生活中,牙齿出现酸软,是什么原因引起的?要怎么解决?今天我就来给大家支招!
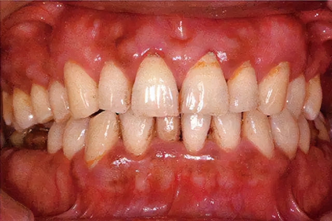
1、全口牙齿酸软
如果你的牙齿是属于全口不同程度酸软的话,那么你很可能是患有牙周炎。因为,患有牙周炎的人群,牙槽骨被吸收后,牙根暴露在口腔内后,进食酸甜食物就会非常容易出现牙齿酸软的问题。
这种情况,建议及时进行牙周治疗,控制牙周炎的进展。

2、前牙区酸软
门牙酸软一般是因为楔状缺损造成的。不正确的刷牙方式容易导致牙齿颈部出现一条锲状缺损,牙神经爆了,于是很容易出现牙齿酸软的情况。
这种情况,建议检查后根据缺损情况进行普通修补或者根管治疗后再修补。

3、单颗牙齿酸软
如果牙齿酸软是确定在某一颗牙齿的话,那么有两种可能:
- 牙齿龋坏造成的,牙齿龋坏后,牙齿硬组织缺损后牙本质暴露,进食食物的时候就容易出现牙齿酸软的情况。
这种情况,建议及时进行去腐后修复即可。

- 牙齿隐裂造成的,牙齿隐裂后,触达牙本质,饮食时容易出现牙齿酸软的情况。
这种情况,建议及时检查后,确定隐裂程度,根据严重程度进行抗敏治疗或者牙体修复治疗。
