高烧不退
咳嗽不断
甚至呼吸困难
入冬以来
这样的患儿不断增多
是什么让宝宝染上了顽疾?
近日,广西壮族自治区妇幼保健院新生儿医疗中心二病区接到了一例特殊患儿,该患儿出生5天之后,出现不明原因发热,同时伴咳嗽,经辗转多家医院治疗后仍反复发烧,最高可达40℃,甚至出现了呼吸困难,呼吸机参数居高不下,最终经我院急诊转运团队通过呼吸机转运才最终将宝宝安全转至新生儿科病房。
面对家属的焦虑和不安,新生儿医疗中心二病区戴卫医师在对宝宝进行一些列详细的查体及病史的询问后发现这名患儿并非简单的肺炎!
“发烧”其实并非疾病,而是症状。能够引起发热的原因有很多,病毒感染、细菌感染、真菌感染可以引起发热,这些属于感染性发热。而非感染的原因,如血液病、癌症、风湿、甲亢甚至皮肤病,也有可能引起发热。
患儿在当地医院考虑肺脓肿已经应用多种抗生素治疗甚至连美罗培南、万古霉素这样的“神级”抗生素的联合对抗下,高烧仍反复不退,肺部“团块影”越来越密集,到底是什么原因?又是什么问题导致呼吸困难甚至需要高参数的呼吸机辅助通气治疗?
起初,牛奶般的痰液不断经气管插管管道涌出,痰液不但粘稠甚至硬结成块并多次堵住气管管道,不易清除外多次造成呼机机频繁报警,机械通气参数逐渐居高不下,对呼吸管理造成一定困难。这也是脓肿急性期呼吸困难逐步增加的原因,也是医师在面临严重肺脓肿且大量排痰及呼吸治疗过程中面临的棘手问题。
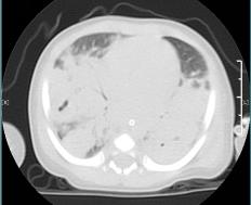
患儿入院后的肺部CT显示:两肺感染性病灶并多发肺脓肿形成。其肺部面临脓肿的侵蚀及炎症的破坏下能募集到的肺部有效通气极为有限,同时发热仍间断的出现,要在造成严重并发症之前,治疗在争分夺秒的同时进行。

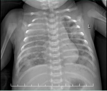
患儿入院时的胸部X线片,两肺几乎成“白肺”
到底是什么细菌造成如此多的浓稠痰液?而且到底是什么原因导致这么严重的肺脓肿呢?
面对重重疑云,在广西知名新生儿科专家、学科带头人潘新年副院长主持下,科室迅速组成联合治疗小组,由科室主任李燕担任组长,针对感染、呼吸、免疫、神经发育等各个系统,根据搜索-筛查-诊断-治疗-护理的多团队交叉融合管理组成诊断治疗小组。
初步考虑患儿有可能存在先天性免疫缺陷的基础上合并特殊感染,所以感染难以控制,在进行基因检测同时,针对痰液护理团队对体位、吸痰方式等逐步调整并配合纤维支气管镜对肺深部多次灌洗,终于,借助临床微生物基因检验等学科的帮助,最终在多次深部灌洗培养中发现这一罪魁祸首——白色念珠菌。
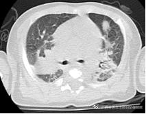
经过22天的奋战,患儿肺部团块影减少,呼吸机顺利撤离,避免了严重并发症的发生。经过46天的治疗,患儿得以顺利出院。患儿基因回报为:慢性肉芽肿病。

治疗前

治疗后
什么是肺脓肿?
肺脓肿是肺组织坏死形成的脓腔,临床特征表现为高热、咳嗽和咳大量脓臭痰。胸部X线影像显示有一个或多发的含气液平的空洞,如有多个大小不等的空洞,则称为坏死性肺炎。病原体可为化脓性细菌、真菌和寄生虫等,病理改变早期为肺组织的化脓性炎症,继而发生坏死、液化,最后形成脓腔。根据病程可分为急性肺脓肿,通常少于4-6周。慢性肺脓肿,病程迁延3个月以上。任何年龄段人群均可出现肺脓肿。肺脓肿会引起脓胸、支气管胸膜瘘、败血症等并发症。纤维支气管镜检查,有助于明确病因和病原学诊断,并可用于治疗。

肺脓肿该如何治疗
早期和彻底治疗是根治肺脓肿的关键,治疗原则为抗炎和引流。根据病程发展的阶段而不同,一般为短期治疗,6-8周。外科治疗包括肺叶或肺段切除,需根据具体情况进行选择,如肺肿大、肺脓肿波及到肺叶,需进行肺叶切除;若范围较小,局限于肺段,可行肺段切除。
科室简介
广西妇幼保健院新生儿医疗中心是广西第一家根据新生儿孕周特点分病区管理的医疗中心,该中心在厢竹院区设2个病区,新阳院区设1个病区,是全国新生儿围产期医学专科医师规范化培训基地、全国新生儿神经重症医学专项技术教学培训基地、广西儿科临床重点专科、广西重症医学临床重点专科、广西妇幼健康服务重点学科、广西新生儿专科护士培训基地、广西危重新生儿救治中心。中心拥有全区最先进及配备齐全的转运系统,转运范围辐射整个广西,形成以我院为中心辐射至整个广西省各医院的转运网络,为广西危重新生儿救治提供坚强后盾。2020年12月,广西妇幼保健院新生儿医疗中心荣获国家级新生儿保健特色专科单位。

医师团队

护理团队

潘新年院长查房指导
新生儿保健医疗中心二病区拥有经验丰富的新生儿专业团队,有主任医师2人、副主任医师3人,硕士研究生4人。呼吸机治疗师1人,脑电图判读资格医师1人。科室学术带头李燕及中青年骨干谭伟、莫艳分别赴英国伦敦皇家医院、加拿大Mount SinaiHospital 、匈牙利德布勒森大学医学院进修学习。

李燕主任、谭伟医师在英国伦敦皇家医院学习

莫艳医生在加拿大Mount SinaiHospital 学习
专科特色
该病区开展了换血疗法治疗新生儿重度高胆红素血症,采用经外周穿刺中心静脉置管(PICC)静脉营养、呼吸机辅助通气及一氧化氮治疗新生儿呼吸衰竭及持续胎儿循环等;建立神经重症监护单元,对危重新生儿及时进行脑功能评估,联合小儿神经科、康复科开展脑发育评价、随访及康复系统评估,早发现早干预和出院后新生儿专科随访的脑损伤高危儿的一体化管理,有效地降低新生儿窒息发生率及脑损伤高危儿后遗症发生率;开展“袋鼠护理”及特色的家长参与式护理模式,将医院内护理平稳过渡到家庭护理,减少再入院率;并与重症医学科、肾内科、呼吸科、神经内科、小儿外科、康复科眼科等成立多学科综合治疗协作组,在危重新生儿多学科合作,开展新生儿出生缺陷手术、腹膜透析、血浆置换、纤支镜检查、早期干预、新生儿眼病筛查等提高了危重新生儿的抢救成功率及存活率,降低了并发症及后遗症的发生,提高了存活儿的生存质量;开展黄疸的一日病房,光疗6-24小时结束后办理出院。大大降低了医疗费用,缩短因疾病造成母婴分离的时间,又缓解了母婴分离的焦虑,保证母乳喂养的持续。
END
图文:谭伟