发过敏;食物中的某些蛋白质、霉菌、螨虫过敏;粉尘、植物等环境过敏。
● 如何预防
以降低猫咪过敏几率作为主要预防手段。
✔ 按时驱虫。 尤其是寄生虫频增的季节(常规驱虫频率一个月一次外驱,3个月一次内驱)
✔ 尝试补充鱼油。 2011年兽医免疫病理学刊登一研究表明:鱼油可能会有利于皮肤屏障建立及减少炎症反应。
✔ 积极寻找潜在的引起猫咪过敏的原因并改善。 做好防蚊驱虫、勤通风注意环境卫生、定期清洁和消毒被褥及猫窝玩具等、排查猫咪是否存在食物过敏。

【今日所长互动】
你见过你家猫咪什么嘴部异常吗?
//////////
资料来源:
[1] Buckley L , Nuttall T . Feline eosinophilic granuloma complex(ities): some clinical clarification.[J]. Journal of Feline Medicine & Surgery, 2012, 14(7):471-481.
[2] Hopke K P , Sargent S J . Novel presentation of eosinophilic granuloma complex in a cat[J]. Journal of Feline Medicine and Surgery Open Reports, 2019, 5(2):205511691989154.
[3] Park H J , Park J S , Hayek M G , et al. Dietary fish oil and flaxseed oil suppress inflammation and immunity in cats[J]. Vet Immunol Immunopathol, 2011, 141(3-4):301-306.
[4] Norsworthy G D . The Feline Patient[M]. Wiley John + Sons, 2021.

责任编辑:LNS 本文为猫研所原创,谢绝任意转载