地球上最原始的动物是通过无性繁殖,无性繁殖相比于有性繁殖具有更大的便利性,没有雄性追求异性的繁杂,不需要依赖任何人便可以繁育出下一代,无需像有性繁殖那样花费所大量的精力,所以无性繁殖一直是地球上最初的生物繁殖形式。

然而物种的无性繁殖会带来进化的瓶颈,因为无性繁殖所产生的后代基因与母体基本完全一致,他们的体态也就几乎一模一样,物种进化缓慢,如果物种无法通过进化适应外部不断变化的环境将很容易导致灭绝,于是后来有性生殖产生了,催生出了性,人类也是有性繁殖的物种之一。

人类对性总是充满着好奇与幻想,但在谈论性问题时,人们总是有所逃避,认为性是污秽、低贱的,然而性本能是有性生殖动物的基本本能,它承担着繁育后代的使命,性并不代表色情,性可以说是生物进化的一个伟大艺术。

但遗憾的是,一直以来人类对*行为性**的了解十分有限,为了更加深入的了解人类发生*行为性**时身体到底发生了什么变化,在1991年,来自荷兰格罗宁根大学医学部的科学家Weijmar Schultz做了一个这样的实验:
Weijmar Schultz首先通过个人邀请以及当地的一个科学节目进行招募志愿者,最后参与实验的一共有8对夫妇以及3名单身女性,共进行了13项实验,所有参与实验的人员信息会全部进行保密。
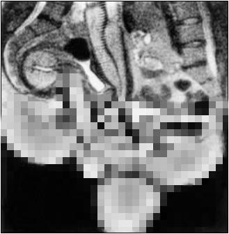
利用核磁共振成像技术研究了啪啪过程中女性以及男性的生理反应,并观察了男女私密处在这个过程中的变化,
为了更好地实现整个实验过程,Schultz使用了空间更大的核磁共振设备,设备空间直径达到50cm,在核磁共振成像下,人体内的所有生理变化几乎能够一览无余。


13项实验的实验数据
研究发现,在正常情况下,人体一分钟的心跳次数为60-100次,而在啪啪过程中,心跳会比正常情况下稍快,但如果你不是一位“新司机”的话,也并不会出现狂跳不止的情况。


心跳变化
另外人的呼吸频率也会加快,血压也会有所上升,身体肌肉会不断收缩,代谢速度加快,耗氧量上升。

肺部变化
而在对男女啪啪过程中私密处的研究结果与往常却有所不同。在这之前,人们通过使用超声波以及肉眼对女性高潮进行研究,发现女性子宫在啪啪过程中会瞬间增大50%~100%,而在使用核磁共振的研究结果表明,女性的子宫大小并没有变化,只是位置会2.4cm左右。

女性子宫变化,只截取部分画面
在对男性私密处研究发现,男性丁丁在啪啪过程中既不是原来所猜测的成笔直状也不是成S型的,而是呈120°左右的回旋镖型结构。

已打码
该项试验证明了在啪啪过程中对男性和女性生殖器进行磁共振成像是可行的,在这之前研究*交性**行为和女性性反应过程中的解剖学变化一直是极其困难的,而这项研究能够有助于人们更深入的理解人体解剖结构,毕竟人类对于性的研究是在是太少了。

在1999年,这篇研究论文被发表在著名的学术期刊《英国医学期刊(BMJ)》上(新英格兰医学杂志(NEJM)、柳叶刀(Lancet)、美国医学会杂志(JAMA)、英国医学期刊(BMJ)被称作是“四大顶级医学期刊”),Weijmar Schultz也因为这篇论文在第二年获得了搞笑诺贝尔医学奖。这篇研究论文直至今日,*载下**量以及受欢迎程度也一直处于论文排行榜前列。

最后
性是动物的一项本能,人类对于性的理解应该更加单纯、自然,我们也不必要过于掩饰与逃避,而这项科学研究也是科学们被人类性的艺术与科学的好奇所驱动的,这看似疯狂的实验,实际上是科学家们对未知世界的探索,当我们对事物的认知水平不断提升时,我们才有可能去改造这些事物,从而推动科学的发展。