夏日来临,气温高,雨水多,湿度大,人体也积聚了许多湿气,带来诸多不适。李氏砭法虎符铜砭刮痧是以中医学理论之八大理论为基础,运用虎符铜砭通过徐而和的手法在人体皮部上刮痧,通过守气、候气、调气等气机的变化调动人体阳气治病,扶正祛邪,以通为治,以通为补,以通为泻,以通为健的一种操作的治疗方法。
黄铜与身体有着非常好的共振频率,通过在皮肤的刮拭,可以产生超声波,以导气、照气入肌肤、血脉、脏腑,通过四井排毒,排出大量的黑痧、人体血液的毒素,缓解不适效果显著。因此越来越多的朋友选择此项治疗。
究竟“李氏砭法虎符铜砭刮痧”有着怎样的“魔力”?我们一起通过案例来了解一下吧!
01
简要病史

患者一月余前无明显诱因下出现头晕伴双上肢痹痛,部位以双侧颈肩部至三角肌处为主,诉午后易乏力,无天旋地转,无恶心呕吐,无会阴区麻木等不适,夜眠差,二便可。


颈部生理曲度变直,活动稍受限,颈、肩部肌肉稍紧张,其中双侧颈肩部至三角肌处痛点明显。左侧椎间孔挤压试验(+)
肌力、感觉、反射:未见异常
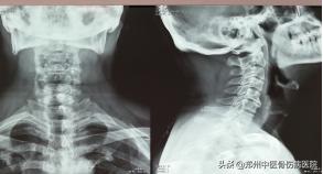
辅助检查:颈椎MRI:C3/4--C5/6椎间盘退行性病变
该患者部位以双侧颈肩部至三角肌处为主,为手太阳小肠经的循经路线,诉午饭后易乏力,手太阳小肠经气血流注时间为13:00-15:00,说明小肠有问题。
该患者损伤筋骨,颈痛,上肢疼痛,证型为气滞血瘀,不能行气血而发,舌暗红,苔薄白脉弦,为气滞血瘀之象。
治疗方法:以李氏砭法的通论,谿谷论脊柱中心错位疾病理论、四井排毒贯穿其中,通经活络,祛风止痛。
治疗方案:
1、开四穴: 大杼、大椎、膏肓神堂,扶阳滋阴养血安神。
2、开阳脉: 督脉、夹脊穴、膀胱经
3、刮颈椎颅底神经丛力求刮透
4、颈部:风府--大椎
天柱--大杼
风池--肩井
安眠穴,椎动脉,颈动脉
5、肩部:大椎--肩井--肩髃
大杼--天醪--肩醪
天宗穴
6、手太阳小肠经,刮至手指末端
7、明阳二跷脉补一身之气。复溜、太溪、照海穴是重点






刮痧过程中:颈椎颅底神经丛刮透后,颈后项直接出黑痧,双肩可刮出大片血肉之痧。手太阳小肠经可刮出大片条索样疙瘩和紫包。阴阳二跷脉磨出黑痧。
刮痧后反馈:刮完后双上肢VAS评分由6分降至2分,剩余的2分是刮痧后的痛, 精神状态佳,诉全身轻松自在。
看完案例迫不及待想刮痧?别着急,看完下边再决定!
适应症:
李氏砭法适应症广泛,渉及急证、痛证、心脑病证、肺系病证、肝胆脾胃病证、肾膀胱病证、气血津液病证、皮肤外科病证、妇儿科病证、五官病症等各科病证。尤其以解决疑难杂症居多。
01
急证:如晕厥、虚脱、昏迷、抽搐、内脏绞痛、中暑等
02
痛证:头痛、面痛、牙痛、咽喉肿痛、项痹、腰痛、胃痛、关节扭伤、纤维肌痛综合征
03
心脑病证:中风、眩晕、颤病、郁病、癫狂、面瘫、心悸等
04
心脑病证:中风、眩晕、颤病、郁病、癫狂、面瘫、心悸等
05
肝胆脾胃病证:黄疸、鼓胀、痞满、呕吐、呃逆、便秘等
06
肾膀胱病证:水肿、淋证、癃闭、阳痿、遗精、*泄早**、不育证等
07
气血津液病证:肥胖病、消渴、瘿病等
08
皮肤外科病证:斑秃、*褐斑黄**、粉刺、痄腮、乳痈、丹毒、肠痈等
09
妇儿科病证:月经不调、经前期综合征、围绝经期综合征、闭经、不孕证、小儿遗尿
10
五官病证:目赤肿痛、麦粒肿、近视、黄斑变性、耳鸣、鼻渊等
禁忌症:
01
饱腹或者太饥饿,不宜刮痧,醉酒者禁刮
02
怀孕者不能刮别人,也不能被刮
03
哺乳期者可以刮别人,不能被刮,若实在需要被刮,被刮后五天内不能哺乳
04
糖尿病坏蛆到发黑水肿一碰就破的溃烂状态不适合刮痧
05
石门穴,乳头,阴部禁刮
06
身体虚弱正气不足者,不适合给别人刮痧
07
长期下焦不通如便秘者慎刮腹部穴位以防气逆上行,心肺功能衰竭
天气太热不想出门?也别着急,这里有好办法!
为避免医院挂号、开单、等待等问题,节约就诊时间。我院全力推进“互联网+网约护士”项目,自5月12日项目启动以来,就收到诸多预约。
此项目不仅发挥医院的专业技术优势,把优质护理资源下沉,惠及百姓。同时确保护理服务全程留痕、可追溯,保障互联网医疗服务公平性、安全性、有效性、经济性,促进我市互联网医疗服务健康、有序、可持续性发展。
护理人员严格遵守相关制度,发挥专业技术优势,用真诚的服务、热情的态度为广大市民服务,以促进全民身心健康。目前开展的中医项目受到广大市民好评!






更多福利,不看后悔!
为了让更多朋友体验便捷、专业的护理服务,推进“冬病夏治”工作,我院特于7月1日-8月24日期间在“互联网+网约护士”平台发放大量优惠券!冬病夏治,扶正祛邪,强健体魄,刻不容缓!快来预约吧!
互联网+网络护士操作流程
1.打开微信,搜索“郑州中医骨伤病医院”,关注该公众号,点击下侧导航“便民服务”,选择“网约护士”,进入小程序。
扫码关注
为您护航


2.进入小程序首页,点击“立即申请”,按照提示,注册账号。

3.注册登录后,选择您需要服务的项目,点击即可。

4.选择服务项目后,填写您的服务地址和服务对象信息,然后点击购买。

5. 支付服务费后,您只需居家等候护士上门护理服务即可。

郑州中医骨伤病医院“互联网+网约护士”服务,为您提供专业、贴心的居家护理服务!如有需要请致电 0371——66777769/66728288 咨询!
温馨提示:
建议到正规单位经由医生明确诊断后再进行刮痧治疗!治疗过程中如有不适,请及时就诊!