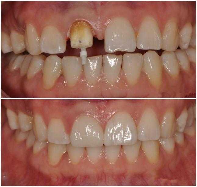
以缺一颗牙齿为例,用固定桥的方式修复,两边牙齿各包一个牙冠带着中间一颗假牙,相当于三个联体冠,选择全瓷冠修复,每颗价格在2000~3000元作用,以2500计算,3颗是7500元;种一颗牙,韩系种植系统+2500元的全瓷冠,价格差不多7000元左右。这种情况是不是选择种植牙更省钱!

当然如果修复冠选择几百到1000多的烤瓷冠,那么还是镶牙更便宜!所以在选择修复方式时,最贵的也未必是最好的,最合适的才是最好的。
每个人的牙齿缺损都不同,千种万样,为简化讨论,下面就单论一颗牙齿的情况,跟大家聊一聊该如何选择修复方式。
如果牙齿残冠或者是残根,但还有保留价值,那么一定要保留住,不要轻易拔掉!经过完善根管治疗后,打桩做冠,这也是镶牙,不用磨两边牙齿,也无需种牙。

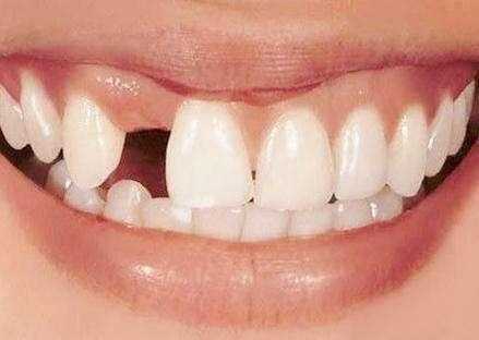
如果牙齿完全缺失了,那么目前主要有三种方式来修复:固定义齿修复、活动义齿修复、种植义齿修复。先简单介绍一下这三种方式:
固定义齿就是把两边牙齿各磨掉一层,然后在两边牙齿各包一个牙冠,带着中间一颗假牙,也称“固定桥”。使用方便、舒适,咀嚼效率较好,缺点就是要磨两边的健康牙齿。

活动义齿,在两边牙齿挂钩子,带着一颗假牙,可以自行摘戴。两边牙齿只需磨一个小凹就行,磨牙量比较少,价格也比较便宜,缺点就是每天都要摘戴冲洗,比较麻烦,舒适度及咀嚼效能偏低,不够美观。

种植义齿,就是在缺牙区牙槽骨内植入一颗植体,当植体与骨完全愈合后,再在植体上面做一颗牙冠。美观、舒适度及咀嚼效能要好于固定桥,缺点就是治疗周期较长,一般需要3~6个月,价格偏高。

又到了老生常谈的问题了,该选择哪种方式呢?具体问题具体分析,还是以缺失一颗牙为例。
1、如果缺牙区两边牙齿都是健康牙齿:三种修复方式都可以,但是不建议固定桥修复,因为要磨健康牙齿真的很可惜!种植义齿是首选,但是如果经济条件不佳,能够习惯活动义齿的摘戴,或者因身体、精神等方面原因不能耐受种植手术,再或者不能等待种植牙的长周期,那么可以选择活动义齿修复。

2、如果缺牙区两边牙齿已经做过根管治疗或者大面积缺损,单纯补牙无法修复,那么固定桥修复会比较好,毕竟两边牙齿都是需要包牙冠的,可以把三颗牙齿做一个联冠,一起修复就可以了。如果上前牙缺失,而又对美观要求比较高,那么种植会好一些,因为固定桥是三颗连在一起的,没有天然牙缝,美观效果会打折扣,可以选择两边牙齿单独包冠,缺牙区单独种一颗牙。

3、如果缺牙区两边牙齿有松动,那么不能用固定桥修复方式了,可以选择种植义齿和活动义齿修复,这两种的选择参照上面第1条。
4、如果是最后一颗牙齿缺失,固定桥修复也不能用,因为缺牙区后面没有牙齿了,就达不成桥的结构了。只能选择种植义齿和活动义齿了。

5、如果患者接受不了活动义齿的摘戴麻烦或者耐受不了不舒适的异物感,那么只能从固定义齿和种植义齿修复上考虑了。
6、如果患者因为各种原因无法接受种植手术,那么只能考虑固定义齿和活动义齿修复了。
7、如果患者不能接受磨切健康牙齿,那么就考虑种植义齿和活动义齿了(活动义齿要磨少量牙体组织)。
通过上面几点,不难看出固定桥修复的适应症范围最小,其次是种植义齿,适应症范围最广的是活动义齿。从使用效果上来讲,最好的是种植义齿,其次是固定义齿,最差的是活动义齿。所以要选择哪种修复方式,要考虑三种修复方式的适应症、价格、修复效果、以及自身条件和接受程度。

上面仅是讨论缺失一颗牙的情况,不能以偏概全,那缺两颗牙、三颗牙或者更多牙齿缺失呢?所以在临床上,牙医会根据患者的具体情况,会给出多种治疗方案,再跟患者沟通交流,选择一种最合适的修复方式。还是那句话,最贵的未必是最好的。#真相来了#