我们手术组曾为一例右肺中叶中央型肺癌(鳞癌)的患者施行了“全胸腔镜下右肺中下叶切除+淋巴结清扫术”。值得大家交流学习的是该患者从影像上看不是典型的肺癌,正是由于我们医院相关医务人员的细心才使患者得到了及时的诊断与治疗。
患者陈某,金华人,前一年的11月份因外伤到医院检查胸部CT时,发现右肺中叶异常,以下是CT图片与报告:
胸部CT:右肺中叶及下叶慢性炎症,部分支气管管腔略变窄,建议复查。

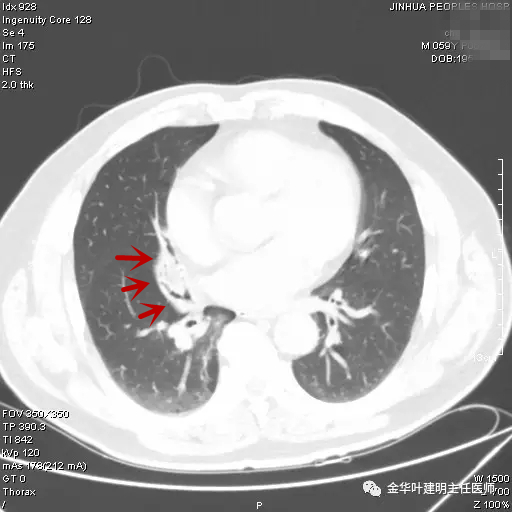
图一示:第1次胸部CT时的肺窗

图二示:第1次胸部CT时的纵隔窗
当时嘱其短期复查。后于次年的3月份回院来复查,CT表现如下图:

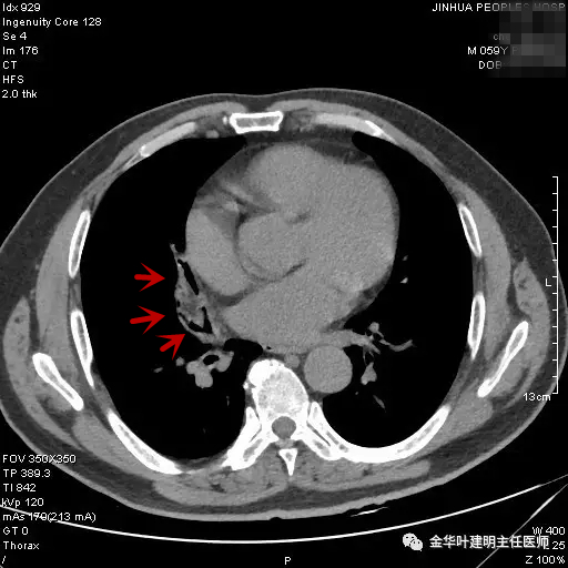
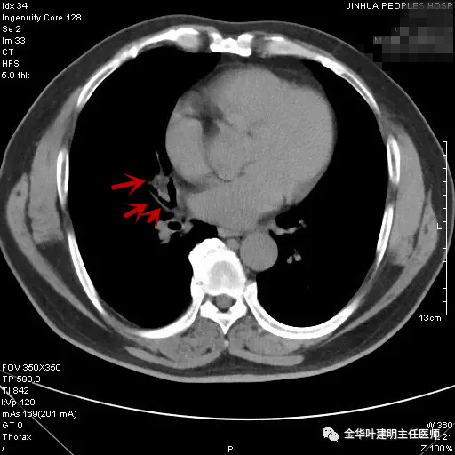
图三示:次年3月时复查的胸部CT肺窗

图四示:次年3月时复查的胸部CT纵隔窗
可见病灶与4个月前的影像表现相仿,并无明显改善,也无显著进展。但呼吸内科及胸外科医生没有局限于现有的诊断,因为其4个月以来,病灶没有任何好转,中叶支气管壁毛糙,仍怀疑不一定仅慢性炎症,需要进一步检查。经过与患者沟通后,决定行纤维支气管镜检查。结果正如医生所担心的,纤支镜提示:右肺中叶可见草莓样新生物,中叶开口粘膜累及 。活检病理:鳞癌。遂经过术前准备,排除手术禁忌证后,转来胸外科由叶建明与谭海栋为其进行了全麻下“胸腔镜下右肺中下叶切除及纵隔淋巴结清扫术”,手术顺利,术后病理示:右中叶中分化鳞癌,累及中叶支气管开口,中间支气管切缘阴性,纵隔淋巴结未见癌转移。
从这例病人,可以看出,影像上支气管慢性炎症表现的病灶,仍需警惕恶性肿瘤的可能,短期复查无改变好转的要及时纤维支气管镜检查,以免遗漏肺癌。